ATIC Antibody - BSA Free
Novus Biologicals, part of Bio-Techne | Catalog # NBP1-89192
Key Product Details
Validated by
Knockout/Knockdown
Species Reactivity
Human, Mouse, Rat
Applications
Immunohistochemistry, Immunohistochemistry-Paraffin, Western Blot, Immunocytochemistry/ Immunofluorescence, Knockdown Validated
Label
Unconjugated
Antibody Source
Polyclonal Rabbit IgG
Format
BSA Free
Concentration
Concentrations vary lot to lot. See vial label for concentration. If unlisted please contact technical services.
Product Specifications
Immunogen
This antibody was developed against Recombinant Protein corresponding to amino acids: ANYWWLRHHPQVLSMKFKTGVKRAEISNAIDQYVTGTIGEDEDLIKWKALFEEVPELLTEAEKKEWVEKLTEVSISSDAFFPFRDNVDRAKRSGVAYIAAPSGSAADKVVIEACDELGIILAH
Clonality
Polyclonal
Host
Rabbit
Isotype
IgG
Description
Novus Biologicals Rabbit ATIC Antibody - BSA Free (NBP1-89192) is a polyclonal antibody validated for use in IHC, WB and ICC/IF. All Novus Biologicals antibodies are covered by our 100% guarantee.
Scientific Data Images for ATIC Antibody - BSA Free
Immunocytochemistry/ Immunofluorescence: ATIC Antibody [NBP1-89192]
Immunocytochemistry/Immunofluorescence: ATIC Antibody [NBP1-89192] - Staining of human cell line A-431 shows positivity in plasma membrane and cytoplasm. Antibody staining is shown in green.Immunohistochemistry-Paraffin: ATIC Antibody [NBP1-89192]
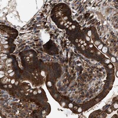
Immunohistochemistry-Paraffin: ATIC Antibody [NBP1-89192] - Staining of human colon shows strong cytoplasmic positivity in glandular cells.Applications for ATIC Antibody - BSA Free
Application
Recommended Usage
Immunocytochemistry/ Immunofluorescence
0.25-2 ug/ml
Immunohistochemistry
1:1000 - 1:2500
Immunohistochemistry-Paraffin
1:1000 - 1:2500
Western Blot
0.04-0.4 ug/ml
Application Notes
For IHC-Paraffin, HIER pH 6 retrieval is recommended. ICC/IF Fixation Permeabilization: Use PFA/Triton X-100.
Formulation, Preparation, and Storage
Purification
Affinity purified
Formulation
PBS (pH 7.2) and 40% Glycerol
Format
BSA Free
Preservative
0.02% Sodium Azide
Concentration
Concentrations vary lot to lot. See vial label for concentration. If unlisted please contact technical services.
Shipping
The product is shipped with polar packs. Upon receipt, store it immediately at the temperature recommended below.
Stability & Storage
Store at 4C short term. Aliquot and store at -20C long term. Avoid freeze-thaw cycles.
Background: ATIC
Alternate Names
5-aminoimidazole-4-carboxamide ribonucleotide formyltransferase/IMPcyclohydrolase, 5-aminoimidazole-4-carboxamide-1-beta-D-ribonucleotidetransformylase/inosinicase, AICAR, AICAR formyltransferase/IMP cyclohydrolase bifunctional enzyme, AICARFT, AICARFT/IMPCHASE, bifunctional purine biosynthesis protein PURH, IMPCHASE, phosphoribosylaminoimidazolecarboxamide formyltransferase/IMP cyclohydrolase, PURHFLJ93545
Gene Symbol
ATIC
Additional ATIC Products
Product Documents for ATIC Antibody - BSA Free
Product Specific Notices for ATIC Antibody - BSA Free
This product is for research use only and is not approved for use in humans or in clinical diagnosis. Primary Antibodies are guaranteed for 1 year from date of receipt.
Loading...
Loading...
Loading...
Loading...