Skip to main content

BRIX Antibody - BSA Free

Novus Biologicals, part of Bio-Techne | Catalog # NBP1-91708

Novus Biologicals, part of Bio-Techne
Catalog #
Availability
Size / Price
Qty
Loading...
NBP1-91708-25ul
NBP1-91708

Key Product Details

Species Reactivity

Validated:

Human, Mouse, Rat

Predicted:

Mouse (94%), Rat (95%). Backed by our 100% Guarantee.

Applications

Immunohistochemistry, Immunohistochemistry-Paraffin, Western Blot, Immunocytochemistry/ Immunofluorescence

Label

Unconjugated

Antibody Source

Polyclonal Rabbit IgG

Format

BSA Free

Concentration

Concentrations vary lot to lot. See vial label for concentration. If unlisted please contact technical services.

Product Specifications

Immunogen

This antibody was developed against Recombinant Protein corresponding to amino acids: LYENPHYQSPNMHRRVIRSITAAKYREKQQVKDVQKLRKKEPKTLLPHDPTADVFVTPAEEKPIEIQWVKPEPKVDLKARKKRIYK

Clonality

Polyclonal

Host

Rabbit

Isotype

IgG

Scientific Data Images for BRIX Antibody - BSA Free

Western Blot: BRIX Antibody [NBP1-91708]

Western Blot: BRIX Antibody [NBP1-91708]

Western Blot: BRIX Antibody [NBP1-91708] - Analysis in human cell line SiHa.
Immunocytochemistry/ Immunofluorescence: BRIX Antibody [NBP1-91708]

Immunocytochemistry/ Immunofluorescence: BRIX Antibody [NBP1-91708]

Immunocytochemistry/Immunofluorescence: BRIX Antibody [NBP1-91708] - Staining of human cell line A-431 shows localization to nucleoli. Antibody staining is shown in green.
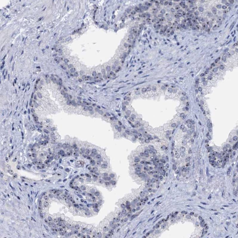
Immunohistochemistry-Paraffin: BRIX Antibody [NBP1-91708]

Immunohistochemistry-Paraffin: BRIX Antibody [NBP1-91708]

Immunohistochemistry-Paraffin: BRIX Antibody [NBP1-91708] - Staining of human colon shows moderate positivity in nucleoli in glandular cells.

Applications for BRIX Antibody - BSA Free

Application
Recommended Usage

Immunocytochemistry/ Immunofluorescence

0.25-2 ug/ml

Immunohistochemistry

1:1000 - 1:2500

Immunohistochemistry-Paraffin

1:1000 - 1:2500

Western Blot

0.04-0.4 ug/ml
Application Notes
For IHC-Paraffin, HIER pH 6 retrieval is recommended. ICC/IF Fixation Permeabilization: Use PFA/Triton X-100.

Formulation, Preparation, and Storage

Purification

Affinity purified

Formulation

PBS (pH 7.2) and 40% Glycerol

Format

BSA Free

Preservative

0.02% Sodium Azide

Concentration

Concentrations vary lot to lot. See vial label for concentration. If unlisted please contact technical services.

Shipping

The product is shipped with polar packs. Upon receipt, store it immediately at the temperature recommended below.

Stability & Storage

Store at 4C short term. Aliquot and store at -20C long term. Avoid freeze-thaw cycles.

Background: BRIX

Long Name

Brix Domain Containing 2

Alternate Names

BRIX1, BXDC2

Gene Symbol

BRIX1

Additional BRIX Products

Product Documents for BRIX Antibody - BSA Free

Certificate of Analysis

To download a Certificate of Analysis, please enter a lot number in the search box below.

Product Specific Notices for BRIX Antibody - BSA Free

This product is for research use only and is not approved for use in humans or in clinical diagnosis. Primary Antibodies are guaranteed for 1 year from date of receipt.

Loading...
Loading...
Loading...
Loading...