Skip to main content

B4GALNT2 Antibody - BSA Free

Novus Biologicals, part of Bio-Techne | Catalog # NBP3-47894

Novus Biologicals, part of Bio-Techne
Catalog #
Availability
Size / Price
Qty
Loading...
NBP3-47894

Key Product Details

Species Reactivity

Human

Applications

Immunohistochemistry, Western Blot, ELISA

Label

Unconjugated

Antibody Source

Polyclonal Rabbit IgG

Format

BSA Free

Concentration

Please see the vial label for concentration. If unlisted please contact technical services.

Product Specifications

Immunogen

beta-1,4-N-acetyl-galactosaminyl transferase 2. (Uniprot# Q8NHY0)

Clonality

Polyclonal

Host

Rabbit

Isotype

IgG

Theoretical MW

65 kDa.
Disclaimer note: The observed molecular weight of the protein may vary from the listed predicted molecular weight due to post translational modifications, post translation cleavages, relative charges, and other experimental factors.

Description

Novus Biologicals Rabbit B4GALNT2 Antibody - BSA Free (NBP3-47894) is a polyclonal antibody validated for use in IHC, WB and ELISA. All Novus Biologicals antibodies are covered by our 100% guarantee.

Scientific Data Images for B4GALNT2 Antibody - BSA Free

B4GALNT2 Antibody - BSA Free

Western Blot: B4GALNT2 Antibody - BSA Free [NBP3-47894] -

Western Blot: B4GALNT2 Antibody - BSA Free [NBP3-47894] - Jurkat cells were subjected to SDS PAGE followed by western blot with (B4GALNT2 Antibody) at dilution of 1:1000
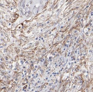
B4GALNT2 Antibody - BSA Free

Immunohistochemistry: B4GALNT2 Antibody - BSA Free [NBP3-47894] -

Immunohistochemistry: B4GALNT2 Antibody - BSA Free [NBP3-47894] - Immunohistochemistry of paraffin-embedded human colon cancer tissue slide using (B4GALNT2 Antibody) at dilution of 1:50

Applications for B4GALNT2 Antibody - BSA Free

Application
Recommended Usage

Immunohistochemistry

1:20-1:200

Western Blot

1:500-1:2000

Formulation, Preparation, and Storage

Purification

Immunogen affinity purified

Formulation

PBS, 50% Glycerol, pH (7.3)

Format

BSA Free

Preservative

0.02% Sodium Azide

Concentration

Please see the vial label for concentration. If unlisted please contact technical services.

Shipping

The product is shipped with polar packs. Upon receipt, store it immediately at the temperature recommended below.

Stability & Storage

Store at -20C. Avoid freeze-thaw cycles.

Background: B4GALNT2

Long Name

Beta-1,4-N-Acetyl-Galactosaminyltransferase 2

Alternate Names

B4GALT, GALGT2

Gene Symbol

B4GALNT2

Additional B4GALNT2 Products

Product Documents for B4GALNT2 Antibody - BSA Free

Certificate of Analysis

To download a Certificate of Analysis, please enter a lot number in the search box below.

Product Specific Notices for B4GALNT2 Antibody - BSA Free

This product is for research use only and is not approved for use in humans or in clinical diagnosis. Primary Antibodies are guaranteed for 1 year from date of receipt.

Loading...
Loading...
Loading...
Loading...