ATPG Antibody (OTI2H6)
Novus Biologicals, part of Bio-Techne | Catalog # NBP2-45506
Conjugate
Catalog #
Forumulation
Catalog #
Key Product Details
Species Reactivity
Human, Monkey
Applications
Immunohistochemistry, Immunohistochemistry-Paraffin, Western Blot
Label
Unconjugated
Antibody Source
Monoclonal Mouse IgG1 Clone # OTI2H6
Concentration
1 mg/ml
Product Specifications
Immunogen
Full length human recombinant protein of human ATP5C1 (NP_001001973) produced in E.coli.
Clonality
Monoclonal
Host
Mouse
Isotype
IgG1
Theoretical MW
30.1 kDa.
Disclaimer note: The observed molecular weight of the protein may vary from the listed predicted molecular weight due to post translational modifications, post translation cleavages, relative charges, and other experimental factors.
Disclaimer note: The observed molecular weight of the protein may vary from the listed predicted molecular weight due to post translational modifications, post translation cleavages, relative charges, and other experimental factors.
Description
Novus Biologicals Mouse ATPG Antibody (OTI2H6) (NBP2-45506) is a monoclonal antibody validated for use in IHC and WB. All Novus Biologicals antibodies are covered by our 100% guarantee.
Scientific Data Images for ATPG Antibody (OTI2H6)
Western Blot: ATPG Antibody (OTI2H6) [NBP2-45506]
Western Blot: ATPG Antibody (2H6) [NBP2-45506] - Analysis of HEK293T cells were transfected with the pCMV6-ENTRY control (Left lane) or pCMV6-ENTRY ATPG.Immunohistochemistry: ATPG Antibody (OTI2H6) [NBP2-45506]
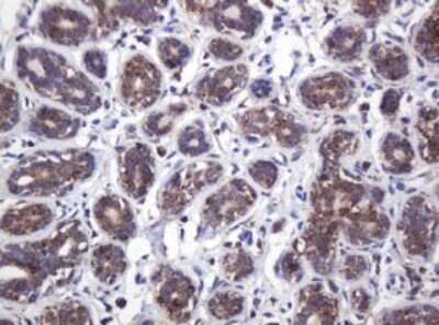
Immunohistochemistry: ATPG Antibody (2H6) [NBP2-45506] - Analysis of Human breast tissue. (Heat-induced epitope retrieval by 10mM citric buffer, pH6.0, 120C for 3min)Western Blot: ATPG Antibody (OTI2H6) [NBP2-45506]
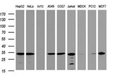
Western Blot: ATPG Antibody (2H6) [NBP2-45506] - Analysis of extracts (35ug) from 9 different cell lines (HepG2: human; HeLa: human; SVT2: mouse; A549: human; COS7: monkey; Jurkat: human; MDCK: canine; PC12: rat; MCF7: human).Applications for ATPG Antibody (OTI2H6)
Application
Recommended Usage
Immunohistochemistry
1:150
Western Blot
1:2000
Formulation, Preparation, and Storage
Purification
Immunogen affinity purified
Formulation
PBS (pH 7.3), 1.0% BSA and 50% Glycerol
Preservative
0.02% Sodium Azide
Concentration
1 mg/ml
Shipping
The product is shipped with polar packs. Upon receipt, store it immediately at the temperature recommended below.
Stability & Storage
Store at -20C. Avoid freeze-thaw cycles.
Background: ATPG
Alternate Names
ATP synthase gamma chain, mitochondrial, ATP synthase, H+ transporting, mitochondrial F1 complex, gamma polypeptide 1, ATP5CATP synthase subunit gamma, mitochondrial, ATP5CL1mitochondrial ATP synthase, gamma subunit 1, F-ATPase gamma subunit
Gene Symbol
ATP5F1C
Additional ATPG Products
Product Documents for ATPG Antibody (OTI2H6)
Product Specific Notices for ATPG Antibody (OTI2H6)
This product is for research use only and is not approved for use in humans or in clinical diagnosis. Primary Antibodies are guaranteed for 1 year from date of receipt.
Loading...
Loading...
Loading...
Loading...