Skip to main content

BCOR Antibody (BCOR/1311) - Azide and BSA Free

Novus Biologicals, part of Bio-Techne | Catalog # NBP3-26997

Novus Biologicals, part of Bio-Techne

Key Product Details

Species Reactivity

Human

Applications

Immunohistochemistry-Paraffin

Label

Unconjugated

Antibody Source

Monoclonal Mouse IgG2 kappa Clone # BCOR/1311

Format

Azide and BSA Free

Concentration

1 mg/ml

Product Specifications

Immunogen

Recombinant fragment (around aa 100-400) of human BCOR protein (exact sequence is proprietary)

Localization

Nucleus

Clonality

Monoclonal

Host

Mouse

Isotype

IgG2 kappa

Description

Antibody without azide - store at -20 to -80C. Non-hazardous. No MSDS required.

Scientific Data Images for BCOR Antibody (BCOR/1311) - Azide and BSA Free

BCOR Antibody (BCOR/1311)

Protein Array: BCOR Antibody (BCOR/1311) - Azide and BSA Free [NBP3-26997] -

Analysis of Protein Array containing more than 19,000 full-length human proteins usingBCOR Antibody (BCOR/1311) - Azide and BSA Free.
BCOR Antibody (BCOR/1311)

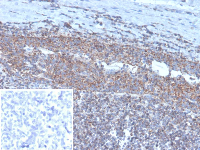
Immunohistochemistry-Paraffin: BCOR Antibody (BCOR/1311) - Azide and BSA Free [NBP3-26997] -

Formalin-fixed, paraffin-embedded human tonsil stained with BCOR Antibody (BCOR/1311) - Azide and BSA Free. Inset: PBS instead of primary antibody; secondary only negative control.

Applications for BCOR Antibody (BCOR/1311) - Azide and BSA Free

Application
Recommended Usage

Immunohistochemistry-Paraffin

1-2ug/ml for 30 minutes at RT
Application Notes
Immunohistochemistry-Paraffin 1-2ug/ml for 30 minutes at RT. Optimal dilution for a specific application should be determined.. Staining of formalin-fixed tissues requires heating tissue sections in 10mM Tris with 1mM EDTA, pH 9.0, for 45 min at 95C followed by cooling at RT for 20 minutes

Formulation, Preparation, and Storage

Purification

Protein A or G purified

Formulation

10mM PBS

Format

Azide and BSA Free

Preservative

No Preservative

Concentration

1 mg/ml

Shipping

The product is shipped with polar packs. Upon receipt, store it immediately at the temperature recommended below.

Stability & Storage

Store at -20 to -80C. Avoid freeze-thaw cycles.

Background: BCOR

BCOR is encoded by this gene was identified as an interacting corepressor of BCL6, a POZ/zinc finger transcription repressor that is required for germinal center formation and may influence apoptosis. This protein selectively interacts with the POZ domain of BCL6, but not with eight other POZ proteins. Specific class I and II histone deacetylases (HDACs) have been shown to interact with this protein, which suggests a possible link between the two classes of HDACs. Several transcript variants encoding different isoforms have been found for this gene. [provided by RefSeq]

Alternate Names

ANOP2, BCL6 corepressor, BCL-6 corepressor, BCL6 co-repressor, BCL-6 interacting corepressor, BCoR, FLJ20285, FLJ38041, KIAA1575MGC71031, MAA2, MCOPS2, MGC131961

Gene Symbol

BCOR

Additional BCOR Products

Product Documents for BCOR Antibody (BCOR/1311) - Azide and BSA Free

Certificate of Analysis

To download a Certificate of Analysis, please enter a lot number in the search box below.

Product Specific Notices for BCOR Antibody (BCOR/1311) - Azide and BSA Free

This product is for research use only and is not approved for use in humans or in clinical diagnosis. Primary Antibodies are guaranteed for 1 year from date of receipt.

Loading...
Loading...
Loading...
Loading...