Skip to main content

ATF7IP2 Antibody - BSA Free

Novus Biologicals, part of Bio-Techne | Catalog # NBP1-94028

Novus Biologicals, part of Bio-Techne
Catalog #
Availability
Size / Price
Qty
Loading...
NBP1-94028
NBP1-94028-25ul

Key Product Details

Validated by

Orthogonal Validation

Species Reactivity

Human

Applications

Immunohistochemistry, Immunohistochemistry-Paraffin

Label

Unconjugated

Antibody Source

Polyclonal Rabbit IgG

Format

BSA Free

Concentration

Concentrations vary lot to lot. See vial label for concentration. If unlisted please contact technical services.

Product Specifications

Immunogen

This antibody was developed against Recombinant Protein corresponding to amino acids: SVESPNLTTPITSNPTDTRKITSGNSSNSPNAEVMAVQKKLDSIIDLTKEGLSNCNTESPVSPLESHSKAASNSKETTPLAQNAVQVPESFEHLPPLPEPPAPL

Clonality

Polyclonal

Host

Rabbit

Isotype

IgG

Description

Novus Biologicals Rabbit ATF7IP2 Antibody - BSA Free (NBP1-94028) is a polyclonal antibody validated for use in IHC. All Novus Biologicals antibodies are covered by our 100% guarantee.

Scientific Data Images for ATF7IP2 Antibody - BSA Free

Immunohistochemistry-Paraffin: ATF7IP2 Antibody [NBP1-94028]

Immunohistochemistry-Paraffin: ATF7IP2 Antibody [NBP1-94028]

Immunohistochemistry-Paraffin: ATF7IP2 Antibody [NBP1-94028] - Staining of human pancreas shows low expression as expected.
Immunohistochemistry-Paraffin: ATF7IP2 Antibody [NBP1-94028]

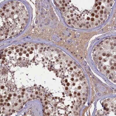
Immunohistochemistry-Paraffin: ATF7IP2 Antibody [NBP1-94028]

Immunohistochemistry-Paraffin: ATF7IP2 Antibody [NBP1-94028] - Staining of human testis shows strong nuclear positivity in cells in seminiferous ducts.
ATF7IP2 Antibody - BSA Free Immunohistochemistry: ATF7IP2 Antibody - BSA Free [NBP1-94028]

Immunohistochemistry: ATF7IP2 Antibody - BSA Free [NBP1-94028]

Analysis in human testis and pancreas tissues using Anti-ATF7IP2 antibody. Corresponding ATF7IP2 RNA-seq data are presented for the same tissues.

Applications for ATF7IP2 Antibody - BSA Free

Application
Recommended Usage

Immunohistochemistry

1:200 - 1:500

Immunohistochemistry-Paraffin

1:200 - 1:500
Application Notes
For IHC-Paraffin, HIER pH 6 retrieval is recommended.

Formulation, Preparation, and Storage

Purification

Affinity purified

Formulation

PBS (pH 7.2) and 40% Glycerol

Format

BSA Free

Preservative

0.02% Sodium Azide

Concentration

Concentrations vary lot to lot. See vial label for concentration. If unlisted please contact technical services.

Shipping

The product is shipped with polar packs. Upon receipt, store it immediately at the temperature recommended below.

Stability & Storage

Store at 4C short term. Aliquot and store at -20C long term. Avoid freeze-thaw cycles.

Background: ATF7IP2

Alternate Names

activating transcription factor 7 interacting protein 2, activating transcription factor 7-interacting protein 2

Gene Symbol

ATF7IP2

Additional ATF7IP2 Products

Product Documents for ATF7IP2 Antibody - BSA Free

Certificate of Analysis

To download a Certificate of Analysis, please enter a lot number in the search box below.

Product Specific Notices for ATF7IP2 Antibody - BSA Free

This product is for research use only and is not approved for use in humans or in clinical diagnosis. Primary Antibodies are guaranteed for 1 year from date of receipt.

Loading...
Loading...
Loading...
Loading...