Aspartyl Aminopeptidase Antibody - BSA Free
Novus Biologicals, part of Bio-Techne | Catalog # NBP1-91685
Key Product Details
Validated by
Independent Antibodies
Species Reactivity
Human, Mouse, Rat
Applications
Immunohistochemistry, Immunohistochemistry-Paraffin, Western Blot, Immunocytochemistry/ Immunofluorescence
Label
Unconjugated
Antibody Source
Polyclonal Rabbit IgG
Format
BSA Free
Concentration
Concentrations vary lot to lot. See vial label for concentration. If unlisted please contact technical services.
Product Specifications
Immunogen
This antibody was developed against Recombinant Protein corresponding to amino acids: FDRDLTLAGRVIVKCPTSGRLEQQLVHVERPILRIPHLAIHLQRNINENFGPNTEMHLVPILATAIQEELEKGTPEPGPLNAVDER
Clonality
Polyclonal
Host
Rabbit
Isotype
IgG
Scientific Data Images for Aspartyl Aminopeptidase Antibody - BSA Free
Western Blot: Aspartyl Aminopeptidase Antibody [NBP1-91685]
Western Blot: Aspartyl Aminopeptidase Antibody [NBP1-91685] - Lane 1: NIH-3T3 cell lysate (Mouse embryonic fibroblast cells). Lane 2: NBT-II cell lysate (Rat Wistar bladder tumor cells).Immunocytochemistry/ Immunofluorescence: Aspartyl Aminopeptidase Antibody [NBP1-91685]
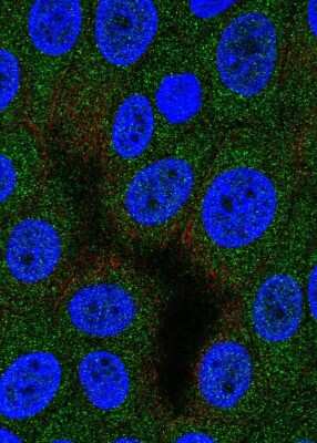
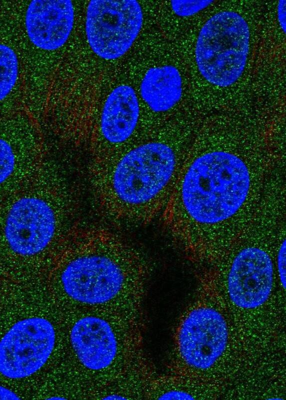
Immunocytochemistry/Immunofluorescence: Aspartyl Aminopeptidase Antibody [NBP1-91685] - Staining of human cell line MCF7 shows localization to cytosol.Immunohistochemistry-Paraffin: Aspartyl Aminopeptidase Antibody [NBP1-91685]
Immunohistochemistry-Paraffin: Aspartyl Aminopeptidase Antibody [NBP1-91685] - Staining of human cerebral cortex.Applications for Aspartyl Aminopeptidase Antibody - BSA Free
Application
Recommended Usage
Immunocytochemistry/ Immunofluorescence
0.25-2 ug/ml
Immunohistochemistry
1:200 - 1:500
Immunohistochemistry-Paraffin
1:200 - 1:500
Western Blot
0.04-0.4 ug/ml
Application Notes
For IHC-Paraffin, HIER pH 6 retrieval is recommended. ICC/IF, Fixation Permeabilization: Use PFA/Triton X-100.
Formulation, Preparation, and Storage
Purification
Affinity purified
Formulation
PBS (pH 7.2) and 40% Glycerol
Format
BSA Free
Preservative
0.02% Sodium Azide
Concentration
Concentrations vary lot to lot. See vial label for concentration. If unlisted please contact technical services.
Shipping
The product is shipped with polar packs. Upon receipt, store it immediately at the temperature recommended below.
Stability & Storage
Store at 4C short term. Aliquot and store at -20C long term. Avoid freeze-thaw cycles.
Background: Aspartyl Aminopeptidase
Alternate Names
aspartyl aminopeptidase, ASPEPDAPEC 3.4.11.21
Gene Symbol
DNPEP
Additional Aspartyl Aminopeptidase Products
Product Documents for Aspartyl Aminopeptidase Antibody - BSA Free
Product Specific Notices for Aspartyl Aminopeptidase Antibody - BSA Free
This product is for research use only and is not approved for use in humans or in clinical diagnosis. Primary Antibodies are guaranteed for 1 year from date of receipt.
Loading...
Loading...
Loading...
Loading...