Skip to main content

BRAF35 Antibody - BSA Free

Novus Biologicals, part of Bio-Techne | Catalog # NBP2-15608

Novus Biologicals, part of Bio-Techne
Catalog #
Availability
Size / Price
Qty
Loading...
NBP2-15608

Key Product Details

Species Reactivity

Validated:

Human

Predicted:

Bovine (99%), Mouse (98%), Rat (97%). Backed by our 100% Guarantee.

Applications

Immunohistochemistry, Immunohistochemistry-Paraffin, Western Blot, Immunoprecipitation

Label

Unconjugated

Antibody Source

Polyclonal Rabbit IgG

Format

BSA Free

Concentration

Concentrations vary lot to lot. See vial label for concentration. If unlisted please contact technical services.

Product Specifications

Immunogen

Recombinant protein encompassing a sequence within the center region of human BRAF35. The exact sequence is proprietary.

Clonality

Polyclonal

Host

Rabbit

Isotype

IgG

Theoretical MW

36 kDa.
Disclaimer note: The observed molecular weight of the protein may vary from the listed predicted molecular weight due to post translational modifications, post translation cleavages, relative charges, and other experimental factors.

Description

Novus Biologicals Rabbit BRAF35 Antibody - BSA Free (NBP2-15608) is a polyclonal antibody validated for use in IHC, WB and IP. All Novus Biologicals antibodies are covered by our 100% guarantee.

Scientific Data Images for BRAF35 Antibody - BSA Free

Western Blot: BRAF35 Antibody [NBP2-15608]

Western Blot: BRAF35 Antibody [NBP2-15608]

Western Blot: BRAF35 Antibody [NBP2-15608] - Sample (30 ug of whole cell lysate) A: A431 10% SDS PAGE gel, diluted at 1:2000.
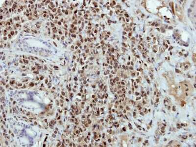
Immunohistochemistry-Paraffin: BRAF35 Antibody [NBP2-15608]

Immunohistochemistry-Paraffin: BRAF35 Antibody [NBP2-15608]

Immunohistochemistry-Paraffin: BRAF35 Antibody [NBP2-15608] - Immunohistochemical analysis of paraffin-embedded HBL435 xenograft, using antibody at 1:500 dilution.
Immunoprecipitation: BRAF35 Antibody [NBP2-15608]

Immunoprecipitation: BRAF35 Antibody [NBP2-15608]

Immunoprecipitation: BRAF35 Antibody [NBP2-15608] - 293T whole cell lysate/extract A : Control with 3 ug of pre-immune rabbit IgG B : Immunoprecipitation of BRAF35 by 3 ug of BRAF35 antibody 10% SDS-PAGE The immunoprecipitated BRAF35 protein was detected by BRAF35 antibody diluted at 1 : 1000. EasyBlot anti-rabbit IgG (HRP) was used as a secondary reagent.

Applications for BRAF35 Antibody - BSA Free

Application
Recommended Usage

Immunohistochemistry

1:100-1:1000

Immunohistochemistry-Paraffin

1:100-1:1000

Immunoprecipitation

1:100-1:500

Western Blot

1:500-1:3000

Formulation, Preparation, and Storage

Purification

Antigen Affinity-purified

Formulation

0.1M Tris, 0.1M Glycine, 20% Glycerol

Format

BSA Free

Preservative

0.01% Thimerosal

Concentration

Concentrations vary lot to lot. See vial label for concentration. If unlisted please contact technical services.

Shipping

The product is shipped with polar packs. Upon receipt, store it immediately at the temperature recommended below.

Stability & Storage

Aliquot and store at -20C or -80C. Avoid freeze-thaw cycles.

Background: BRAF35

Required for correct progression through G2 phase of the cell cycle and entry into mitosis. Required for RCOR1/CoREST mediated repression of neuronal specific gene promoters.

Alternate Names

BRAF35Sox-like transcriptional factor, high-mobility group 20B, HMG domain-containing protein 2, HMG domain-containing protein HMGX2, HMGX2FLJ26127, HMGXB2member 1-related, SMARCE1R, SMARCE1-related protein

Gene Symbol

HMG20B

UniProt

Additional BRAF35 Products

Product Documents for BRAF35 Antibody - BSA Free

Certificate of Analysis

To download a Certificate of Analysis, please enter a lot number in the search box below.

Product Specific Notices for BRAF35 Antibody - BSA Free

This product is for research use only and is not approved for use in humans or in clinical diagnosis. Primary Antibodies are guaranteed for 1 year from date of receipt.

Loading...
Loading...
Loading...
Loading...

⚠ WARNING: This product can expose you to chemicals including mercury, which is known to the State of California to cause reproductive toxicity with developmental effects.  For more information go to www.P65Warnings.ca.gov.