Skip to main content

BCL9-2 Antibody - BSA Free

Novus Biologicals, part of Bio-Techne | Catalog # NBP1-76542

Novus Biologicals, part of Bio-Techne

Key Product Details

Species Reactivity

Validated:

Human

Predicted:

Mouse (100%), Rat (100%). Backed by our 100% Guarantee.

Applications

Immunohistochemistry, Immunohistochemistry-Paraffin, Western Blot, ELISA, Immunocytochemistry/ Immunofluorescence

Label

Unconjugated

Antibody Source

Polyclonal Rabbit IgG

Format

BSA Free

Concentration

1 mg/ml

Product Specifications

Immunogen

Antibody was raised against a 20 amino acid synthetic peptide near the amino terminus of human Bcl9L. The immunogen is located within amino acids 20 - 70 of Bcl9L. Amino Acid Squence: PAKPMHPENKLTNHGKTGNG

Specificity

Bcl9L antibody is predicted to not cross-react with other Bcl family members. At least four isoforms of Bcl9L are known to exist; this antibody will detect all four.

Clonality

Polyclonal

Host

Rabbit

Isotype

IgG

Theoretical MW

195 kDa.
Disclaimer note: The observed molecular weight of the protein may vary from the listed predicted molecular weight due to post translational modifications, post translation cleavages, relative charges, and other experimental factors.

Description

Novus Biologicals Rabbit BCL9-2 Antibody - BSA Free (NBP1-76542) is a polyclonal antibody validated for use in IHC, WB, ELISA and ICC/IF. All Novus Biologicals antibodies are covered by our 100% guarantee.

Scientific Data Images for BCL9-2 Antibody - BSA Free

Western Blot: BCL9-2 AntibodyBSA Free [NBP1-76542]

Western Blot: BCL9-2 AntibodyBSA Free [NBP1-76542]

Western Blot: BCL9-2 Antibody [NBP1-76542] - HeLa cell lysate at 1 ug/mL in (A) the absence and (B) the presence of blocking peptide.
BCL9-2 Antibody - BSA Free

Immunocytochemistry/ Immunofluorescence: BCL9-2 Antibody - BSA Free [NBP1-76542] -

Immunocytochemistry/ Immunofluorescence: BCL9-2 Antibody - BSA Free [NBP1-76542] - Immunofluorescence of BCL9-2 in human breast tissue with BCL9-2 antibody at 20 ug/ml.

Green: BCL9-2 Antibody
Blue: DAPI staining
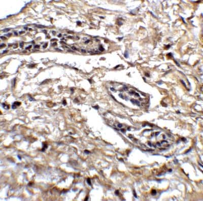
Immunohistochemistry: BCL9-2 Antibody - BSA Free [NBP1-76542]

Immunohistochemistry: BCL9-2 Antibody - BSA Free [NBP1-76542]

Immunohistochemistry: BCL9-2 Antibody [NBP1-76542] - Staining of Bcl9L in human breast tissue with Bcl9L antibody at 5 ug/ml.

Applications for BCL9-2 Antibody - BSA Free

Application
Recommended Usage

ELISA

1:100-1:2000

Immunocytochemistry/ Immunofluorescence

10-20 ug/ml

Immunohistochemistry

5 ug/ml

Immunohistochemistry-Paraffin

5 ug/mL

Western Blot

1 ug/ml

Formulation, Preparation, and Storage

Purification

Peptide affinity purified

Formulation

PBS

Format

BSA Free

Preservative

0.02% Sodium Azide

Concentration

1 mg/ml

Shipping

The product is shipped with polar packs. Upon receipt, store it immediately at the temperature recommended below.

Stability & Storage

Store at 4C.

Background: Bcl9-2

Bcl9L, a homolog of Bcl9, was initially identified through a bioinformatics screening. It is expressed in fetal brain, adult lung, eye and prostate, in addition to several types of tumors including pancreatic and prostate cancers. Bcl9L has been shown to interact with beta-catenin, a target of the Wnt signaling pathway, and is required for enhanced beta-catenin-T-cell factor (TCF)-mediated transcription in colorectal tumor cells, possibly by translocating beta-catenin to the nucleus. Other studies have indicated that Bcl9L expression correlates with high nuclear grade cancer phenotype and the expression of ErbB2/HER-2 in breast cancers, suggesting that activity may occur in other types of cancer. Bcl9L has also been shown to be critical for Wnt-mediate regulation of stem cell traits in colon epithelium and adenocarcinomas which are associated with tumor invasion, metastasis, and resistance to therapy.

Long Name

B Cell Lymphoma/Leukemia 9-like Protein

Alternate Names

Bcl92, DLNB11

Entrez Gene IDs

283149 (Human); 80288 (Mouse)

Gene Symbol

BCL9L

UniProt

Additional Bcl9-2 Products

Product Documents for BCL9-2 Antibody - BSA Free

Certificate of Analysis

To download a Certificate of Analysis, please enter a lot number in the search box below.

Product Specific Notices for BCL9-2 Antibody - BSA Free

This product is for research use only and is not approved for use in humans or in clinical diagnosis. Primary Antibodies are guaranteed for 1 year from date of receipt.

Loading...
Loading...
Loading...
Loading...