Skip to main content

beta Sarcoglycan Antibody - BSA Free

Novus Biologicals, part of Bio-Techne | Catalog # NBP1-90300

Novus Biologicals, part of Bio-Techne
Catalog #
Availability
Size / Price
Qty
Loading...
NBP1-90300
NBP1-90300-25ul

Key Product Details

Validated by

Orthogonal Validation

Species Reactivity

Validated:

Human

Cited:

Mouse

Applications

Validated:

Immunohistochemistry, Immunohistochemistry-Paraffin

Cited:

Western Blot, IF/IHC

Label

Unconjugated

Antibody Source

Polyclonal Rabbit IgG

Format

BSA Free

Concentration

Concentrations vary lot to lot. See vial label for concentration. If unlisted please contact technical services.

Product Specifications

Immunogen

This antibody was developed against Recombinant Protein corresponding to amino acids: FHMGGNMELKAENSIILNGSVMVSTTRLPSSSSGDQLGSGDWVRYKLCMCADGTLFKVQVTSQNMGCQISDNPCGNTH

Reactivity Notes

Immunogen displays the following percentage of sequence identity for non-tested species: Rat (88%). Mouse reactivity reported in scientific literature (PMIDs : 29712757, 28284983, 26214262).

Clonality

Polyclonal

Host

Rabbit

Isotype

IgG

Description

Novus Biologicals Rabbit beta Sarcoglycan Antibody - BSA Free (NBP1-90300) is a polyclonal antibody validated for use in IHC and WB. Anti-beta Sarcoglycan Antibody: Cited in 7 publications. All Novus Biologicals antibodies are covered by our 100% guarantee.

Scientific Data Images for beta Sarcoglycan Antibody - BSA Free

beta Sarcoglycan Antibody - BSA Free Immunohistochemistry: beta Sarcoglycan Antibody - BSA Free [NBP1-90300]

Immunohistochemistry: beta Sarcoglycan Antibody - BSA Free [NBP1-90300]

Analysis in human heart muscle and pancreas tissues using NBP1-90300 antibody. Corresponding SGCB RNA-seq data are presented for the same tissues.
Immunohistochemistry-Paraffin: beta Sarcoglycan Antibody [NBP1-90300]

Immunohistochemistry-Paraffin: beta Sarcoglycan Antibody [NBP1-90300]

Immunohistochemistry-Paraffin: beta Sarcoglycan Antibody [NBP1-90300] - Staining of human heart muscle shows strong membranous and cytoplasmic positivity in cardiomyocytes.
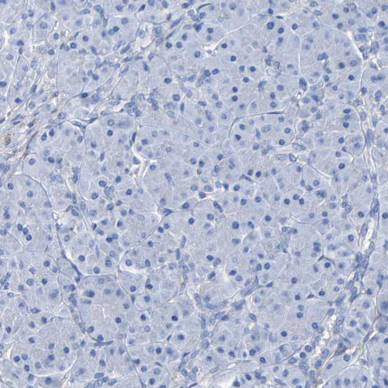
beta Sarcoglycan Antibody - BSA Free Immunohistochemistry: beta Sarcoglycan Antibody - BSA Free [NBP1-90300]

Immunohistochemistry: beta Sarcoglycan Antibody - BSA Free [NBP1-90300]

Staining of human pancreas shows no positivity in exocrine glandular cells as expected.

Applications for beta Sarcoglycan Antibody - BSA Free

Application
Recommended Usage

Immunohistochemistry

1:20 - 1:50

Immunohistochemistry-Paraffin

1:20 - 1:50
Application Notes
For IHC-Paraffin, HIER pH 6 retrieval is recommended. WB use reported with previous lot in PMIDs: 28284983 and 26214262).

Formulation, Preparation, and Storage

Purification

Immunogen affinity purified

Formulation

PBS (pH 7.2) and 40% Glycerol

Format

BSA Free

Preservative

0.02% Sodium Azide

Concentration

Concentrations vary lot to lot. See vial label for concentration. If unlisted please contact technical services.

Shipping

The product is shipped with polar packs. Upon receipt, store it immediately at the temperature recommended below.

Stability & Storage

Store at 4C short term. Aliquot and store at -20C long term. Avoid freeze-thaw cycles.

Background: beta-Sarcoglycan

The dystrophin-glycoprotein complex (DGC) is a multisubunit protein complex that spans the sarcolemma and provides structural linkage between the subsarcolemmal cytoskeleton and the extracellular matrix of muscle cells. There are 3 main subcomplexes of the DGC: the cytoplasmic proteins dystrophin (DMD; MIM 300377) and syntrophin (SNTA1; MIM 601017), the alpha- and beta-dystroglycans (see MIM 128239), and the sarcoglycans (see, e.g., SGCA; MIM 600119) (Crosbie et al., 2000 [PubMed 10942431]).[supplied by OMIM]

Alternate Names

43DAG, A3b, beta Sarcoglycan, Beta-SG, Sarcoglycan beta, SGC, SGCB

Entrez Gene IDs

6443 (Human)

Gene Symbol

SGCB

UniProt

Additional beta-Sarcoglycan Products

Product Documents for beta Sarcoglycan Antibody - BSA Free

Certificate of Analysis

To download a Certificate of Analysis, please enter a lot number in the search box below.

Product Specific Notices for beta Sarcoglycan Antibody - BSA Free

This product is for research use only and is not approved for use in humans or in clinical diagnosis. Primary Antibodies are guaranteed for 1 year from date of receipt.

Loading...
Loading...
Loading...
Loading...