Skip to main content

BCOR Antibody (BCOR/2372)

Novus Biologicals, part of Bio-Techne | Catalog # NBP3-26716

Novus Biologicals, part of Bio-Techne
Catalog #
Availability
Size / Price
Qty
Loading...
NBP3-26716-20ug
NBP3-26716-100ug

Key Product Details

Species Reactivity

Human

Applications

Immunohistochemistry-Paraffin

Label

Unconjugated

Antibody Source

Monoclonal Mouse IgG1 kappa Clone # BCOR/2372

Concentration

0.2 mg/ml

Product Specifications

Immunogen

Recombinant fragment (around aa 100-400) of human BCOR protein (exact sequence is proprietary)

Localization

Nucleus

Clonality

Monoclonal

Host

Mouse

Isotype

IgG1 kappa

Description

Antibody with azide - store at 2 to 8C. Antibody without azide - store at -20 to -80C. Non-hazardous. No MSDS required.

Scientific Data Images for BCOR Antibody (BCOR/2372)

BCOR Antibody (BCOR/2372)

Protein Array: BCOR Antibody (BCOR/2372) [NBP3-26716 ] -

Analysis of Protein Array containing more than 19,000 full-length human proteins usingBCOR Antibody (BCOR/2372).
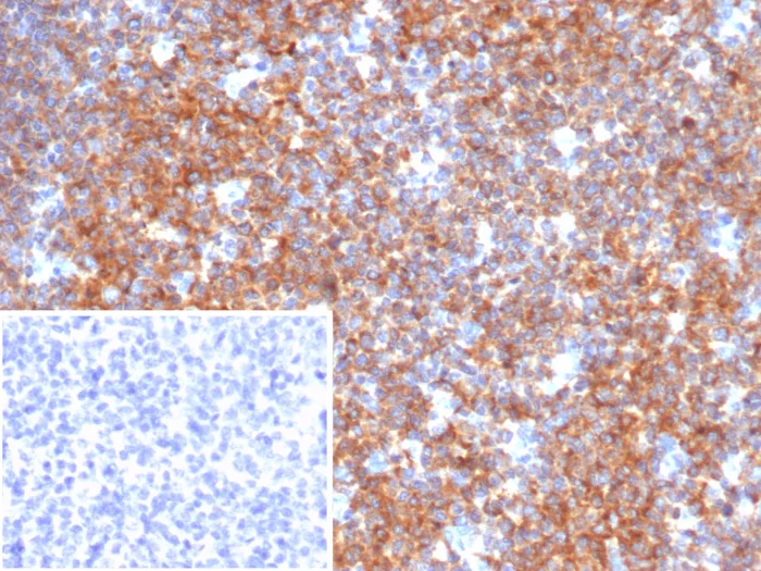
BCOR Antibody (BCOR/2372)

Immunohistochemistry-Paraffin: BCOR Antibody (BCOR/2372) [NBP3-26716 ] -

Formalin-fixed, paraffin-embedded human tonsil stained with BCOR Antibody (BCOR/2372). Inset: PBS instead of primary antibody; secondary only negative control.

Applications for BCOR Antibody (BCOR/2372)

Application
Recommended Usage

Immunohistochemistry-Paraffin

1-2ug/ml for 30 minutes at RT
Application Notes
Immunohistochemistry-Paraffin 1-2ug/ml for 30 minutes at RT. Optimal dilution for a specific application should be determined.. Staining of formalin-fixed tissues requires heating tissue sections in 10mM Tris with 1mM EDTA, pH 9.0, for 45 min at 95C followed by cooling at RT for 20 minutes

Formulation, Preparation, and Storage

Purification

Protein A or G purified

Formulation

10mM PBS with 0.05% BSA

Preservative

0.05% Sodium Azide

Concentration

0.2 mg/ml

Shipping

The product is shipped with polar packs. Upon receipt, store it immediately at the temperature recommended below.

Stability & Storage

Store at 4C.

Background: BCOR

BCOR is encoded by this gene was identified as an interacting corepressor of BCL6, a POZ/zinc finger transcription repressor that is required for germinal center formation and may influence apoptosis. This protein selectively interacts with the POZ domain of BCL6, but not with eight other POZ proteins. Specific class I and II histone deacetylases (HDACs) have been shown to interact with this protein, which suggests a possible link between the two classes of HDACs. Several transcript variants encoding different isoforms have been found for this gene. [provided by RefSeq]

Alternate Names

ANOP2, BCL6 corepressor, BCL-6 corepressor, BCL6 co-repressor, BCL-6 interacting corepressor, BCoR, FLJ20285, FLJ38041, KIAA1575MGC71031, MAA2, MCOPS2, MGC131961

Gene Symbol

BCOR

Additional BCOR Products

Product Documents for BCOR Antibody (BCOR/2372)

Certificate of Analysis

To download a Certificate of Analysis, please enter a lot number in the search box below.

Product Specific Notices for BCOR Antibody (BCOR/2372)

This product is for research use only and is not approved for use in humans or in clinical diagnosis. Primary Antibodies are guaranteed for 1 year from date of receipt.

Loading...
Loading...
Loading...
Loading...