Skip to main content

BBOX1 Antibody (OTI4F9)

Novus Biologicals, part of Bio-Techne | Catalog # NBP2-45548

Novus Biologicals, part of Bio-Techne
Catalog #
Availability
Size / Price
Qty
Loading...
NBP2-45548

Key Product Details

Species Reactivity

Human, Mouse, Rat

Applications

Immunohistochemistry, Immunohistochemistry-Paraffin, Western Blot, Immunocytochemistry/ Immunofluorescence

Label

Unconjugated

Antibody Source

Monoclonal Mouse IgG1 Clone # OTI4F9

Concentration

1 mg/ml

Product Specifications

Immunogen

Full length human recombinant protein of human BBOX1(NP_003977) produced in HEK293T cell.

Reactivity Notes

Please note that this antibody is reactive to Mouse and derived from the same host, Mouse. Mouse-On-Mouse blocking reagent may be needed for IHC and ICC experiments to reduce high background signal. You can find these reagents under catalog numbers PK-2200-NB and MP-2400-NB. Please contact Technical Support if you have any questions.

Clonality

Monoclonal

Host

Mouse

Isotype

IgG1

Theoretical MW

44.5 kDa.
Disclaimer note: The observed molecular weight of the protein may vary from the listed predicted molecular weight due to post translational modifications, post translation cleavages, relative charges, and other experimental factors.

Description

Novus Biologicals Mouse BBOX1 Antibody (OTI4F9) (NBP2-45548) is a monoclonal antibody validated for use in IHC, WB and ICC/IF. All Novus Biologicals antibodies are covered by our 100% guarantee.

Scientific Data Images for BBOX1 Antibody (OTI4F9)

Western Blot: BBOX1 Antibody (OTI4F9) [NBP2-45548]

Western Blot: BBOX1 Antibody (OTI4F9) [NBP2-45548]

Western Blot: BBOX1 Antibody (OTI4F9) [NBP2-45548] - Analysis of HEK293T cells were transfected with the pCMV6-ENTRY control (Left lane) or pCMV6-ENTRY BBOX1.
Immunohistochemistry: BBOX1 Antibody (OTI4F9) [NBP2-45548]

Immunohistochemistry: BBOX1 Antibody (OTI4F9) [NBP2-45548]

Immunohistochemistry: BBOX1 Antibody (OTI4F9) [NBP2-45548] - Analysis of Human Kidney tissue. (Heat-induced epitope retrieval by 10mM citric buffer, pH6.0, 120C for 3min)
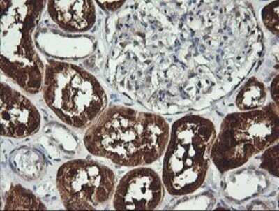
Immunohistochemistry: BBOX1 Antibody (OTI4F9) [NBP2-45548]

Immunohistochemistry: BBOX1 Antibody (OTI4F9) [NBP2-45548]

Immunohistochemistry: BBOX1 Antibody (OTI4F9) [NBP2-45548] - Analysis of Human breast tissue. (Heat-induced epitope retrieval by 10mM citric buffer, pH6.0, 120C for 3min)

Applications for BBOX1 Antibody (OTI4F9)

Application
Recommended Usage

Immunocytochemistry/ Immunofluorescence

1:100

Immunohistochemistry

1:150

Western Blot

1:4000

Formulation, Preparation, and Storage

Purification

Immunogen affinity purified

Formulation

PBS (pH 7.3), 1.0% BSA and 50% Glycerol

Preservative

0.02% Sodium Azide

Concentration

1 mg/ml

Shipping

The product is shipped with polar packs. Upon receipt, store it immediately at the temperature recommended below.

Stability & Storage

Store at -20C. Avoid freeze-thaw cycles.

Background: BBOX1

BBOX1 encodes gamma butyrobetaine hydroxylase which catalyzes the formation of L-carnitine from gamma-butyrobetaine, the last step in the L-carnitine biosynthetic pathway. Carnitine is essential for the transport of activated fatty acids across the mitochondrial membrane during mitochondrial beta-oxidation.

Alternate Names

2-oxoglutarate dioxygenase, 2-oxoglutarate dioxygenase 1, BBHgamma-butyrobetaine, BBOXEC 1.14.11.1, butyrobetaine (gamma), 2-oxoglutarate dioxygenase (gamma-butyrobetainehydroxylase) 1, gamma-BBH, Gamma-butyrobetaine, gamma-butyrobetaine dioxygenase, Gamma-butyrobetaine hydroxylase, G-BBH

Gene Symbol

BBOX1

Additional BBOX1 Products

Product Documents for BBOX1 Antibody (OTI4F9)

Certificate of Analysis

To download a Certificate of Analysis, please enter a lot number in the search box below.

Product Specific Notices for BBOX1 Antibody (OTI4F9)

This product is for research use only and is not approved for use in humans or in clinical diagnosis. Primary Antibodies are guaranteed for 1 year from date of receipt.

Loading...
Loading...
Loading...
Loading...