Skip to main content

BPHL Antibody - Azide and BSA Free

Novus Biologicals, part of Bio-Techne | Catalog # NBP3-00178

Novus Biologicals, part of Bio-Techne

Key Product Details

Species Reactivity

Human

Applications

ELISA, Immunohistochemistry-Paraffin, Immunoprecipitation, Western Blot

Label

Unconjugated

Antibody Source

Polyclonal Rabbit IgG

Format

Azide and BSA Free

Concentration

Please see the vial label for concentration. If unlisted please contact technical services.

Product Specifications

Immunogen

Produced in rabbits immunized with purified, recombinant Human BPHL (Uniprot#: Q86WA6-1; Ser38-Gln291).

Clonality

Polyclonal

Host

Rabbit

Isotype

IgG

Description

This antibody can be stored at 2C to 8C for one month without detectable loss of activity. Antibody products are stable for twelve months from date of receipt when stored at -20C to -80C. Avoid repeated freeze-thaw cycles.

Scientific Data Images for BPHL Antibody - Azide and BSA Free

BPHL Antibody - Azide and BSA Free

Immunoprecipitation: BPHL Antibody [NBP3-00178] -

Immunoprecipitation: BPHL Antibody [NBP3-00178] - BPHL was immunoprecipitated using: Lane A:0.5 mg 293T Whole Cell Lysate 0.5 uL NBP3-00178 and 15 ul of 50 % Protein G agarose. Primary antibody: NBP3-00178, at 1:500 dilution. Secondary antibody: Dylight 800-labeled antibody to rabbit IgG (H+L), at 1:5000 dilution. Developed using the odssey technique. Performed under reducing conditions. Predicted band size: 31 kDa Observed band size: 31 kDa
BPHL Antibody - Azide and BSA Free

Western Blot: BPHL Antibody [NBP3-00178] -

Western Blot: BPHL Antibody [NBP3-00178] - NBP3-00178 at 1:500 dilution Lane A: THP1 Whole Cell Lysate Lysates/proteins at 30 ug per lane. Secondary Goat Anti-Rabbit IgG H&L (Dylight800) at 1/10000 dilution. Developed using the Odyssey technique. Performed under reducing conditions. Predicted band size:32 kDa Observed band size:30 kDa (We are unsure as to the identity of these extra bands.)
BPHL Antibody - Azide and BSA Free

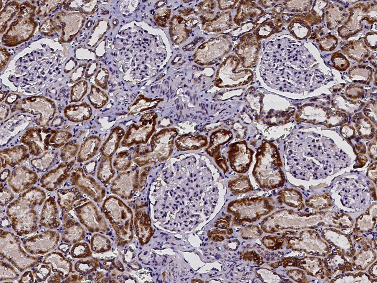
Immunohistochemistry-Paraffin: BPHL Antibody [NBP3-00178] -

Immunohistochemistry-Paraffin: BPHL Antibody [NBP3-00178] - Immunochemical staining of human BPHL in human kidney with NBP3-00178 (1:10000, formalin-fixed paraffin embedded sections).

Applications for BPHL Antibody - Azide and BSA Free

Application
Recommended Usage

ELISA

1:25000-1:50000

Immunohistochemistry-Paraffin

1:5000-1:20000

Immunoprecipitation

0.2-1 uL/mg of lysate

Western Blot

1:500-1:1000

Formulation, Preparation, and Storage

Purification

Antigen and protein A Affinity-purified

Formulation

0.2 um filtered solution in PBS

Format

Azide and BSA Free

Preservative

No Preservative

Concentration

Please see the vial label for concentration. If unlisted please contact technical services.

Shipping

The product is shipped with polar packs. Upon receipt, store it immediately at the temperature recommended below.

Stability & Storage

Store at 4C short term. Aliquot and store at -20C long term. Avoid freeze-thaw cycles.

Background: BPHL

The serine hydrolases, including BPHL, are defined as a functional class of hydrolytic enzymes that contain a serine residue in their active site. They can be grouped into subfamilies that contain closely related members in terms of substrate specificity or amino acid sequence similarity (Puente and Lopez-Otin, 1995 [PubMed 7759552]).[supplied by OMIM]

Alternate Names

biphenyl hydrolase-like (serine hydrolase), Biphenyl hydrolase-like protein, Biphenyl hydrolase-related protein, Bph-rp, Breast epithelial mucin-associated antigen, EC 3.1, MCNAA, MGC125930, MGC41865, VACVASE, valacyclovir hydrolase, valacyclovirase

Gene Symbol

BPHL

Additional BPHL Products

Product Documents for BPHL Antibody - Azide and BSA Free

Certificate of Analysis

To download a Certificate of Analysis, please enter a lot number in the search box below.

Product Specific Notices for BPHL Antibody - Azide and BSA Free

This product is for research use only and is not approved for use in humans or in clinical diagnosis. Primary Antibodies are guaranteed for 1 year from date of receipt.

Loading...
Loading...
Loading...
Loading...