Skip to main content

BAHD1 Antibody - Azide and BSA Free

Novus Biologicals, part of Bio-Techne | Catalog # H00022893-B01P

Novus Biologicals, part of Bio-Techne
Catalog #
Availability
Size / Price
Qty
Loading...
H00022893-B01P

Key Product Details

Species Reactivity

Human

Applications

Western Blot, Immunocytochemistry/ Immunofluorescence

Label

Unconjugated

Antibody Source

Polyclonal Mouse IgG

Format

Azide and BSA Free

Concentration

Concentrations vary lot to lot. See vial label for concentration. If unlisted please contact technical services.

Product Specifications

Immunogen

BAHD1 (NP_055767.2, 1 a.a. - 780 a.a.) full-length human protein. MTHTRRKSLPMLSSGLTGRREPLQMEDSNMEQGVEGVEPGMPESPGHLTGRRKNYPLRKRPLVPEKPKACKVLLTRLENVAGPRSADEADELPPDLPKPPSPAPSSEDPGLAQPRKRRLASLNAEALNNLLLEREDTSSLAGTRRSRAGDPHRSRDRDRATGGWSSSKKRPRLGDLGGGSRHLSPEPAPDEGPRRDGDPAPKRLASLNAAAFLKLSQERELPLRLPRAHAEVDGRSTEPPAPKAPRPKWPKVNGKNYPKAWQGASSGEAAGPPGWQGCPDEPWPSATPCGPSVQPSHKPLSKALESPLGLRPHLPLLMGGQAALKPEPGRPGEESPAPKQELHQPSFPTPQLSPLPMPGNPADYNGLCVGPELTALGSFYLYCGQEGLQCGGYSPCPMLPEGKLSPVAAPHEEGLLLAPSSVPSGTPFQHPPWGSSRYCSSEDTGVNGYSICGVLPLSVTHAGTTCGGCPYKMPFAAEGCRSLGQLEFPLPEAGHPASPAHPLLGCPVPSVPPAAEPVPHLQTPTSEPQTVARACPQSAKPPSGSKSGLRTGSSCRHTARSKAARRPSHPKQPRVQRPRPRRRRRRRTNGWVPVGAACEKAVYVLDEPEPAIRKSYQAVERHGETIRVRDTVLLKSGPRKTSTPYVAKISALWENPESGELMMSLLWYYRPEHLQGGRSPSMHEPLQNEVFASRHQDQNSVACIEEKCYVLTFAEYCRFCAMAKRRGEGLPSRKTALVPPSADYSTPPHRTVPEDTDPELVFLCRHVYDFRHGRILKNPQ

Clonality

Polyclonal

Host

Mouse

Isotype

IgG

Scientific Data Images for BAHD1 Antibody - Azide and BSA Free

Western Blot: BAHD1 Antibody [H00022893-B01P]

Western Blot: BAHD1 Antibody [H00022893-B01P]

Western Blot: BAHD1 Antibody [H00022893-B01P] - Analysis of BAHD1 expression in transfected 293T cell line by BAHD1 polyclonal antibody. Lane 1: BAHD1 transfected lysate(85.8 KDa). Lane 2: Non-transfected lysate.
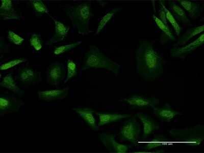
Immunocytochemistry/ Immunofluorescence: BAHD1 Antibody [H00022893-B01P]

Immunocytochemistry/ Immunofluorescence: BAHD1 Antibody [H00022893-B01P]

Immunocytochemistry/Immunofluorescence: BAHD1 Antibody [H00022893-B01P] - Analysis of purified antibody to BAHD1 on HeLa cell. (antibody concentration 10 ug/ml)

Applications for BAHD1 Antibody - Azide and BSA Free

Application
Recommended Usage

Immunocytochemistry/ Immunofluorescence

Optimal dilutions of this antibody should be experimentally determined.

Western Blot

Optimal dilutions of this antibody should be experimentally determined.
Application Notes
This antibody is useful for Western Blot, Functional

Formulation, Preparation, and Storage

Purification

Protein G purified

Formulation

PBS (pH 7.4)

Format

Azide and BSA Free

Preservative

No Preservative

Concentration

Concentrations vary lot to lot. See vial label for concentration. If unlisted please contact technical services.

Shipping

The product is shipped with polar packs. Upon receipt, store it immediately at the temperature recommended below.

Stability & Storage

Aliquot and store at -20C or -80C. Avoid freeze-thaw cycles.

Background: BAHD1

Heterochromatin protein that acts as a transcription repressor and has the ability to promote the formation of large heterochromatic domains. May act by recruiting heterochromatin proteins such as CBX5 (HP1 alpha), HDAC5 and MBD1. Represses IGF2 expression by binding to its CpG-rich P3 promoter and recruiting heterochromatin proteins

Alternate Names

bromo adjacent homology domain containing 1, bromo adjacent homology domain-containing 1 protein, KIAA0945BAH domain-containing protein 1

Gene Symbol

BAHD1

Additional BAHD1 Products

Product Documents for BAHD1 Antibody - Azide and BSA Free

Certificate of Analysis

To download a Certificate of Analysis, please enter a lot number in the search box below.

Product Specific Notices for BAHD1 Antibody - Azide and BSA Free

This product is produced by and distributed for Abnova, a company based in Taiwan.

This product is for research use only and is not approved for use in humans or in clinical diagnosis. Primary Antibodies are guaranteed for 1 year from date of receipt.

Loading...
Loading...
Loading...
Loading...