Skip to main content

ASNA1 Antibody - BSA Free

Novus Biologicals, part of Bio-Techne | Catalog # NBP2-14324

Novus Biologicals, part of Bio-Techne
Catalog #
Availability
Size / Price
Qty
Loading...
NBP2-14324
NBP2-14324-25ul

Key Product Details

Species Reactivity

Validated:

Human

Predicted:

Mouse (100%), Rat (100%). Backed by our 100% Guarantee.

Applications

Immunocytochemistry/ Immunofluorescence, Immunohistochemistry, Immunohistochemistry-Paraffin, Western Blot

Label

Unconjugated

Antibody Source

Polyclonal Rabbit IgG

Format

BSA Free

Concentration

Concentrations vary lot to lot. See vial label for concentration. If unlisted please contact technical services.

Product Specifications

Immunogen

This antibody was developed against a recombinant protein corresponding to the amino acids: CIAEFLSLYETERLIQELAKCKIDTHNIIVNQLVFPDPEKPCKMCEARHKIQAKYLDQMEDLYEDFHIVKLPLLPHEVRGADKVNTFSALLLEPYK

Clonality

Polyclonal

Host

Rabbit

Isotype

IgG

Description

Novus Biologicals Rabbit ASNA1 Antibody - BSA Free (NBP2-14324) is a polyclonal antibody validated for use in IHC, WB and ICC/IF. All Novus Biologicals antibodies are covered by our 100% guarantee.

Scientific Data Images for ASNA1 Antibody - BSA Free

Western Blot: ASNA1 Antibody [NBP2-14324]

Western Blot: ASNA1 Antibody [NBP2-14324]

Western Blot: ASNA1 Antibody [NBP2-14324] - Lane 1: Marker [kDa] 250, 130, 95, 72, 55, 36, 28, 17, 10
Lane 2: Human cell line RT-4
Lane 3: Human cell line U-251MG sp
Immunocytochemistry/ Immunofluorescence: ASNA1 Antibody [NBP2-14324]

Immunocytochemistry/ Immunofluorescence: ASNA1 Antibody [NBP2-14324]

Immunocytochemistry/Immunofluorescence: ASNA1 Antibody [NBP2-14324] - Immunofluorescent staining of human cell line MCF7 shows localization to nucleus & nucleoli.
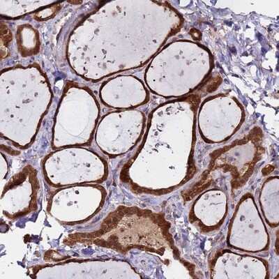
Immunohistochemistry-Paraffin: ASNA1 Antibody [NBP2-14324]

Immunohistochemistry-Paraffin: ASNA1 Antibody [NBP2-14324]

Immunohistochemistry-Paraffin: ASNA1 Antibody [NBP2-14324] - Staining of human thyroid gland shows strong cytoplasmic and nuclear positivity in glandular cells.

Applications for ASNA1 Antibody - BSA Free

Application
Recommended Usage

Immunocytochemistry/ Immunofluorescence

0.25-2 ug/ml

Immunohistochemistry

1:50 - 1:200

Immunohistochemistry-Paraffin

1:50 - 1:200

Western Blot

0.04-0.4 ug/ml
Application Notes
For IHC-Paraffin, HIER pH 6 retrieval is recommended. Immunocytochemistry/Immunofluorescence Fixation Permeabilization: Use PFA/Triton X-100.

Formulation, Preparation, and Storage

Purification

Immunogen affinity purified

Formulation

PBS (pH 7.2) and 40% Glycerol

Format

BSA Free

Preservative

0.02% Sodium Azide

Concentration

Concentrations vary lot to lot. See vial label for concentration. If unlisted please contact technical services.

Shipping

The product is shipped with polar packs. Upon receipt, store it immediately at the temperature recommended below.

Stability & Storage

Store at 4C short term. Aliquot and store at -20C long term. Avoid freeze-thaw cycles.

Background: ASNA1

ASNA1 is the human homolog of the bacterial arsA gene. In E. coli, ArsA ATPase is the catalytic component of a multisubunit oxyanion pump that is responsible for resistance to arsenicals and antimonials.[supplied by OMIM]

Alternate Names

ARSA, arsA arsenite transporter, ATP-binding, homolog 1 (bacterial), ARSA1, ARSA-I, Arsenical pump-driving ATPase, Arsenite-stimulated ATPase, ATPase ASNA1, EC 3.6, EC 3.6.3.16, GET3, golgi to ER traffic 3 homolog, hARSA-I, hASNA-I, MGC3821, Transmembrane domain recognition complex 40 kDa ATPase subunit, transmembrane domain recognition complex, 40kDa, TRC40arsA (bacterial) arsenite transporter, ATP-binding, homolog 1

Gene Symbol

GET3

Additional ASNA1 Products

Product Documents for ASNA1 Antibody - BSA Free

Certificate of Analysis

To download a Certificate of Analysis, please enter a lot number in the search box below.

Product Specific Notices for ASNA1 Antibody - BSA Free

This product is for research use only and is not approved for use in humans or in clinical diagnosis. Primary Antibodies are guaranteed for 1 year from date of receipt.

Loading...
Loading...
Loading...
Loading...