Skip to main content

ATP6V1G3 Antibody - BSA Free

Novus Biologicals, part of Bio-Techne | Catalog # NBP1-88894

Novus Biologicals, part of Bio-Techne
Catalog #
Availability
Size / Price
Qty
Loading...
NBP1-88894
NBP1-88894-25ul

Key Product Details

Species Reactivity

Human

Applications

Immunohistochemistry, Immunohistochemistry-Paraffin

Label

Unconjugated

Antibody Source

Polyclonal Rabbit IgG

Format

BSA Free

Concentration

Concentrations vary lot to lot. See vial label for concentration. If unlisted please contact technical services.

Product Specifications

Immunogen

This antibody was developed against Recombinant Protein corresponding to amino acids: AKEEAMVEIDQYRMQRDKEFRLKQSKIMGSQNNLSDEIEEQTLGKIQELNGHYNKYMESVMNQLLSMVCDMKPEIHVNYR

Reactivity Notes

Immunogen displays the following percentage of sequence identity for non-tested species: Mouse (80%)

Clonality

Polyclonal

Host

Rabbit

Isotype

IgG

Scientific Data Images for ATP6V1G3 Antibody - BSA Free

Immunohistochemistry-Paraffin: ATP6V1G3 Antibody [NBP1-88894]

Immunohistochemistry-Paraffin: ATP6V1G3 Antibody [NBP1-88894]

Immunohistochemistry-Paraffin: ATP6V1G3 Antibody [NBP1-88894] - Staining of human Skin shows no positivity in squamous epithelial cells as expected.
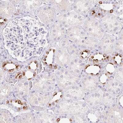
Immunohistochemistry-Paraffin: ATP6V1G3 Antibody [NBP1-88894]

Immunohistochemistry-Paraffin: ATP6V1G3 Antibody [NBP1-88894]

Immunohistochemistry-Paraffin: ATP6V1G3 Antibody [NBP1-88894] - Staining of human kidney shows high expression.
Immunohistochemistry-Paraffin: ATP6V1G3 Antibody [NBP1-88894]

Immunohistochemistry-Paraffin: ATP6V1G3 Antibody [NBP1-88894]

Immunohistochemistry-Paraffin: ATP6V1G3 Antibody [NBP1-88894] - Staining of human lymph node shows low expression as expected.

Applications for ATP6V1G3 Antibody - BSA Free

Application
Recommended Usage

Immunohistochemistry

1:10-1:500

Immunohistochemistry-Paraffin

1:1000-1:2500
Application Notes
For IHC-Paraffin, HIER pH 6 retrieval is recommended.

Formulation, Preparation, and Storage

Purification

Affinity purified

Formulation

PBS (pH 7.2) and 40% Glycerol

Format

BSA Free

Preservative

0.02% Sodium Azide

Concentration

Concentrations vary lot to lot. See vial label for concentration. If unlisted please contact technical services.

Shipping

The product is shipped with polar packs. Upon receipt, store it immediately at the temperature recommended below.

Stability & Storage

Store at 4C short term. Aliquot and store at -20C long term. Avoid freeze-thaw cycles.

Background: ATP6V1G3

ATP6V1G3 encodes a component of vacuolar ATPase (V-ATPase), a multisubunit enzyme that mediates acidification of eukaryotic intracellular organelles. V-ATPase dependent organelle acidification is necessary for such intracellular processes as protein sorting, zymogen activation, receptor-mediated endocytosis, and synaptic vesicle proton gradient generation. V-ATPase is composed of a cytosolic V1 domain and a transmembrane V0 domain. The V1 domain consists of three A and three B subunits, two G subunits plus the C, D, E, F, and H subunits. The V1 domain contains the ATP catalytic site. The V0 domain consists of five different subunits: a, c, c', c'' and d. Additional isoforms of many of the V1 and V0 subunit proteins are encoded by multiple genes or alternatively spliced transcript variants. This gene encodes one of three G subunit proteins. Transcript variants encoding different isoforms have been found for this gene. [provided by RefSeq]

Alternate Names

ATPase, H+ transporting, lysosomal 13kD, V1 subunit G isoform 3, ATPase, H+ transporting, lysosomal 13kDa, V1 subunit G isoform 3, ATPase, H+ transporting, lysosomal 13kDa, V1 subunit G3, H+ transporting, lysosomal (vacuolar proton pump) subunit G3, MGC119810, MGC119813, vacuolar ATP synthase subunit G 3, vacuolar proton pump G subunit 3, Vacuolar proton pump subunit G 3, vacuolar proton pump, subunit G3, V-ATPase 13 kDa subunit 3, V-ATPase G subunit 3, V-ATPase G3 subunit, V-ATPase subunit G 3, V-type proton ATPase subunit G 3

Gene Symbol

ATP6V1G3

Additional ATP6V1G3 Products

Product Documents for ATP6V1G3 Antibody - BSA Free

Certificate of Analysis

To download a Certificate of Analysis, please enter a lot number in the search box below.

Product Specific Notices for ATP6V1G3 Antibody - BSA Free

This product is for research use only and is not approved for use in humans or in clinical diagnosis. Primary Antibodies are guaranteed for 1 year from date of receipt.

Loading...
Loading...
Loading...
Loading...