Skip to main content

BRM Antibody (HL1115) - Azide and BSA Free

Novus Biologicals, part of Bio-Techne | Catalog # NBP3-13725

Recombinant Monoclonal Antibody
Novus Biologicals, part of Bio-Techne
Catalog #
Availability
Size / Price
Qty
Loading...
NBP3-13725

Key Product Details

Validated by

Orthogonal Validation

Species Reactivity

Human, Mouse, Rat

Applications

Immunohistochemistry, Immunohistochemistry-Paraffin, Western Blot, Immunocytochemistry/ Immunofluorescence

Label

Unconjugated

Antibody Source

Recombinant Monoclonal Rabbit IgG Clone # HL1115 expressed in HEK293

Format

Azide and BSA Free

Concentration

Concentrations vary lot to lot. See vial label for concentration. If unlisted please contact technical services.

Product Specifications

Immunogen

Carrier-protein conjugated synthetic peptide encompassing a sequence within the N-terminus region of human BRM. The exact sequence is proprietary.

Clonality

Monoclonal

Host

Rabbit

Isotype

IgG

Theoretical MW

181 kDa.
Disclaimer note: The observed molecular weight of the protein may vary from the listed predicted molecular weight due to post translational modifications, post translation cleavages, relative charges, and other experimental factors.

Description

Centrifuge briefly prior to opening.

Scientific Data Images for BRM Antibody (HL1115) - Azide and BSA Free

Immunocytochemistry/ Immunofluorescence: BRM Antibody (HL1115) [NBP3-13725]

Immunocytochemistry/ Immunofluorescence: BRM Antibody (HL1115) [NBP3-13725]

Immunocytochemistry/Immunofluorescence: BRM Antibody (HL1115) [NBP3-13725] - HeLa cells were fixed in 4% paraformaldehyde at RT for 15 min. Green: SMARCA2 stained by SMARCA2 antibody [HL1115] diluted at 1:500. Red: alpha Tubulin, a cytoskeleton marker, stained by alpha Tubulin antibody [114] diluted at 1:1000.
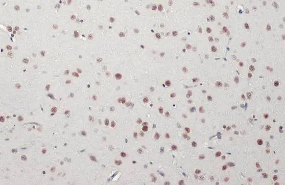
Immunohistochemistry-Paraffin: BRM Antibody (HL1115) [NBP3-13725]

Immunohistochemistry-Paraffin: BRM Antibody (HL1115) [NBP3-13725]

Immunohistochemistry-Paraffin: BRM Antibody (HL1115) [NBP3-13725] - Mouse brain. BRM stained by BRM antibody [HL1115] (NBP3-13725) diluted at 1:100. Antigen Retrieval: Citrate buffer, pH 6.0, 15 min.
BRM Antibody (HL1115)

Immunohistochemistry-Paraffin: BRM Antibody (HL1115) [NBP3-13725] -

Immunohistochemistry-Paraffin: BRM Antibody (HL1115) [NBP3-13725] - BRM antibody [HL1115] detects BRM protein by immunohistochemical analysis.
Sample: Paraffin-embedded mouse tissue.
BRM stained by BRM antibody [HL1115] (NBP3-13725) diluted at 1:100.
Antigen Retrieval: Citrate buffer, pH 6.0, 15 min

Applications for BRM Antibody (HL1115) - Azide and BSA Free

Application
Recommended Usage

Immunocytochemistry/ Immunofluorescence

Assay dependent

Immunohistochemistry

Assay dependent

Immunohistochemistry-Paraffin

Assay dependent

Western Blot

1:500-1:3000

Formulation, Preparation, and Storage

Purification

Protein A purified

Formulation

PBS

Format

Azide and BSA Free

Preservative

No Preservative

Concentration

Concentrations vary lot to lot. See vial label for concentration. If unlisted please contact technical services.

Shipping

The product is shipped with polar packs. Upon receipt, store it immediately at the temperature recommended below.

Stability & Storage

Store at 4C short term. Aliquot and store at -20C long term. Avoid freeze-thaw cycles.

Background: BRM

BRM is encoded by this gene is a member of the SWI/SNF family of proteins and is highly similar to the brahma protein of Drosophila. Members of this family have helicase and ATPase activities and are thought to regulate transcription of certain genes by altering the chromatin structure around those genes. The encoded protein is part of the large ATP-dependent chromatin remodeling complex SNF/SWI, which is required for transcriptional activation of genes normally repressed by chromatin. Two transcript variants encoding different isoforms have been found for this gene, which contains a trinucleotide repeat (CAG) length polymorphism.

Long Name

Probable global transcription activator SNF2L2

Alternate Names

BAF190B, EC 3.6.4.-, hBRM, SMARCA2, SNF2-alpha, SNF2A, SNF2L2

Gene Symbol

SMARCA2

Additional BRM Products

Product Documents for BRM Antibody (HL1115) - Azide and BSA Free

Certificate of Analysis

To download a Certificate of Analysis, please enter a lot number in the search box below.

Product Specific Notices for BRM Antibody (HL1115) - Azide and BSA Free

This product is for research use only and is not approved for use in humans or in clinical diagnosis. Primary Antibodies are guaranteed for 1 year from date of receipt.

Loading...
Loading...
Loading...
Loading...