Skip to main content

BIN1 Antibody - BSA Free

Novus Biologicals, part of Bio-Techne | Catalog # NBP1-46170

Novus Biologicals, part of Bio-Techne

Key Product Details

Validated by

Independent Antibodies

Species Reactivity

Human

Applications

Immunohistochemistry, Immunohistochemistry-Paraffin, Western Blot, Immunoprecipitation

Label

Unconjugated

Antibody Source

Polyclonal Rabbit IgG

Format

BSA Free

Concentration

1.0 mg/ml

Product Specifications

Immunogen

The immunogen for this product maps to a region between residue 543 and 593 of human Bridging Integrator 1 using the numbering given in entry NP_647593.1 (GeneID 274).

Clonality

Polyclonal

Host

Rabbit

Isotype

IgG

Description

Novus Biologicals Rabbit BIN1 Antibody - BSA Free (NBP1-46170) is a polyclonal antibody validated for use in IHC, WB and IP. All Novus Biologicals antibodies are covered by our 100% guarantee.

Scientific Data Images for BIN1 Antibody - BSA Free

Western Blot: BIN1 Antibody [NBP1-46170]

Western Blot: BIN1 Antibody [NBP1-46170]

Western Blot: BIN1 Antibody [NBP1-46170] - Detection of Human Bin1 by Western Blot. Samples: Whole cell lysate (50 ug) from HeLa, 293T, and Jurkat cells. Antibodies: Affinity purified rabbit anti-Bin1 antibody NBP1-46170 used for WB at 1 ug/ml. Detection: Chemiluminescence with an exposure time of 3 minutes.
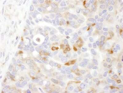
Immunohistochemistry-Paraffin: BIN1 Antibody [NBP1-46170]

Immunohistochemistry-Paraffin: BIN1 Antibody [NBP1-46170]

Immunohistochemistry-Paraffin: BIN1 Antibody [NBP1-46170] - Section of human ovarian carcinoma. Antibody: Affinity purified rabbit anti-Bin1 used at a dilution of 1:1,000 (1ug/ml) Detection: DAB staining using Immunohistochemistry Accessory Kit .
Western Blot: BIN1 Antibody [NBP1-46170]

Western Blot: BIN1 Antibody [NBP1-46170]

Western Blot: BIN1 Antibody [NBP1-46170] - Whole cell lysate (5, 15 and 50 mcg for WB; 1 mg for IP, 20% of IP loaded) from HeLa cells. Antibodies: Affinity purified rabbit anti-Bin1 antibody used for WB at 0.1 mcg/ml (A) and 1 mcg/ml (B) and used for IP at 3 mcg/mg lysate. Bin1 was also immunoprecipitated by rabbit anti-Bin1 antibody NBP1-46169, which recognizes an upstream epitope.

Applications for BIN1 Antibody - BSA Free

Application
Recommended Usage

Immunohistochemistry

1:500 - 1:2000

Immunohistochemistry-Paraffin

1:1000

Immunoprecipitation

5-15 ug/mg lysate

Western Blot

1:2000-1:10000
Application Notes
Epitope retrieval with citrate buffer pH6.0 is recommended for FFPE tissue sections.

Formulation, Preparation, and Storage

Purification

Immunogen affinity purified

Formulation

Tris-Citrate/Phosphate (pH 7.0 - 8.0)

Format

BSA Free

Preservative

0.09% Sodium Azide

Concentration

1.0 mg/ml

Shipping

The product is shipped with polar packs. Upon receipt, store it immediately at the temperature recommended below.

Stability & Storage

Store at 4C. Do not freeze.

Background: BIN1

This gene encodes several isoforms of a nucleocytoplasmic adaptor protein, one of which was initially identified as a MYC-interacting protein with features of a tumor suppressor. Isoforms that are expressed in the central nervous system may be involved in synaptic vesicle endocytosis and may interact with dynanim, synaptojanin, endophilin, and clathrin. Isoforms that are expressed in muscle and ubiquitously expressed isoforms localize to the cytoplasm and nucleus and activate a caspase-independent apoptotic process. Studies in mouse suggest that this gene plays an important role in cardiac muscle development. Alternate splicing of the gene results in ten transcript variants encoding different isoforms. Aberrant splice variants expressed in tumor cell lines have also been described.

Alternate Names

AMPH2, Amphiphysin II, Amphiphysin-like protein, AMPHLDKFZp547F068, box dependant MYC interacting protein 1, bridging integrator 1Box-dependent myc-interacting protein 1, MGC10367, myc box-dependent-interacting protein 1, SH3P9

Gene Symbol

BIN1

Additional BIN1 Products

Product Documents for BIN1 Antibody - BSA Free

Certificate of Analysis

To download a Certificate of Analysis, please enter a lot number in the search box below.

Product Specific Notices for BIN1 Antibody - BSA Free

This product is for research use only and is not approved for use in humans or in clinical diagnosis. Primary Antibodies are guaranteed for 1 year from date of receipt.

Loading...
Loading...
Loading...
Loading...