Skip to main content

Boll Antibody (OTI2D11) - Azide and BSA Free

Novus Biologicals, part of Bio-Techne | Catalog # NBP2-72180

Novus Biologicals, part of Bio-Techne

Key Product Details

Species Reactivity

Human, Mouse, Rat

Applications

Immunohistochemistry, Immunohistochemistry-Paraffin, Western Blot

Label

Unconjugated

Antibody Source

Monoclonal Mouse IgG1 Clone # OTI2D11

Format

Azide and BSA Free

Concentration

LYOPH mg/ml

Product Specifications

Immunogen

Full length human recombinant protein of human BOLL (NP_149019) produced in E.coli.

Reactivity Notes

Please note that this antibody is reactive to Mouse and derived from the same host, Mouse. Mouse-On-Mouse blocking reagent may be needed for IHC and ICC experiments to reduce high background signal. You can find these reagents under catalog numbers PK-2200-NB and MP-2400-NB. Please contact Technical Support if you have any questions.

Clonality

Monoclonal

Host

Mouse

Isotype

IgG1

Theoretical MW

31.1 kDa.
Disclaimer note: The observed molecular weight of the protein may vary from the listed predicted molecular weight due to post translational modifications, post translation cleavages, relative charges, and other experimental factors.

Description

Novus Biologicals Mouse Boll Antibody (OTI2D11) - Azide and BSA Free (NBP2-46582) is a monoclonal antibody validated for use in IHC and WB. All Novus Biologicals antibodies are covered by our 100% guarantee.

Scientific Data Images for Boll Antibody (OTI2D11) - Azide and BSA Free

Western Blot: Boll Antibody (OTI2D11)Azide and BSA Free [NBP2-72180]

Western Blot: Boll Antibody (OTI2D11)Azide and BSA Free [NBP2-72180]

Western Blot: Boll Antibody (OTI2D11) - Azide and BSA Free [NBP2-72180] - Analysis of HEK293T cells were transfected with the pCMV6-ENTRY control (Left lane) or pCMV6-ENTRY BOLL.
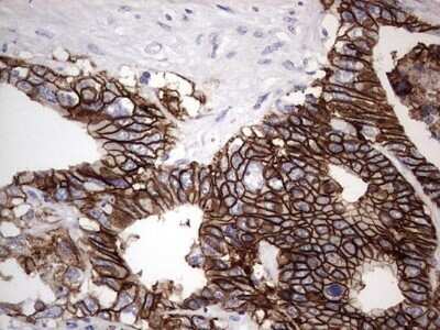
Immunohistochemistry: Boll Antibody (OTI2D11) - Azide and BSA Free [NBP2-72180]

Immunohistochemistry: Boll Antibody (OTI2D11) - Azide and BSA Free [NBP2-72180]

Immunohistochemistry: Boll Antibody (OTI2D11) - Azide and BSA Free [NBP2-72180] - Analysis of Human lung tissue. (Heat-induced epitope retrieval by 1 mM EDTA in 10mM Tris, pH8.5, 120C for 3min)
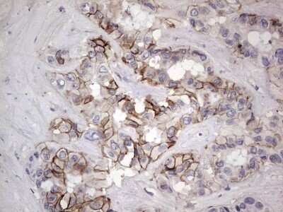
Immunohistochemistry: Boll Antibody (OTI2D11) - Azide and BSA Free [NBP2-72180]

Immunohistochemistry: Boll Antibody (OTI2D11) - Azide and BSA Free [NBP2-72180]

Immunohistochemistry: Boll Antibody (OTI2D11) - Azide and BSA Free [NBP2-72180] - Analysis of Adenocarcinoma of Human colon tissue. (Heat-induced epitope retrieval by 1 mM EDTA in 10mM Tris, pH8.5, 120C for 3min)

Applications for Boll Antibody (OTI2D11) - Azide and BSA Free

Application
Recommended Usage

Immunohistochemistry

1:150

Western Blot

1:2000

Formulation, Preparation, and Storage

Purification

Immunogen affinity purified

Reconstitution

we recommend adding 100uL distilled water to a final antibody concentration of about 1 mg/mL. To use this carrier-free antibody for conjugation experiment, we strongly recommend performing another round of desalting process.

Formulation

Lyophilized from PBS (pH 7.3) with 8% Trehalose

Format

Azide and BSA Free

Preservative

No Preservative

Concentration

LYOPH mg/ml

Shipping

The product is shipped with polar packs. Upon receipt, store it immediately at the temperature recommended below.

Stability & Storage

Store at -20C. Avoid freeze-thaw cycles.

Background: Boll

Boll belongs to the DAZ gene family required for germ cell development. It encodes an RNA-binding protein which is more similar to Drosophila Boule than to human proteins encoded by genes DAZ (deleted in azoospermia) or DAZL (deleted in azoospermia-like). Loss of this gene function results in the absence of sperm in semen (azoospermia). Histological studies demonstrated that the primary defect is at the meiotic G2/M transition. Two alternatively spliced transcript variants encoding distinct isoforms have been found for this gene.

Alternate Names

bol, boule-like (Drosophila), BOULEbol (Drosophila boule homolog)-like, protein boule-like

Gene Symbol

BOLL

Additional Boll Products

Product Documents for Boll Antibody (OTI2D11) - Azide and BSA Free

Certificate of Analysis

To download a Certificate of Analysis, please enter a lot number in the search box below.

Product Specific Notices for Boll Antibody (OTI2D11) - Azide and BSA Free

This product is for research use only and is not approved for use in humans or in clinical diagnosis. Primary Antibodies are guaranteed for 1 year from date of receipt.

Loading...
Loading...
Loading...
Loading...
Loading...