Skip to main content

BRM Antibody (PSH01-15)

Novus Biologicals, part of Bio-Techne | Catalog # NBP3-32957

Recombinant Monoclonal Antibody
Novus Biologicals, part of Bio-Techne
Catalog #
Availability
Size / Price
Qty
Loading...
NBP3-32957

Key Product Details

Species Reactivity

Human, Monkey

Applications

Immunohistochemistry, Immunohistochemistry-Paraffin, Western Blot, Flow Cytometry

Label

Unconjugated

Antibody Source

Recombinant Monoclonal Rabbit IgG Clone # PSH01-15 expressed in HEK293

Concentration

1 mg/ml

Product Specifications

Immunogen

Synthetic peptide within human BRM aa 231-280 / 1,590. (Uniprot: P51531)

Localization

Nucleus.

Clonality

Monoclonal

Host

Rabbit

Isotype

IgG

Theoretical MW

181 kDa.
Disclaimer note: The observed molecular weight of the protein may vary from the listed predicted molecular weight due to post translational modifications, post translation cleavages, relative charges, and other experimental factors.

Description

Novus Biologicals Rabbit BRM Antibody (PSH01-15) (NBP3-32957) is a recombinant monoclonal antibody validated for use in IHC, WB and Flow. All Novus Biologicals antibodies are covered by our 100% guarantee.

Scientific Data Images for BRM Antibody (PSH01-15)

BRM Antibody (PSH01-15)

Western Blot: BRM Antibody (PSH01-15) [NBP3-32957]

Western Blot: BRM Antibody (PSH01-15) [NBP3-32957] - Western blot analysis of BRM on different lysates with Rabbit anti-BRM antibody (NBP3-32957) at 1/1,000 dilution.

Lane 1: HeLa cell lysate
Lane 2: HepG2 cell lysate
Lane 3: A549 cell lysate
Lane 4: MCF7 cell lysate
Lane 5: COS-1 cell lysate
Lane 6: NCCIT cell lysate (low expression)

Lysates/proteins at 30 ug/Lane.

Predicted band size: 181 kDa
Observed band size: 200 kDa

Exposure time: 3 minutes 10 seconds;

4-20% SDS-PAGE gel.

Proteins were transferred to a PVDF membrane and blocked with 5% NFDM/TBST for 1 hour at room temperature. The primary antibody (NBP3-32957) at 1/1,000 dilution was used in 5% NFDM/TBST at room temperature for 2 hours. Goat Anti-Rabbit IgG - HRP Secondary Antibody at 1:100,000 dilution was used for 1 hour at room temperature.
BRM Antibody (PSH01-15)

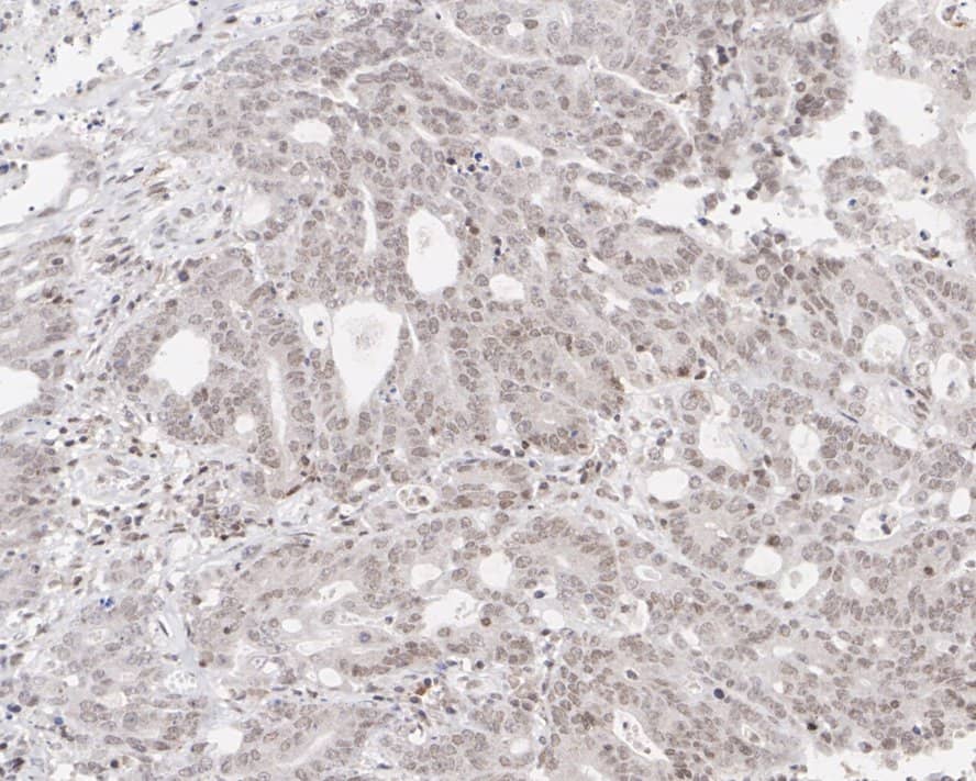
Immunohistochemistry: BRM Antibody (PSH01-15) [NBP3-32957]

Immunohistochemistry: BRM Antibody (PSH01-15) [NBP3-32957] - Immunohistochemical analysis of paraffin-embedded human colon carcinoma tissue with Rabbit anti-BRM antibody (NBP3-32957) at 1/200 dilution.

The section was pre-treated using heat mediated antigen retrieval with sodium citrate buffer (pH 6.0) for 2 minutes. The tissues were blocked in 1% BSA for 20 minutes at room temperature, washed with ddH2O and PBS, and then probed with the primary antibody (NBP3-32957) at 1/200 dilution for 1 hour at room temperature. The detection was performed using an HRP conjugated compact polymer system. DAB was used as the chromogen. Tissues were counterstained with hematoxylin and mounted with DPX.
BRM Antibody (PSH01-15)

Flow Cytometry: BRM Antibody (PSH01-15) [NBP3-32957]

Flow Cytometry: BRM Antibody (PSH01-15) [NBP3-32957] - Flow cytometric analysis of MCF7 cells labeling BRM.

Cells were fixed and permeabilized. Then stained with the primary antibody (NBP3-32957, 1μg/mL) (red) compared with Rabbit IgG Isotype Control (green). After incubation of the primary antibody at +4℃ for an hour, the cells were stained with a iFluor™ 488 conjugate-Goat anti-Rabbit IgG Secondary antibody at 1/1,000 dilution for 30 minutes at +4℃. Unlabelled sample was used as a control (cells without incubation with primary antibody; black).

Applications for BRM Antibody (PSH01-15)

Application
Recommended Usage

Flow Cytometry

1:1000

Immunohistochemistry-Paraffin

1:200

Western Blot

1:1000

Formulation, Preparation, and Storage

Purification

Protein A purified

Formulation

PBS (pH7.4), 0.1% BSA and 40% Glycerol

Preservative

0.05% Sodium Azide

Concentration

1 mg/ml

Shipping

The product is shipped with polar packs. Upon receipt, store it immediately at the temperature recommended below.

Stability & Storage

Store at 4C short term. Aliquot and store at -20C long term. Avoid freeze-thaw cycles.

Background: BRM

BRM is encoded by this gene is a member of the SWI/SNF family of proteins and is highly similar to the brahma protein of Drosophila. Members of this family have helicase and ATPase activities and are thought to regulate transcription of certain genes by altering the chromatin structure around those genes. The encoded protein is part of the large ATP-dependent chromatin remodeling complex SNF/SWI, which is required for transcriptional activation of genes normally repressed by chromatin. Two transcript variants encoding different isoforms have been found for this gene, which contains a trinucleotide repeat (CAG) length polymorphism.

Long Name

Probable global transcription activator SNF2L2

Alternate Names

BAF190B, EC 3.6.4.-, hBRM, SMARCA2, SNF2-alpha, SNF2A, SNF2L2

Gene Symbol

SMARCA2

Additional BRM Products

Product Documents for BRM Antibody (PSH01-15)

Certificate of Analysis

To download a Certificate of Analysis, please enter a lot number in the search box below.

Product Specific Notices for BRM Antibody (PSH01-15)

This product is for research use only and is not approved for use in humans or in clinical diagnosis. Primary Antibodies are guaranteed for 1 year from date of receipt.

Loading...
Loading...
Loading...
Loading...
Loading...