Skip to main content

BHLHB5 Antibody - BSA Free

Novus Biologicals, part of Bio-Techne | Catalog # NBP2-39016

Novus Biologicals, part of Bio-Techne
Catalog #
Availability
Size / Price
Qty
Loading...
NBP2-39016
NBP2-39016-25ul

Key Product Details

Validated by

Independent Antibodies

Species Reactivity

Validated:

Human

Predicted:

Mouse (100%), Rat (100%). Backed by our 100% Guarantee.

Applications

Immunohistochemistry, Immunohistochemistry-Paraffin

Label

Unconjugated

Antibody Source

Polyclonal Rabbit IgG

Format

BSA Free

Concentration

Concentrations vary lot to lot. See vial label for concentration. If unlisted please contact technical services.

Product Specifications

Immunogen

This antibody was developed against a recombinant protein corresponding to amino acids: AAAAALHPALGAYEQAAGYPFSAGLPPAASCPEKCALFNSVSSSLCKQCTE

Clonality

Polyclonal

Host

Rabbit

Isotype

IgG

Description

Novus Biologicals Rabbit BHLHB5 Antibody - BSA Free (NBP2-39016) is a polyclonal antibody validated for use in IHC. All Novus Biologicals antibodies are covered by our 100% guarantee.

Scientific Data Images for BHLHB5 Antibody - BSA Free

Immunohistochemistry-Paraffin: BHLHB5 Antibody [NBP2-39016]

Immunohistochemistry-Paraffin: BHLHB5 Antibody [NBP2-39016]

Immunohistochemistry-Paraffin: BHLHB5 Antibody [NBP2-39016] - Staining of human cerebellum.
Immunohistochemistry: BHLHB5 Antibody [NBP2-39016]

Immunohistochemistry: BHLHB5 Antibody [NBP2-39016]

Immunohistochemistry: BHLHB5 Antibody [NBP2-39016] - Staining of human cerebellum shows strong nuclear positivity in cells in molecular layer.
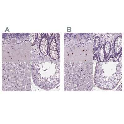
Immunohistochemistry-Paraffin: BHLHB5 Antibody [NBP2-39016]

Immunohistochemistry-Paraffin: BHLHB5 Antibody [NBP2-39016]

Immunohistochemistry-Paraffin: BHLHB5 Antibody [NBP2-39016] - Staining of human cerebellum, colon, liver and testis using Anti-BHLHE22 antibody NBP2-39016 (A) shows similar protein distribution across tissues to independent antibody NBP2-39039 (B).

Applications for BHLHB5 Antibody - BSA Free

Application
Recommended Usage

Immunohistochemistry

1:500 - 1:1000

Immunohistochemistry-Paraffin

1:500 - 1:1000
Application Notes
For IHC-Paraffin, HIER pH 6 retrieval is recommended.

Formulation, Preparation, and Storage

Purification

Affinity purified

Formulation

PBS (pH 7.2) and 40% Glycerol

Format

BSA Free

Preservative

0.02% Sodium Azide

Concentration

Concentrations vary lot to lot. See vial label for concentration. If unlisted please contact technical services.

Shipping

The product is shipped with polar packs. Upon receipt, store it immediately at the temperature recommended below.

Stability & Storage

Store at 4C short term. Aliquot and store at -20C long term. Avoid freeze-thaw cycles.

Background: BHLHB5

Alternate Names

Basic Helix-Loop-Helix Domain Containing, Class B, 5, basic helix-loop-helix family, member e22, Beta3, BHLHE22, CAGL85, Class B Basic Helix-Loop-Helix Protein 5, Class E Basic Helix-Loop-Helix Protein 22, TNRC20, Trinucleotide Repeat Containing 20, Trinucleotide Repeat-Containing Gene 20 Protein

Gene Symbol

BHLHE22

UniProt

Additional BHLHB5 Products

Product Documents for BHLHB5 Antibody - BSA Free

Certificate of Analysis

To download a Certificate of Analysis, please enter a lot number in the search box below.

Product Specific Notices for BHLHB5 Antibody - BSA Free

This product is for research use only and is not approved for use in humans or in clinical diagnosis. Primary Antibodies are guaranteed for 1 year from date of receipt.

Loading...
Loading...
Loading...
Loading...