Boll Antibody - BSA Free
Novus Biologicals, part of Bio-Techne | Catalog # NBP1-88377
Key Product Details
Validated by
Orthogonal Validation, Independent Antibodies
Species Reactivity
Validated:
Human
Predicted:
Mouse (90%). Backed by our 100% Guarantee.
Applications
Immunohistochemistry, Immunohistochemistry-Paraffin
Label
Unconjugated
Antibody Source
Polyclonal Rabbit IgG
Format
BSA Free
Concentration
Concentrations vary lot to lot. See vial label for concentration. If unlisted please contact technical services.
Product Specifications
Immunogen
This antibody was developed against Recombinant Protein corresponding to amino acids: ATTQYLPGQWQWSVPQPSASSAPFLYLQPSEVIYQPVEIAQDGGCVPPPLSLMETSVPEPYSDHGVQATYHQVYAPSAI
Reactivity Notes
Immunogen displays the following percentage of sequence identity for non-tested species: Rat (87%)
Clonality
Polyclonal
Host
Rabbit
Isotype
IgG
Description
Novus Biologicals Rabbit Boll Antibody - BSA Free (NBP1-88377) is a polyclonal antibody validated for use in IHC. All Novus Biologicals antibodies are covered by our 100% guarantee.
Scientific Data Images for Boll Antibody - BSA Free
Immunohistochemistry-Paraffin: Boll Antibody [NBP1-88377]
Immunohistochemistry-Paraffin: Boll Antibody [NBP1-88377] - Staining of human colon.Immunohistochemistry-Paraffin: Boll Antibody [NBP1-88377]
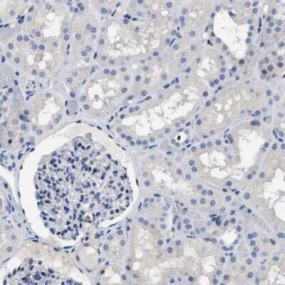
Immunohistochemistry-Paraffin: Boll Antibody [NBP1-88377] - Staining of human kidney shows low expression as expected.Immunohistochemistry-Paraffin: Boll Antibody [NBP1-88377]
Immunohistochemistry-Paraffin: Boll Antibody [NBP1-88377] - Staining of human testis shows high expression.Applications for Boll Antibody - BSA Free
Application
Recommended Usage
Immunohistochemistry
1:50 - 1:200
Immunohistochemistry-Paraffin
1:50 - 1:200
Application Notes
For IHC-Paraffin, HIER pH 6 retrieval is recommended.
Formulation, Preparation, and Storage
Purification
Immunogen affinity purified
Formulation
PBS (pH 7.2) and 40% Glycerol
Format
BSA Free
Preservative
0.02% Sodium Azide
Concentration
Concentrations vary lot to lot. See vial label for concentration. If unlisted please contact technical services.
Shipping
The product is shipped with polar packs. Upon receipt, store it immediately at the temperature recommended below.
Stability & Storage
Store at 4C short term. Aliquot and store at -20C long term. Avoid freeze-thaw cycles.
Background: Boll
Alternate Names
bol, boule-like (Drosophila), BOULEbol (Drosophila boule homolog)-like, protein boule-like
Gene Symbol
BOLL
Additional Boll Products
Product Documents for Boll Antibody - BSA Free
Product Specific Notices for Boll Antibody - BSA Free
This product is for research use only and is not approved for use in humans or in clinical diagnosis. Primary Antibodies are guaranteed for 1 year from date of receipt.
Loading...
Loading...
Loading...
Loading...