Skip to main content

Breast cancer suppressor candidate 1 Antibody (OTI3D6) - Azide and BSA Free

Novus Biologicals, part of Bio-Techne | Catalog # NBP2-71158

Novus Biologicals, part of Bio-Techne
Catalog #
Availability
Size / Price
Qty
Loading...
NBP2-71158

Key Product Details

Species Reactivity

Human

Applications

Immunohistochemistry, Immunohistochemistry-Paraffin, Western Blot, Flow Cytometry, Immunocytochemistry/ Immunofluorescence, CyTOF-ready

Label

Unconjugated

Antibody Source

Monoclonal Mouse IgG2A Clone # OTI3D6

Format

Azide and BSA Free

Concentration

LYOPH mg/ml

Product Specifications

Immunogen

Full length human recombinant protein of human VWA5A (NP_055437) produced in HEK293T cell.

Clonality

Monoclonal

Host

Mouse

Isotype

IgG2A

Theoretical MW

86.3 kDa.
Disclaimer note: The observed molecular weight of the protein may vary from the listed predicted molecular weight due to post translational modifications, post translation cleavages, relative charges, and other experimental factors.

Description

Novus Biologicals Mouse Breast cancer suppressor candidate 1 Antibody (OTI3D6) - Azide and BSA Free (NBP2-02898) is a monoclonal antibody validated for use in IHC, WB, Flow and ICC/IF. All Novus Biologicals antibodies are covered by our 100% guarantee.

Scientific Data Images

Western Blot: Breast cancer suppressor candidate 1 Antibody (OTI3D6)Azide and BSA Free [NBP2-71158]

Western Blot: Breast cancer suppressor candidate 1 Antibody (OTI3D6)Azide and BSA Free [NBP2-71158]

Western Blot: Breast cancer suppressor candidate 1 Antibody (OTI3D6) - Azide and BSA Free [NBP2-71158] - HEK293T cells were transfected with the pCMV6-ENTRY control (Left lane) or pCMV6-ENTRY Breast cancer suppressor candidate 1 (Right lane) cDNA for 48 hrs and lysed. Equivalent amounts of cell lysates (5 ug per lane) were separated by SDS-PAGE and immunoblotted
Immunocytochemistry/ Immunofluorescence: Breast cancer suppressor candidate 1 Antibody (OTI3D6) - Azide and BSA Free [NBP2-71158]

Immunocytochemistry/ Immunofluorescence: Breast cancer suppressor candidate 1 Antibody (OTI3D6) - Azide and BSA Free [NBP2-71158]

Immunocytochemistry/Immunofluorescence: Breast cancer suppressor candidate 1 Antibody (OTI3D6) - Azide and BSA Free [NBP2-71158] - Staining of COS7 cells transiently transfected by pCMV6-ENTRY Breast cancer suppressor candidate 1.
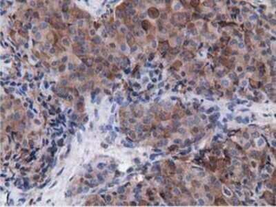
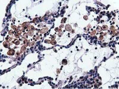
Immunohistochemistry: Breast cancer suppressor candidate 1 Antibody (OTI3D6) - Azide and BSA Free [NBP2-71158]

Immunohistochemistry: Breast cancer suppressor candidate 1 Antibody (OTI3D6) - Azide and BSA Free [NBP2-71158]

Immunohistochemistry: Breast cancer suppressor candidate 1 Antibody (OTI3D6) - Azide and BSA Free [NBP2-71158] - Staining of paraffin-embedded Human pancreas tissue using anti-Breast cancer suppressor candidate 1 mouse monoclonal antibody.

Applications

Application
Recommended Usage

Flow Cytometry

1:100

Immunocytochemistry/ Immunofluorescence

1:100

Immunohistochemistry

1:150

Western Blot

1:2000

Formulation, Preparation, and Storage

Purification

Immunogen affinity purified

Reconstitution

we recommend adding 100uL distilled water to a final antibody concentration of about 1 mg/mL. To use this carrier-free antibody for conjugation experiment, we strongly recommend performing another round of desalting process.

Formulation

Lyophilized from PBS (pH 7.3) with 8% Trehalose

Format

Azide and BSA Free

Preservative

No Preservative

Concentration

LYOPH mg/ml

Shipping

The product is shipped with polar packs. Upon receipt, store it immediately at the temperature recommended below.

Stability & Storage

Store at -20C. Avoid freeze-thaw cycles.

Background: Breast cancer suppressor candidate 1

Alternate Names

BCSC-1Loss of heterozygosity 11 chromosomal region 2 gene A protein, BCSC1ortholog of mouse AW551984, Breast cancer suppressor candidate 1, LOH11CR2Avon Willebrand factor A domain-containing protein 5A, loss of heterozygosity, 11, chromosomal region 2, gene A, von Willebrand factor A domain containing 5A

Gene Symbol

VWA5A

Additional Breast cancer suppressor candidate 1 Products

Product Documents

Certificate of Analysis

To download a Certificate of Analysis, please enter a lot number in the search box below.

Product Specific Notices

This product is for research use only and is not approved for use in humans or in clinical diagnosis. Primary Antibodies are guaranteed for 1 year from date of receipt.

Loading...
Loading...
Loading...
Loading...
Loading...
Loading...