Skip to main content

BOP1 Antibody - BSA Free

Novus Biologicals, part of Bio-Techne | Catalog # NBP2-33504

Novus Biologicals, part of Bio-Techne
Catalog #
Availability
Size / Price
Qty
Loading...
NBP2-33504-25ul
NBP2-33504

Key Product Details

Species Reactivity

Validated:

Human

Predicted:

Mouse (90%). Backed by our 100% Guarantee.

Applications

Immunohistochemistry, Immunohistochemistry-Paraffin, Immunocytochemistry/ Immunofluorescence

Label

Unconjugated

Antibody Source

Polyclonal Rabbit IgG

Format

BSA Free

Concentration

Concentrations vary lot to lot. See vial label for concentration. If unlisted please contact technical services.

Product Specifications

Immunogen

This antibody was developed against a recombinant protein corresponding to amino acids: PLEWYDDFPHVGYDLDGRRIYKPLRTRDELDQFLDKMDDPDYWRTVQDPMTGRDLRLTDEQVALVRRLQSGQFGDVGFNPYEP

Reactivity Notes

Immunogen displays the following percentage of sequence identity for non-tested species: Rat (89%)

Clonality

Polyclonal

Host

Rabbit

Isotype

IgG

Description

Novus Biologicals Rabbit BOP1 Antibody - BSA Free (NBP2-33504) is a polyclonal antibody validated for use in IHC and ICC/IF. All Novus Biologicals antibodies are covered by our 100% guarantee.

Scientific Data Images for BOP1 Antibody - BSA Free

Immunocytochemistry/ Immunofluorescence: BOP1 Antibody [NBP2-33504]

Immunocytochemistry/ Immunofluorescence: BOP1 Antibody [NBP2-33504]

Immunocytochemistry/Immunofluorescence: BOP1 Antibody [NBP2-33504] - Staining of human cell line PC-3 shows localization to nucleus & nucleoli. Antibody staining is shown in green.
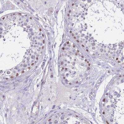
Immunohistochemistry-Paraffin: BOP1 Antibody [NBP2-33504]

Immunohistochemistry-Paraffin: BOP1 Antibody [NBP2-33504]

Immunohistochemistry-Paraffin: BOP1 Antibody [NBP2-33504] - Staining of human testis shows nuclear positivity in seminiferus ducts.

Applications for BOP1 Antibody - BSA Free

Application
Recommended Usage

Immunocytochemistry/ Immunofluorescence

0.25-2 ug/ml

Immunohistochemistry

1:500 - 1:1000

Immunohistochemistry-Paraffin

1:500 - 1:1000
Application Notes
For IHC-Paraffin, HIER pH 6 retrieval is recommended. ICC/IF Fixation Permeabilization: Use PFA/Triton X-100.

Formulation, Preparation, and Storage

Purification

Affinity purified

Formulation

PBS (pH 7.2) and 40% Glycerol

Format

BSA Free

Preservative

0.02% Sodium Azide

Concentration

Concentrations vary lot to lot. See vial label for concentration. If unlisted please contact technical services.

Shipping

The product is shipped with polar packs. Upon receipt, store it immediately at the temperature recommended below.

Stability & Storage

Store at 4C short term. Aliquot and store at -20C long term. Avoid freeze-thaw cycles.

Background: BOP1

BOP1 (block of proliferation 1) is a component of the PeBoW (Pes1, Bop, WDR12) complex that plays a role in the processing of 28S and 5.8S ribosomal RNAs and the formation of the 60S ribosome. BOP1 contains seven WD repeats and was originally identified as a cDNA which inhibited cell proliferation. The deregulation of the BOP1 gene is proposed to contribute to colorectal tumorigenesis.

Alternate Names

block of proliferation 1, KIAA0124Block of proliferation 1 protein, ribosome biogenesis protein BOP1

Gene Symbol

BOP1

UniProt

Additional BOP1 Products

Product Documents for BOP1 Antibody - BSA Free

Certificate of Analysis

To download a Certificate of Analysis, please enter a lot number in the search box below.

Product Specific Notices for BOP1 Antibody - BSA Free

This product is for research use only and is not approved for use in humans or in clinical diagnosis. Primary Antibodies are guaranteed for 1 year from date of receipt.

Loading...
Loading...
Loading...
Loading...