Skip to main content

ATP5I Antibody - Azide and BSA Free

Novus Biologicals, part of Bio-Techne | Catalog # NBP3-04766

Novus Biologicals, part of Bio-Techne
Catalog #
Availability
Size / Price
Qty
Loading...
NBP3-04766-100ul
NBP3-04766-20ul

Key Product Details

Species Reactivity

Human, Mouse, Rat

Applications

Immunohistochemistry, Immunohistochemistry-Paraffin, Western Blot, Immunocytochemistry/ Immunofluorescence

Label

Unconjugated

Antibody Source

Polyclonal Rabbit IgG

Format

Azide and BSA Free

Concentration

Please see the vial label for concentration. If unlisted please contact technical services.

Product Specifications

Immunogen

Recombinant fusion protein containing a sequence corresponding to amino acids 1-69 of human ATP5I (NP_009031.1). MVPPVQVSPLIKLGRYSALFLGVAYGATRYNYLKPRAEEERRIAAEEKKKQDELKRIARELAEDDSILK

Clonality

Polyclonal

Host

Rabbit

Isotype

IgG

Theoretical MW

7 kDa.
Disclaimer note: The observed molecular weight of the protein may vary from the listed predicted molecular weight due to post translational modifications, post translation cleavages, relative charges, and other experimental factors.

Description

Novus Biologicals Rabbit ATP5I Antibody - Azide and BSA Free (NBP3-04766) is a polyclonal antibody validated for use in IHC, WB and ICC/IF. All Novus Biologicals antibodies are covered by our 100% guarantee.

Scientific Data Images for ATP5I Antibody - Azide and BSA Free

Western Blot: ATP5I AntibodyAzide and BSA Free [NBP3-04766]

Western Blot: ATP5I AntibodyAzide and BSA Free [NBP3-04766]

Western Blot: ATP5I Antibody [NBP3-04766] - Analysis of extracts of various cell lines, using ATP5I antibody at 1:3000 dilution. Secondary antibody: HRP Goat Anti-Rabbit IgG (H+L) at 1:10000 dilution. Lysates/proteins: 25ug per lane. Blocking buffer: 3% nonfat dry milk in TBST. Detection: ECL Basic Kit
Immunocytochemistry/ Immunofluorescence: ATP5I Antibody - Azide and BSA Free [NBP3-04766]

Immunocytochemistry/ Immunofluorescence: ATP5I Antibody - Azide and BSA Free [NBP3-04766]

Immunocytochemistry/Immunofluorescence: ATP5I Antibody [NBP3-04766] - Analysis of U-2 OS cells using ATP5I antibody at dilution of 1:100. Blue: DAPI for nuclear staining.
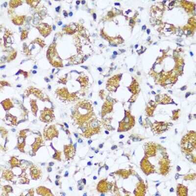
Immunohistochemistry-Paraffin: ATP5I Antibody - Azide and BSA Free [NBP3-04766]

Immunohistochemistry-Paraffin: ATP5I Antibody - Azide and BSA Free [NBP3-04766]

Immunohistochemistry-Paraffin: ATP5I Antibody [NBP3-04766] - Paraffin-embedded human stomach using ATP5I antibody at dilution of 1:100 (40x lens).

Applications for ATP5I Antibody - Azide and BSA Free

Application
Recommended Usage

Immunocytochemistry/ Immunofluorescence

1:50-1:200

Immunohistochemistry

1:50-1:200

Western Blot

1:500-1:2000

Formulation, Preparation, and Storage

Purification

Affinity purified

Formulation

PBS (pH 7.3), 50% glycerol

Format

Azide and BSA Free

Preservative

0.01% Thimerosal

Concentration

Please see the vial label for concentration. If unlisted please contact technical services.

Shipping

The product is shipped with polar packs. Upon receipt, store it immediately at the temperature recommended below.

Stability & Storage

Store at -20C. Avoid freeze-thaw cycles.

Background: ATP5I

Mitochondrial ATP synthase catalyzes ATP synthesis, utilizing an electrochemical gradient of protons across the innermembrane during oxidative phosphorylation. It is composed of two linked multi-subunit complexes: the soluble catalyticcore, F1, and the membrane-spanning component, F0, which comprises the proton channel. The F1 complex consists of 5different subunits (alpha, beta, gamma, delta, and epsilon) assembled in a ratio of 3 alpha, 3 beta, and a singlerepresentative of the other 3. The F0 seems to have nine subunits (a, b, c, d, e, f, g, F6 and 8). This gene encodesthe e subunit of the F0 complex. (provided by RefSeq)

Alternate Names

ATP synthase e chain, mitochondrial, ATP synthase subunit e, mitochondrial, ATP synthase, H+ transporting, mitochondrial F0 complex, subunit E, ATP synthase, H+ transporting, mitochondrial Fo complex, subunit E, ATP5K, ATPase subunit e, F1F0-ATP synthase, murine e subunit, MGC12532

Gene Symbol

ATP5ME

Additional ATP5I Products

Product Documents for ATP5I Antibody - Azide and BSA Free

Certificate of Analysis

To download a Certificate of Analysis, please enter a lot number in the search box below.

Product Specific Notices for ATP5I Antibody - Azide and BSA Free

This product is for research use only and is not approved for use in humans or in clinical diagnosis. Primary Antibodies are guaranteed for 1 year from date of receipt.

Loading...
Loading...
Loading...
Loading...

⚠ WARNING: This product can expose you to chemicals including Methotrexate, which is known to the State of California to cause reproductive toxicity with developmental effects. For more information, go to www.P65Warnings.ca.gov