Skip to main content

ATP6V1E1 Antibody - BSA Free

Novus Biologicals, part of Bio-Techne | Catalog # NBP2-15520

Novus Biologicals, part of Bio-Techne
Catalog #
Availability
Size / Price
Qty
Loading...
NBP2-15520

Key Product Details

Validated by

Orthogonal Validation

Species Reactivity

Validated:

Human, Mouse, Rat

Cited:

Opossum

Applications

Validated:

Immunohistochemistry, Immunohistochemistry-Paraffin, Western Blot, Immunocytochemistry/ Immunofluorescence

Cited:

Western Blot

Label

Unconjugated

Antibody Source

Polyclonal Rabbit IgG

Format

BSA Free

Concentration

Concentrations vary lot to lot. See vial label for concentration. If unlisted please contact technical services.

Product Specifications

Immunogen

Recombinant protein encompassing a sequence within the center region of human ATP6V1E1. The exact sequence is proprietary.

Reactivity Notes

Opossum reactivity reported in scientific literature (PMID: 28720662).

Clonality

Polyclonal

Host

Rabbit

Isotype

IgG

Theoretical MW

26 kDa.
Disclaimer note: The observed molecular weight of the protein may vary from the listed predicted molecular weight due to post translational modifications, post translation cleavages, relative charges, and other experimental factors.

Description

Novus Biologicals Rabbit ATP6V1E1 Antibody - BSA Free (NBP2-15520) is a polyclonal antibody validated for use in IHC, WB and ICC/IF. Anti-ATP6V1E1 Antibody: Cited in 1 publication. All Novus Biologicals antibodies are covered by our 100% guarantee.

Scientific Data Images for ATP6V1E1 Antibody - BSA Free

Immunohistochemistry-Paraffin: ATP6V1E1 Antibody [NBP2-15520]

Immunohistochemistry-Paraffin: ATP6V1E1 Antibody [NBP2-15520]

Immunohistochemistry-Paraffin: ATP6V1E1 Antibody [NBP2-15520] - Immunohistochemical analysis of paraffin-embedded Colon ca, using antibody at 1:250 dilution.
Western Blot: ATP6V1E1 Antibody [NBP2-15520]

Western Blot: ATP6V1E1 Antibody [NBP2-15520]

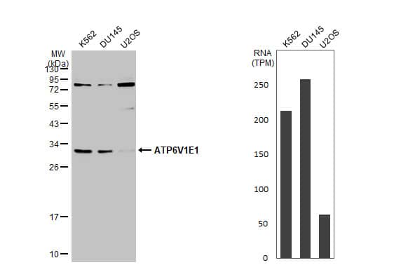
Western Blot: ATP6V1E1 Antibody [NBP2-15520] - Various tissue extracts (50 ug) were separated by 12% SDS-PAGE, and the membrane was blotted with ATP6V1E1 antibody diluted at 1:1000. HRP-conjugated anti-rabbit IgG antibody was used to detect the primary antibody.
ATP6V1E1 Antibody

Immunohistochemistry-Paraffin: ATP6V1E1 Antibody [NBP2-15520] -

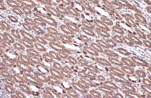
Immunohistochemistry-Paraffin: ATP6V1E1 Antibody [NBP2-15520] - ATP6V1E1 antibody detects ATP6V1E1 protein at cell membrane and cytoplasm by immunohistochemical analysis.
Sample: Paraffin-embedded mouse kidney.
ATP6V1E1 stained by ATP6V1E1 antibody (NBP2-15520) diluted at 1:500.
Antigen Retrieval: Citrate buffer, pH 6.0, 15 min

Applications for ATP6V1E1 Antibody - BSA Free

Application
Recommended Usage

Immunocytochemistry/ Immunofluorescence

1:100-1:1000

Immunohistochemistry

10 - 1:500

Immunohistochemistry-Paraffin

1:100-1:1000

Western Blot

1:500-1:3000

Formulation, Preparation, and Storage

Purification

Antigen Affinity-purified

Formulation

PBS, 20% Glycerol

Format

BSA Free

Preservative

0.025% Proclin 300

Concentration

Concentrations vary lot to lot. See vial label for concentration. If unlisted please contact technical services.

Shipping

The product is shipped with polar packs. Upon receipt, store it immediately at the temperature recommended below.

Stability & Storage

Aliquot and store at -20C or -80C. Avoid freeze-thaw cycles.

Background: ATP6V1E1

This gene encodes a component of vacuolar ATPase (V-ATPase), a multisubunit enzyme that mediates acidification of eukaryotic intracellular organelles. V-ATPase dependent organelle acidification is necessary for such intracellular processes as protein sorting, zymogen activation, receptor-mediated endocytosis, and synaptic vesicle proton gradient generation. V-ATPase is composed of a cytosolic V1 domain and a transmembrane V0 domain. The V1 domain consists of three A, three B, and two G subunits, as well as a C, D, E, F, and H subunit. The V1 domain contains the ATP catalytic site. This gene encodes alternate transcriptional splice variants, encoding different V1 domain E subunit isoforms. Pseudogenes for this gene have been found in the genome. [provided by RefSeq]

Alternate Names

ATP6E2ATP6V1E, ATP6E31kDa subunit, ATPase, H+ transporting, lysosomal (vacuolar proton pump) 31kD, ATPase, H+ transporting, lysosomal 31kDa, V1 subunit E isoform 1, ATPase, H+ transporting, lysosomal 31kDa, V1 subunit E1, H+-transporting ATP synthase chain E, vacuolar, p31, Vacuolar proton pump subunit E 1, V-ATPase 31 kDa subunit, V-ATPase subunit E 1, V-ATPase, subunit E, Vma4, V-type proton ATPase subunit E 1

Gene Symbol

ATP6V1E1

UniProt

Additional ATP6V1E1 Products

Product Documents for ATP6V1E1 Antibody - BSA Free

Certificate of Analysis

To download a Certificate of Analysis, please enter a lot number in the search box below.

Product Specific Notices for ATP6V1E1 Antibody - BSA Free

This product is for research use only and is not approved for use in humans or in clinical diagnosis. Primary Antibodies are guaranteed for 1 year from date of receipt.

Loading...
Loading...
Loading...
Loading...

⚠ WARNING: This product can expose you to chemicals including mercury, which is known to the State of California to cause reproductive toxicity with developmental effects.  For more information go to www.P65Warnings.ca.gov.