Skip to main content

BAIAP2L1 Antibody - BSA Free

Novus Biologicals, part of Bio-Techne | Catalog # NBP1-89542

Novus Biologicals, part of Bio-Techne
Catalog #
Availability
Size / Price
Qty
Loading...
NBP1-89542
NBP1-89542-25ul

Key Product Details

Validated by

Orthogonal Validation

Species Reactivity

Human

Applications

Immunohistochemistry, Immunohistochemistry-Paraffin, Western Blot, Immunocytochemistry/ Immunofluorescence

Label

Unconjugated

Antibody Source

Polyclonal Rabbit IgG

Format

BSA Free

Concentration

Concentrations vary lot to lot. See vial label for concentration. If unlisted please contact technical services.

Product Specifications

Immunogen

This antibody was developed against Recombinant Protein corresponding to amino acids: ERSNVVRKDYDTLSKCSPKMPPAPSGRAYTSPLIDMFNNPATAAPNSQRVNNSTGTSEDPSLQRSVSVATGLNMMKKQKVKTIFPHTAGSN

Clonality

Polyclonal

Host

Rabbit

Isotype

IgG

Scientific Data Images for BAIAP2L1 Antibody - BSA Free

BAIAP2L1 Antibody - BSA Free Immunocytochemistry/ Immunofluorescence: BAIAP2L1 Antibody - BSA Free [NBP1-89542]

Immunocytochemistry/ Immunofluorescence: BAIAP2L1 Antibody - BSA Free [NBP1-89542]

Staining of human cell line U-2 OS shows localization to plasma membrane & cytosol.
BAIAP2L1 Antibody - BSA Free Immunohistochemistry-Paraffin: BAIAP2L1 Antibody - BSA Free [NBP1-89542]

Immunohistochemistry-Paraffin: BAIAP2L1 Antibody - BSA Free [NBP1-89542]

Analysis in human duodenum and skeletal muscle tissues using NBP1-89542 antibody. Corresponding BAIAP2L1 RNA-seq data are presented for the same tissues.
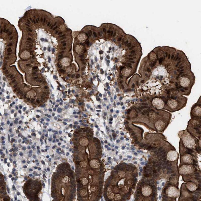
BAIAP2L1 Antibody - BSA Free Immunohistochemistry-Paraffin: BAIAP2L1 Antibody - BSA Free [NBP1-89542]

Immunohistochemistry-Paraffin: BAIAP2L1 Antibody - BSA Free [NBP1-89542]

Staining of human duodenum shows strong cytoplasmic and membranous positivity in glandular cells.

Applications for BAIAP2L1 Antibody - BSA Free

Application
Recommended Usage

Immunocytochemistry/ Immunofluorescence

0.25-2 ug/ml

Immunohistochemistry

1:500 - 1:1000

Immunohistochemistry-Paraffin

1:500 - 1:1000

Western Blot

0.04-0.4 ug/ml
Application Notes
For IHC-Paraffin, HIER pH 6 retrieval is recommended. Immunocytochemistry/Immunofluorescence Fixation Permeabilization: Use PFA/Triton X-100.

Formulation, Preparation, and Storage

Purification

Affinity purified

Formulation

PBS (pH 7.2) and 40% Glycerol

Format

BSA Free

Preservative

0.02% Sodium Azide

Concentration

Concentrations vary lot to lot. See vial label for concentration. If unlisted please contact technical services.

Shipping

The product is shipped with polar packs. Upon receipt, store it immediately at the temperature recommended below.

Stability & Storage

Store at 4C short term. Aliquot and store at -20C long term. Avoid freeze-thaw cycles.

Background: BAIAP2L1

BAIAP2L1 (Brain-specific angiogenesis inhibitor 1-associated protein 2-like protein 1) may function as an adapter protein. It contains an IRSp53/MIM homology domain (IMD) that bundles actin filaments, and interacts with the small GTPase Rac.

Alternate Names

BAI1-associated protein 2-like 1, BAI1-associated protein 2-like protein 1, brain-specific angiogenesis inhibitor 1-associated protein 2-like protein 1, FLJ42275, IRTKSInsulin receptor tyrosine kinase substrate

Gene Symbol

BAIAP2L1

Additional BAIAP2L1 Products

Product Documents for BAIAP2L1 Antibody - BSA Free

Certificate of Analysis

To download a Certificate of Analysis, please enter a lot number in the search box below.

Product Specific Notices for BAIAP2L1 Antibody - BSA Free

This product is for research use only and is not approved for use in humans or in clinical diagnosis. Primary Antibodies are guaranteed for 1 year from date of receipt.

Loading...
Loading...
Loading...
Loading...