Skip to main content

ATP5D Antibody - Azide and BSA Free

Novus Biologicals, part of Bio-Techne | Catalog # NBP3-00344

Novus Biologicals, part of Bio-Techne

Key Product Details

Species Reactivity

Human

Applications

ELISA, Immunohistochemistry, Immunohistochemistry-Paraffin, Immunoprecipitation, Western Blot

Label

Unconjugated

Antibody Source

Polyclonal Rabbit IgG

Format

Azide and BSA Free

Concentration

Please see the vial label for concentration. If unlisted please contact technical services.

Product Specifications

Immunogen

Produced in rabbits immunized with purified, recombinant Human ATP5D (Uniprot#: P30049; Ala23-Glu168).

Clonality

Polyclonal

Host

Rabbit

Isotype

IgG

Description

This antibody can be stored at 2C to 8C for one month without detectable loss of activity. Antibody products are stable for twelve months from date of receipt when stored at -20C to -80C. Avoid repeated freeze-thaw cycles.

Scientific Data Images for ATP5D Antibody - Azide and BSA Free

ATP5D Antibody - Azide and BSA Free

Immunohistochemistry-Paraffin: ATP5D Antibody [NBP3-00344] -

Immunohistochemistry-Paraffin: ATP5D Antibody [NBP3-00344] - Immunochemical staining of human ATP5D in human lung cancer with NBP3-00344 (1:5000, formalin-fixed paraffin embedded sections).
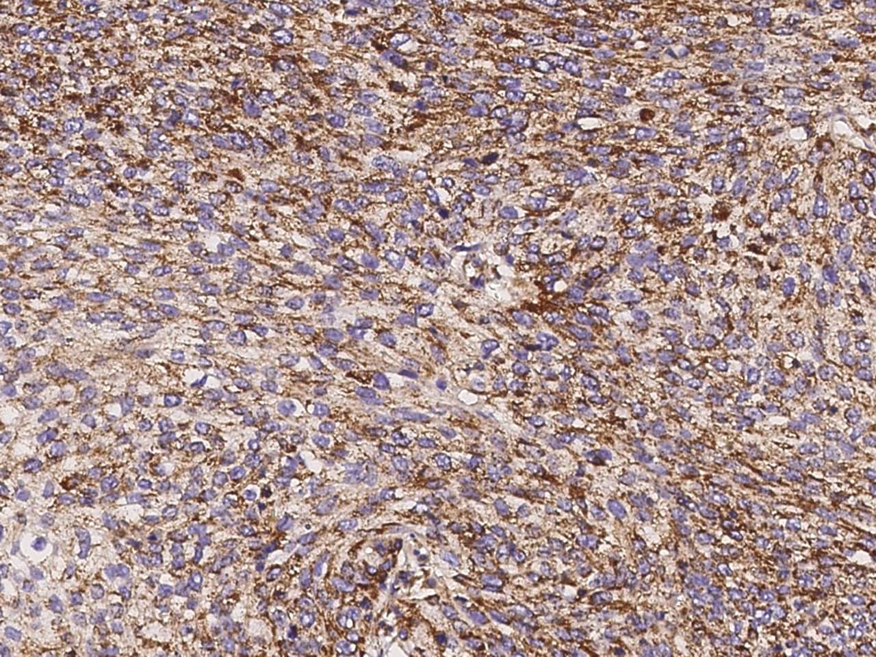
ATP5D Antibody - Azide and BSA Free

Immunohistochemistry-Paraffin: ATP5D Antibody [NBP3-00344] -

Immunohistochemistry-Paraffin: ATP5D Antibody [NBP3-00344] - Immunochemical staining of human ATP5D in human hepatoma with NBP3-00344 (1:5000, formalin-fixed paraffin embedded sections).
ATP5D Antibody - Azide and BSA Free

Western Blot: ATP5D Antibody [NBP3-00344] -

Western Blot: ATP5D Antibody [NBP3-00344] - NBP3-00344 at 1:500 dilution Lane A: HEPG2 Whole Cell Lysate Lane B: Raji Whole Cell Lysate Lane C: MOLT-4 Whole Cell Lysate Lane D: A549 Whole Cell Lysate Lysates/proteins at 30 ug per lane. Secondary Goat Anti-Rabbit IgG H&L (Dylight800) at 1/10000 dilution. Developed using the Odyssey technique. Performed under reducing conditions. Predicted band size:18 kDa Observed band size:14 kDa (We are unsure as to the identity of these extra bands.)

Applications for ATP5D Antibody - Azide and BSA Free

Application
Recommended Usage

ELISA

1:5000-1:10000

Immunohistochemistry

1:2500-1:10000

Immunohistochemistry-Paraffin

1:2500-1:10000

Immunoprecipitation

0.5-2 uL/mg of lysate

Western Blot

1:500-1:2000

Formulation, Preparation, and Storage

Purification

Antigen and protein A Affinity-purified

Formulation

0.2 um filtered solution in PBS

Format

Azide and BSA Free

Preservative

No Preservative

Concentration

Please see the vial label for concentration. If unlisted please contact technical services.

Shipping

The product is shipped with polar packs. Upon receipt, store it immediately at the temperature recommended below.

Stability & Storage

Store at 4C short term. Aliquot and store at -20C long term. Avoid freeze-thaw cycles.

Background: ATP5D

The ATP5D gene encodes a subunit of mitochondrial ATP synthase. Mitochondrial ATP synthase catalyzes ATP synthesis,utilizing an electrochemical gradient of protons across the inner membrane during oxidative phosphorylation. ATPsynthase is composed of two linke

Alternate Names

ATP synthase subunit delta, mitochondrial, ATP synthase, H+ transporting, mitochondrial F1 complex, delta subunit, F-ATPase delta subunit, mitochondrial ATP synthase complex delta-subunit precusor, mitochondrial ATP synthase, delta subunit

Gene Symbol

ATP5F1D

Additional ATP5D Products

Product Documents for ATP5D Antibody - Azide and BSA Free

Certificate of Analysis

To download a Certificate of Analysis, please enter a lot number in the search box below.

Product Specific Notices for ATP5D Antibody - Azide and BSA Free

This product is for research use only and is not approved for use in humans or in clinical diagnosis. Primary Antibodies are guaranteed for 1 year from date of receipt.

Loading...
Loading...
Loading...
Loading...