Skip to main content

ATPGD1 Antibody - BSA Free

Novus Biologicals, part of Bio-Techne | Catalog # NBP3-41517

Novus Biologicals, part of Bio-Techne
Catalog #
Availability
Size / Price
Qty
Loading...
NBP3-41517

Key Product Details

Species Reactivity

Mouse

Applications

Immunohistochemistry, Immunohistochemistry-Paraffin, Western Blot

Label

Unconjugated

Antibody Source

Polyclonal Rabbit

Format

BSA Free

Concentration

0.5 mg/ml

Product Specifications

Immunogen

Immunized with recombinant Mouse ATPGD1 (Uniprot#: Q6ZPS2; Ala623-Phe826 (Uniprot#: Q6ZPS2)

Clonality

Polyclonal

Host

Rabbit

Description

Novus Biologicals Rabbit ATPGD1 Antibody - BSA Free (NBP3-41517) is a polyclonal antibody validated for use in IHC and WB. All Novus Biologicals antibodies are covered by our 100% guarantee.

Scientific Data Images for ATPGD1 Antibody - BSA Free

ATPGD1 Antibody

Immunohistochemistry-Paraffin: ATPGD1 Antibody [NBP3-41517] -

Immunohistochemistry-Paraffin: ATPGD1 Antibody [NBP3-41517] - DAB staining on IHC-P; Samples: Mouse Liver Tissue; Primary Ab: 20ug/ml NBP3-41517; Second Ab: 2ug/mL HRP-Linked Caprine Anti-Rabbit IgG Polyclonal Antibody
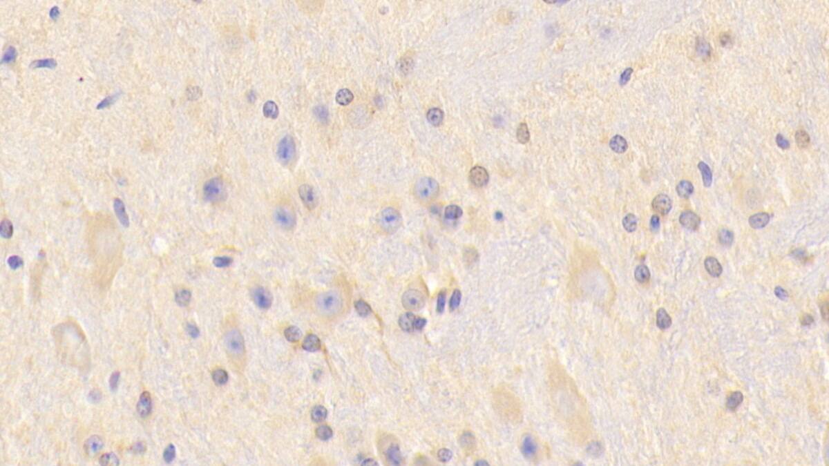
ATPGD1 Antibody

Immunohistochemistry-Paraffin: ATPGD1 Antibody [NBP3-41517] -

Immunohistochemistry-Paraffin: ATPGD1 Antibody [NBP3-41517] - DAB staining on IHC-P; Samples: Mouse Cerebrum Tissue; Primary Ab: 20ug/ml NBP3-41517; Second Ab: 2ug/mL HRP-Linked Caprine Anti-Rabbit IgG Polyclonal Antibody
ATPGD1 Antibody

Western Blot: ATPGD1 Antibody [NBP3-41517] -

Western Blot: ATPGD1 Antibody [NBP3-41517] - Sample: Recombinant protein.

Applications for ATPGD1 Antibody - BSA Free

Application
Recommended Usage

Immunohistochemistry

5-20ug/mL

Immunohistochemistry-Paraffin

5-20ug/mL

Western Blot

0.01-2ug/mL

Formulation, Preparation, and Storage

Purification

Antigen and protein A Affinity-purified

Formulation

PBS, pH7.4, 50% glycerol

Format

BSA Free

Preservative

0.02% Sodium Azide

Concentration

0.5 mg/ml

Shipping

The product is shipped with polar packs. Upon receipt, store it immediately at the temperature recommended below.

Stability & Storage

Store at 4C short term. Aliquot and store at -20C long term. Avoid freeze-thaw cycles.

Background: ATPGD1

Alternate Names

ATP-grasp domain-containing protein 1, carnosine synthase 1, EC 6.3.2.11, KIAA1394ATPGD1ATP-grasp domain containing 1

Gene Symbol

CARNS1

Additional ATPGD1 Products

Product Documents for ATPGD1 Antibody - BSA Free

Certificate of Analysis

To download a Certificate of Analysis, please enter a lot number in the search box below.

Product Specific Notices for ATPGD1 Antibody - BSA Free

This product is for research use only and is not approved for use in humans or in clinical diagnosis. Primary Antibodies are guaranteed for 1 year from date of receipt.

Loading...
Loading...
Loading...
Loading...