Skip to main content

BHMT2 Antibody - BSA Free

Novus Biologicals, part of Bio-Techne | Catalog # NBP3-12685

Novus Biologicals, part of Bio-Techne
Catalog #
Availability
Size / Price
Qty
Loading...
NBP3-12685-50ul
NBP3-12685-100ul

Key Product Details

Species Reactivity

Human

Applications

Immunohistochemistry, Immunohistochemistry-Paraffin, Western Blot, Immunocytochemistry/ Immunofluorescence

Label

Unconjugated

Antibody Source

Polyclonal Rabbit IgG

Format

BSA Free

Concentration

Please see the vial label for concentration. If unlisted please contact technical services.

Product Specifications

Immunogen

Produced in rabbits immunized with E. coli-derived Human BHMT2 fragment

Clonality

Polyclonal

Host

Rabbit

Isotype

IgG

Description

This antibody can be stored at 2-8C for one month without detectable loss of activity. Antibody products are stable for twelve months from date of receipt when stored at -20C to -80C. Avoid repeated freeze-thaw cycles.

Protein A & Antigen Affinity purified

Scientific Data Images for BHMT2 Antibody - BSA Free

Western Blot: BHMT2 Antibody [NBP3-12685]

Western Blot: BHMT2 Antibody [NBP3-12685]

Western Blot: BHMT2 Antibody [NBP3-12685] - Lane A: Raji Whole Cell LysateLane B: HCT116 Whole Cell LysateLysates/proteins at 30 ug per lane.SecondaryGoat Anti-Rabbit IgG (H+L)/HRP at 1/10000 dilution.Developed using the ECL technique.Performed under reducing conditions.Predicted band size:40 kDaObserved band size:43 kDa
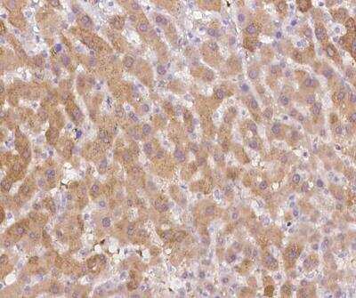
Immunohistochemistry-Paraffin: BHMT2 Antibody [NBP3-12685]

Immunohistochemistry-Paraffin: BHMT2 Antibody [NBP3-12685]

Immunohistochemistry-Paraffin: BHMT2 Antibody [NBP3-12685] - Staining of human Bhmt2 in human liver with rabbit polyclonal antibody at 1:500 dilution.
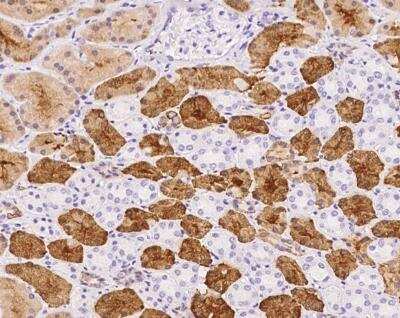
Immunohistochemistry-Paraffin: BHMT2 Antibody [NBP3-12685]

Immunohistochemistry-Paraffin: BHMT2 Antibody [NBP3-12685]

Immunohistochemistry-Paraffin: BHMT2 Antibody [NBP3-12685] - Staining of human Bhmt2 in human kidney with rabbit polyclonal antibody at 1:500 dilution.

Applications for BHMT2 Antibody - BSA Free

Application
Recommended Usage

Immunocytochemistry/ Immunofluorescence

1:100-1:500

Immunohistochemistry-Paraffin

1:200-1:1000

Western Blot

1:500-1:2000

Formulation, Preparation, and Storage

Purification

Antigen and protein A Affinity-purified

Formulation

PBS

Format

BSA Free

Preservative

0.03% Proclin 300

Concentration

Please see the vial label for concentration. If unlisted please contact technical services.

Shipping

The product is shipped with polar packs. Upon receipt, store it immediately at the temperature recommended below.

Stability & Storage

Store at 4C short term. Aliquot and store at -20C long term. Avoid freeze-thaw cycles.

Background: BHMT2

Homocysteine is a sulfur-containing amino acid that plays a crucial role in methylation reactions. Transfer of the methyl group from betaine to homocysteine creates methionine, which donates the methyl group to methylate DNA, proteins, lipids, and other intracellular metabolites. The protein encoded by this gene is one of two methyl transferases that can catalyze the transfer of the methyl group from betaine to homocysteine. Anomalies in homocysteine metabolism have been implicated in disorders ranging from vascular disease to neural tube birth defects such as spina bifida. [provided by RefSeq]

Alternate Names

betaine-homocysteine methyltransferase 2, betaine--homocysteine S-methyltransferase 2, EC 2.1.1.5, FLJ20001

Gene Symbol

BHMT2

Additional BHMT2 Products

Product Documents for BHMT2 Antibody - BSA Free

Certificate of Analysis

To download a Certificate of Analysis, please enter a lot number in the search box below.

Product Specific Notices for BHMT2 Antibody - BSA Free

This product is for research use only and is not approved for use in humans or in clinical diagnosis. Primary Antibodies are guaranteed for 1 year from date of receipt.

Loading...
Loading...
Loading...
Loading...