Skip to main content

ATPase Na+/K+ beta 2 Antibody - BSA Free

Novus Biologicals, part of Bio-Techne | Catalog # NBP3-47924

Novus Biologicals, part of Bio-Techne
Catalog #
Availability
Size / Price
Qty
Loading...
NBP3-47924

Key Product Details

Species Reactivity

Human, Mouse, Rat

Applications

Immunohistochemistry, Western Blot, ELISA

Label

Unconjugated

Antibody Source

Polyclonal Rabbit IgG

Format

BSA Free

Concentration

Please see the vial label for concentration. If unlisted please contact technical services.

Product Specifications

Immunogen

ATPase, Na+/K+ transporting, beta 2 polypeptide. (Uniprot# P14415)

Clonality

Polyclonal

Host

Rabbit

Isotype

IgG

Description

Novus Biologicals Rabbit ATPase Na+/K+ beta 2 Antibody - BSA Free (NBP3-47924) is a polyclonal antibody validated for use in IHC, WB and ELISA. All Novus Biologicals antibodies are covered by our 100% guarantee.

Scientific Data Images for ATPase Na+/K+ beta 2 Antibody - BSA Free

ATPase Na+/K+ beta 2 Antibody - BSA Free

Western Blot: ATPase Na+/K+ beta 2 Antibody - BSA Free [NBP3-47924] -

Western Blot: ATPase Na+/K+ beta 2 Antibody - BSA Free [NBP3-47924] - Mouse brain tissue were subjected to SDS PAGE followed by western blot with (ATPase Na+/K+ beta 2 Antibody) at dilution of 1:1000
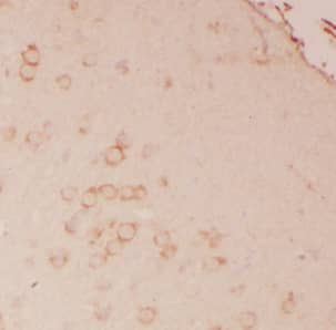
ATPase Na+/K+ beta 2 Antibody - BSA Free

Immunohistochemistry: ATPase Na+/K+ beta 2 Antibody - BSA Free [NBP3-47924] -

Immunohistochemistry: ATPase Na+/K+ beta 2 Antibody - BSA Free [NBP3-47924] - Immunohistochemistry of paraffin-embedded human brain slide using (ATPase Na+/K+ beta 2 Antibody) at dilution of 1:50

Applications for ATPase Na+/K+ beta 2 Antibody - BSA Free

Application
Recommended Usage

Immunohistochemistry

1:20-1:200

Western Blot

1:500-1:2000
Application Notes
Theoretical Molecular Weight is 45-65 kDa

Formulation, Preparation, and Storage

Purification

Immunogen affinity purified

Formulation

PBS, 50% Glycerol, pH (7.3)

Format

BSA Free

Preservative

0.02% Sodium Azide

Concentration

Please see the vial label for concentration. If unlisted please contact technical services.

Shipping

The product is shipped with polar packs. Upon receipt, store it immediately at the temperature recommended below.

Stability & Storage

Store at -20C. Avoid freeze-thaw cycles.

Background: ATPase Na+/K+ beta 2

ATPase Na+/ K+ beta 2 is encoded by this gene belongs to the family of Na+/K+ and H+/K+ ATPases beta chain proteins, and to the subfamily of Na+/K+ -ATPases. Na+/K+ -ATPase is an integral membrane protein responsible for establishing and maintaining the electrochemical gradients of Na and K ions across the plasma membrane. These gradients are essential for osmoregulation, for sodium-coupled transport of a variety of organic and inorganic molecules, and for electrical excitability of nerve and muscle. This enzyme is composed of two subunits, a large catalytic subunit (alpha) and a smaller glycoprotein subunit (beta). The beta subunit regulates, through assembly of alpha/beta heterodimers, the number of sodium pumps transported to the plasma membrane. The glycoprotein subunit of Na+/K+ -ATPase is encoded by multiple genes. This gene encodes a beta 2 subunit. [provided by RefSeq]

Long Name

Sodium/potassium-transporting ATPase subunit beta-2

Alternate Names

AMOG, ATP1B2

Gene Symbol

ATP1B2

Additional ATPase Na+/K+ beta 2 Products

Product Documents for ATPase Na+/K+ beta 2 Antibody - BSA Free

Certificate of Analysis

To download a Certificate of Analysis, please enter a lot number in the search box below.

Product Specific Notices for ATPase Na+/K+ beta 2 Antibody - BSA Free

This product is for research use only and is not approved for use in humans or in clinical diagnosis. Primary Antibodies are guaranteed for 1 year from date of receipt.

Loading...
Loading...
Loading...
Loading...