Skip to main content

ATP5F1 Antibody - BSA Free

Novus Biologicals, part of Bio-Techne | Catalog # NBP1-91689

Novus Biologicals, part of Bio-Techne
Catalog #
Availability
Size / Price
Qty
Loading...
NBP1-91689

Key Product Details

Validated by

Orthogonal Validation, Independent Antibodies

Species Reactivity

Human

Applications

Immunohistochemistry, Immunohistochemistry-Paraffin, Western Blot

Label

Unconjugated

Antibody Source

Polyclonal Rabbit IgG

Format

BSA Free

Concentration

Concentrations vary lot to lot. See vial label for concentration. If unlisted please contact technical services.

Product Specifications

Immunogen

This antibody was developed against Recombinant Protein corresponding to amino acids: QLEEAKQASIQHIQNAIDTEKSQQALVQKRHYLFDVQRNNIAMALEVTYRERLYRVYKEVKN

Reactivity Notes

Immunogen displays the following percentage of sequence identity for non-tested species: Mouse (81%)

Clonality

Polyclonal

Host

Rabbit

Isotype

IgG

Description

Novus Biologicals Rabbit ATP5F1 Antibody - BSA Free (NBP1-91689) is a polyclonal antibody validated for use in IHC and WB. All Novus Biologicals antibodies are covered by our 100% guarantee.

Scientific Data Images for ATP5F1 Antibody - BSA Free

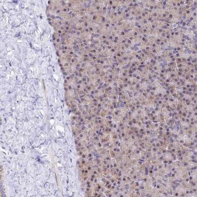
Immunohistochemistry-Paraffin: ATP5F1 Antibody [NBP1-91689]

Immunohistochemistry-Paraffin: ATP5F1 Antibody [NBP1-91689]

Immunohistochemistry-Paraffin: ATP5F1 Antibody [NBP1-91689] - Staining of human cerebral cortex, heart muscle, kidney and pancreas using Anti-ATP5F1 antibody NBP1-91689 (A) shows similar protein distribution across tissues to independent antibody NBP2-49255 (B).
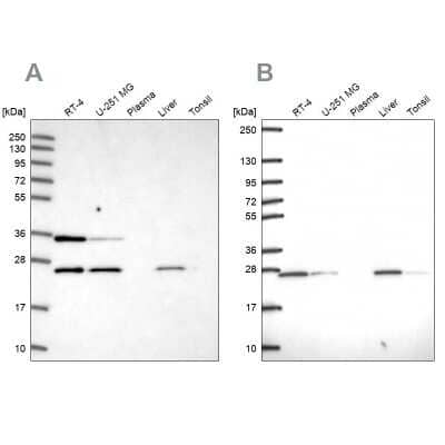
Western Blot: ATP5F1 Antibody [NBP1-91689]

Western Blot: ATP5F1 Antibody [NBP1-91689]

Western Blot: ATP5F1 Antibody [NBP1-91689] - Analysis using Anti-ATP5F1 antibody NBP1-91689 (A) shows similar pattern to independent antibody NBP2-49255 (B).
Immunohistochemistry-Paraffin: ATP5F1 Antibody [NBP1-91689]

Immunohistochemistry-Paraffin: ATP5F1 Antibody [NBP1-91689]

Immunohistochemistry-Paraffin: ATP5F1 Antibody [NBP1-91689] - Staining of human cerebral cortex.

Applications for ATP5F1 Antibody - BSA Free

Application
Recommended Usage

Immunohistochemistry

1:20 - 1:50

Immunohistochemistry-Paraffin

1:20 - 1:50

Western Blot

0.04-0.4 ug/ml
Application Notes
For IHC-Paraffin, HIER pH 6 retrieval is recommended.

Formulation, Preparation, and Storage

Purification

Affinity purified

Formulation

PBS (pH 7.2) and 40% Glycerol

Format

BSA Free

Preservative

0.02% Sodium Azide

Concentration

Concentrations vary lot to lot. See vial label for concentration. If unlisted please contact technical services.

Shipping

The product is shipped with polar packs. Upon receipt, store it immediately at the temperature recommended below.

Stability & Storage

Store at 4C short term. Aliquot and store at -20C long term. Avoid freeze-thaw cycles.

Background: ATP5F1

ATP5F1 encodes a subunit of mitochondrial ATP synthase. Mitochondrial ATP synthase catalyzes ATP synthesis, utilizing an electrochemical gradient of protons across the inner membrane during oxidative phosphorylation. ATP synthase is composed of two linked multi-subunit complexes: the soluble catalytic core, F1, and the membrane-spanning component, Fo, comprising the proton channel. The catalytic portion of mitochondrial ATP synthase consists of 5 different subunits (alpha, beta, gamma, delta, and epsilon) assembled with a stoichiometry of 3 alpha, 3 beta, and a single representative of the other 3. The proton channel seems to have nine subunits (a, b, c, d, e, f, g, F6 and 8). This gene encodes the b subunit of the proton channel. [provided by RefSeq]

Alternate Names

ATP synthase B chain, mitochondrial, ATP synthase subunit b, mitochondrial, ATP synthase, H+ transporting, mitochondrial F0 complex, subunit b, ATP synthase, H+ transporting, mitochondrial F0 complex, subunit b, isoform 1, ATP synthase, H+ transporting, mitochondrial F0 complex, subunit B1, ATP synthase, H+ transporting, mitochondrial Fo complex, subunit B1, ATPase subunit b, cell proliferation-inducing protein 47, H+-ATP synthase subunit b, MGC24431, PIG47

Gene Symbol

ATP5PB

Additional ATP5F1 Products

Product Documents for ATP5F1 Antibody - BSA Free

Certificate of Analysis

To download a Certificate of Analysis, please enter a lot number in the search box below.

Product Specific Notices for ATP5F1 Antibody - BSA Free

This product is for research use only and is not approved for use in humans or in clinical diagnosis. Primary Antibodies are guaranteed for 1 year from date of receipt.

Loading...
Loading...
Loading...
Loading...