BRD8 Antibody - BSA Free
Novus Biologicals, part of Bio-Techne | Catalog # NB100-79781
Conjugate
Catalog #
Key Product Details
Validated by
Independent Antibodies, Biological Validation
Species Reactivity
Human
Applications
Immunohistochemistry, Immunohistochemistry-Paraffin, Western Blot, Immunoprecipitation
Label
Unconjugated
Antibody Source
Polyclonal Rabbit IgG
Format
BSA Free
Concentration
1.0 mg/ml
Product Specifications
Immunogen
The immunogen recognized by this antibody maps to a region between residues 200 and 250 of human Bromodomain containing 8 using the numbering given in TrEMBL entry Q969M9 (GeneID 10902).
Clonality
Polyclonal
Host
Rabbit
Isotype
IgG
Scientific Data Images for BRD8 Antibody - BSA Free
Western Blot: BRD8 Antibody [NB100-79781]
Western Blot: BRD8 Antibody [NB100-79781] - Detection of Human BRD8 by Western Blot. Samples: Nuclear extract (50 ug) from HeLa and 293T cells. Antibodies: Affinity purified rabbit anti-BRD8 antibody NB100-79781 used for WB at 0.1 ug/ml. Detection: Chemiluminescence with an exposure time of 3 minutes.Immunohistochemistry: BRD8 Antibody [NB100-79781]
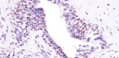
Immunohistochemistry: BRD8 Antibody [NB100-79781] - Sample: FFPE section of human breast carcinoma. Antibody: Affinity purified rabbit anti-BRD8 used at a dilution of 1:1,000 (1ug/ml). Detection: DAB staining using Immunohistochemistry Accessory Kit.Western Blot: BRD8 Antibody [NB100-79781]
Western Blot: BRD8 Antibody [NB100-79781] - A) Nuclear extract (NE; 5, 15 and 50 mcg) from HeLa cells. B) Nuclear extract (1 mg) from HeLa cells. Antibodies: A) Rabbit anti-BRD8 antibody, NB100-79781 used at the indicated concentrations for WB. B). Rabbit anti-BRD8 antibodies, NB100-79780, and NB100-79781 used at 1 and 5 mcg/mg lysate for IP. Immunoprecipitated BRD8 was detected using anti-BRD8 antibody NB100-79781 at 0.1 mcg/ml.Applications for BRD8 Antibody - BSA Free
Application
Recommended Usage
Immunohistochemistry
1:10-1:500
Immunohistochemistry-Paraffin
1:10-1:500
Immunoprecipitation
2-8 ug/mg lysate
Western Blot
1:10000-1:25000
Formulation, Preparation, and Storage
Purification
Immunogen affinity purified
Formulation
Tris-Citrate/Phosphate (pH 7.0 - 8.0)
Format
BSA Free
Preservative
0.09% Sodium Azide
Concentration
1.0 mg/ml
Shipping
The product is shipped with polar packs. Upon receipt, store it immediately at the temperature recommended below.
Stability & Storage
Store at 4C. Do not freeze.
Background: BRD8
Long Name
Bromodomain-containing protein 8
Alternate Names
SMAP, TrCP120
Entrez Gene IDs
10902 (Human)
Gene Symbol
BRD8
UniProt
Additional BRD8 Products
Product Documents for BRD8 Antibody - BSA Free
Product Specific Notices for BRD8 Antibody - BSA Free
This product is for research use only and is not approved for use in humans or in clinical diagnosis. Primary Antibodies are guaranteed for 1 year from date of receipt.
Loading...
Loading...
Loading...
Loading...