BANF1 Antibody - BSA Free
Novus Biologicals, part of Bio-Techne | Catalog # NBP2-38442
Key Product Details
Validated by
Orthogonal Validation
Species Reactivity
Validated:
Human
Predicted:
Mouse (96%), Rat (96%). Backed by our 100% Guarantee.
Applications
Immunohistochemistry, Immunohistochemistry-Paraffin, Immunocytochemistry/ Immunofluorescence
Label
Unconjugated
Antibody Source
Polyclonal Rabbit IgG
Format
BSA Free
Concentration
Concentrations vary lot to lot. See vial label for concentration. If unlisted please contact technical services.
Product Specifications
Immunogen
This antibody was developed against a recombinant protein corresponding to amino acids: MTTSQKHRDFVAEPMGEKPVGSLAGIGEVLGKKLEERGFDKAYVVLGQFLVLKKDEDLFREWLKDTCGANAKQSRDCFGC
Clonality
Polyclonal
Host
Rabbit
Isotype
IgG
Description
Novus Biologicals Rabbit BANF1 Antibody - BSA Free (NBP2-38442) is a polyclonal antibody validated for use in IHC and ICC/IF. All Novus Biologicals antibodies are covered by our 100% guarantee.
Scientific Data Images for BANF1 Antibody - BSA Free
Immunocytochemistry/ Immunofluorescence: BANF1 Antibody [NBP2-38442]
Immunocytochemistry/Immunofluorescence: BANF1 Antibody [NBP2-38442] - Staining of human cell line MCF7 shows localization to nucleoplasm. Antibody staining is shown in green.Immunohistochemistry-Paraffin: BANF1 Antibody [NBP2-38442]
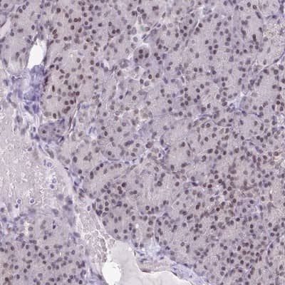
Immunohistochemistry-Paraffin: BANF1 Antibody [NBP2-38442] - Staining of human liver shows low positivity in hepatocytes as expected.Applications for BANF1 Antibody - BSA Free
Application
Recommended Usage
Immunocytochemistry/ Immunofluorescence
0.25-2 ug/ml
Immunohistochemistry
1:50 - 1:200
Immunohistochemistry-Paraffin
1:50 - 1:200
Application Notes
For IHC-Paraffin, HIER pH 6 retrieval is recommended. ICC/IF Fixation Permeabilization: Use PFA/Triton X-100.
Reviewed Applications
Read 1 review rated 2 using NBP2-38442 in the following applications:
Formulation, Preparation, and Storage
Purification
Affinity purified
Formulation
PBS (pH 7.2) and 40% Glycerol
Format
BSA Free
Preservative
0.02% Sodium Azide
Concentration
Concentrations vary lot to lot. See vial label for concentration. If unlisted please contact technical services.
Shipping
The product is shipped with polar packs. Upon receipt, store it immediately at the temperature recommended below.
Stability & Storage
Store at 4C short term. Aliquot and store at -20C long term. Avoid freeze-thaw cycles.
Background: BANF1
Long Name
Barrier-to-autointegration factor
Alternate Names
BCRG1
Gene Symbol
BANF1
UniProt
Additional BANF1 Products
Product Documents for BANF1 Antibody - BSA Free
Product Specific Notices for BANF1 Antibody - BSA Free
This product is for research use only and is not approved for use in humans or in clinical diagnosis. Primary Antibodies are guaranteed for 1 year from date of receipt.
Loading...
Loading...
Loading...
Loading...