ATPase Na+/K+ beta 2 Antibody - BSA Free
Novus Biologicals, part of Bio-Techne | Catalog # NBP1-90174
Key Product Details
Validated by
Orthogonal Validation
Species Reactivity
Validated:
Human
Predicted:
Mouse (96%), Rat (98%). Backed by our 100% Guarantee.
Applications
Immunohistochemistry, Immunohistochemistry-Paraffin
Label
Unconjugated
Antibody Source
Polyclonal Rabbit IgG
Format
BSA Free
Concentration
Concentrations vary lot to lot. See vial label for concentration. If unlisted please contact technical services.
Product Specifications
Immunogen
This antibody was developed against Recombinant Protein corresponding to amino acids: TVSDHTPKYQDRLATPGLMIRPKTENLDVIVNVSDTESWDQHVQKLNKFLEPYNDSIQAQKNDVCRPGRYYEQPDNGVLNYPKRACQFNRTQLGNCSGIGDST
Clonality
Polyclonal
Host
Rabbit
Isotype
IgG
Scientific Data Images for ATPase Na+/K+ beta 2 Antibody - BSA Free
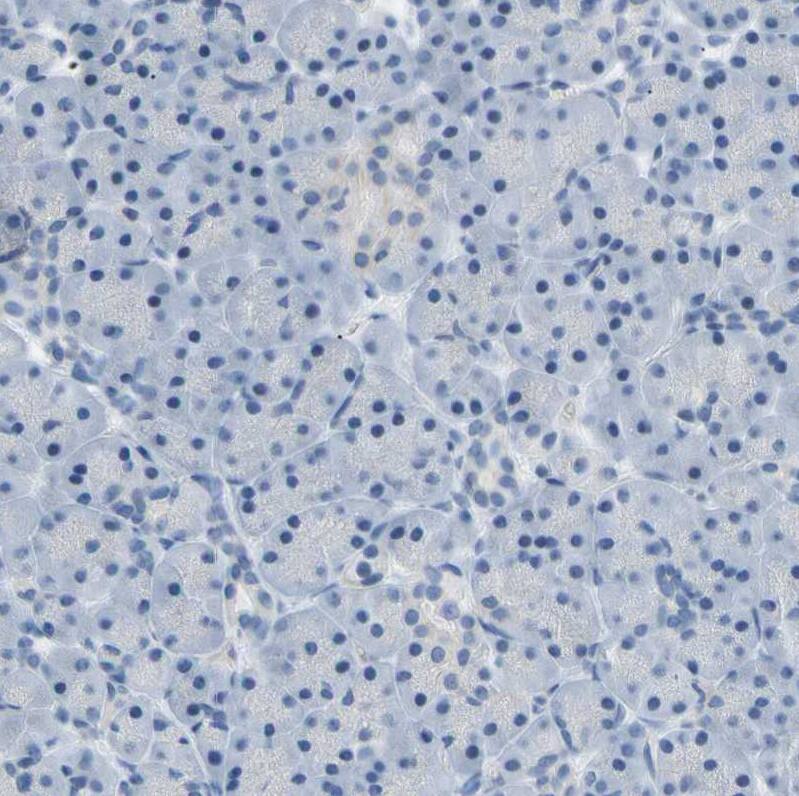
Immunohistochemistry: ATPase Na+/K+ beta 2 Antibody - BSA Free [NBP1-90174]
Staining of human cerebral cortex shows strong positivity in neuropil.Immunohistochemistry: ATPase Na+/K+ beta 2 Antibody - BSA Free [NBP1-90174]
Staining of human pancreas shows no positivity in exocrine glandular cells as expected.Applications for ATPase Na+/K+ beta 2 Antibody - BSA Free
Application
Recommended Usage
Immunohistochemistry
1:50 - 1:200
Immunohistochemistry-Paraffin
1:500 - 1:1000
Application Notes
For IHC-Paraffin, HIER pH 6 retrieval is recommended.
Formulation, Preparation, and Storage
Purification
Affinity purified
Formulation
PBS (pH 7.2) and 40% Glycerol
Format
BSA Free
Preservative
0.02% Sodium Azide
Concentration
Concentrations vary lot to lot. See vial label for concentration. If unlisted please contact technical services.
Shipping
The product is shipped with polar packs. Upon receipt, store it immediately at the temperature recommended below.
Stability & Storage
Store at 4C short term. Aliquot and store at -20C long term. Avoid freeze-thaw cycles.
Background: ATPase Na+/K+ beta 2
Long Name
Sodium/potassium-transporting ATPase subunit beta-2
Alternate Names
AMOG, ATP1B2
Gene Symbol
ATP1B2
Additional ATPase Na+/K+ beta 2 Products
Product Documents for ATPase Na+/K+ beta 2 Antibody - BSA Free
Product Specific Notices for ATPase Na+/K+ beta 2 Antibody - BSA Free
This product is for research use only and is not approved for use in humans or in clinical diagnosis. Primary Antibodies are guaranteed for 1 year from date of receipt.
Loading...
Loading...
Loading...
Loading...