Skip to main content

Bag-1 Antibody - BSA Free

Novus Biologicals, part of Bio-Techne | Catalog # NBP1-89547

Novus Biologicals, part of Bio-Techne
Catalog #
Availability
Size / Price
Qty
Loading...
NBP1-89547
NBP1-89547-25ul

Key Product Details

Validated by

Orthogonal Validation

Species Reactivity

Human

Applications

Immunohistochemistry, Immunohistochemistry-Paraffin

Label

Unconjugated

Antibody Source

Polyclonal Rabbit IgG

Format

BSA Free

Concentration

Concentrations vary lot to lot. See vial label for concentration. If unlisted please contact technical services.

Product Specifications

Immunogen

This antibody was developed against Recombinant Protein corresponding to amino acids: GKSLKEMETPLSALGIQDGCRVMLIGKKNSPQEEVELKKLKHLEKSVEKIADQLEELNKELTGIQQGFLPKDLQAEALCKLDRRVKATIEQFMKILEEIDTLILPENFKDSRLKRKGLVKKVQAFLAECDTVEQNICQETE

Reactivity Notes

Immunogen displays the following percentage of sequence identity for non-tested species: Mouse (84%), Rat (83%)

Clonality

Polyclonal

Host

Rabbit

Isotype

IgG

Scientific Data Images for Bag-1 Antibody - BSA Free

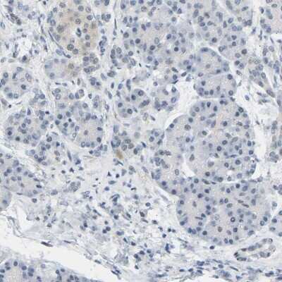
Bag-1 Antibody - BSA Free Immunohistochemistry-Paraffin: Bag-1 Antibody - BSA Free [NBP1-89547]

Immunohistochemistry-Paraffin: Bag-1 Antibody - BSA Free [NBP1-89547]

Analysis in human thyroid gland and pancreas tissues using Anti-BAG1 antibody. Corresponding BAG1 RNA-seq data are presented for the same tissues.
Immunohistochemistry-Paraffin: Bag-1 Antibody [NBP1-89547]

Immunohistochemistry-Paraffin: Bag-1 Antibody [NBP1-89547]

Immunohistochemistry-Paraffin: Bag-1 Antibody [NBP1-89547] - Staining of human pancreas shows low expression as expected.
Immunohistochemistry-Paraffin: Bag-1 Antibody [NBP1-89547]

Immunohistochemistry-Paraffin: Bag-1 Antibody [NBP1-89547]

Immunohistochemistry-Paraffin: Bag-1 Antibody [NBP1-89547] - Staining of human thyroid gland shows high expression.

Applications for Bag-1 Antibody - BSA Free

Application
Recommended Usage

Immunohistochemistry

1:50 - 1:200

Immunohistochemistry-Paraffin

1:50 - 1:200
Application Notes
For IHC-Paraffin, HIER pH 6 retrieval is recommended. Immunocytochemistry/Immunofluorescence Fixation Permeabilization: Use PFA/Triton X-100.

Formulation, Preparation, and Storage

Purification

Affinity purified

Formulation

PBS (pH 7.2) and 40% Glycerol

Format

BSA Free

Preservative

0.02% Sodium Azide

Concentration

Concentrations vary lot to lot. See vial label for concentration. If unlisted please contact technical services.

Shipping

The product is shipped with polar packs. Upon receipt, store it immediately at the temperature recommended below.

Stability & Storage

Store at 4C short term. Aliquot and store at -20C long term. Avoid freeze-thaw cycles.

Background: Bag-1

The oncogene BCL2 is a membrane protein that blocks a step in a pathway leading to apoptosis or programmed cell death. The protein encoded by this gene binds to BCL2 and is referred to as BCL2-associated athanogene. It enhances the anti-apoptotic effects of BCL2 and represents a link between growth factor receptors and anti-apoptotic mechanisms. At least three protein isoforms are encoded by this mRNA through the use of a non-AUG (CUG) start site, and alternative, downstream, AUG translation initiation sites.

Long Name

Bcl-2-associated Anthanogene-1

Alternate Names

Bag1

Gene Symbol

BAG1

Additional Bag-1 Products

Product Documents for Bag-1 Antibody - BSA Free

Certificate of Analysis

To download a Certificate of Analysis, please enter a lot number in the search box below.

Product Specific Notices for Bag-1 Antibody - BSA Free

This product is for research use only and is not approved for use in humans or in clinical diagnosis. Primary Antibodies are guaranteed for 1 year from date of receipt.

Loading...
Loading...
Loading...
Loading...