ASCL3 Antibody - BSA Free
Novus Biologicals, part of Bio-Techne | Catalog # NBP1-88635
Key Product Details
Species Reactivity
Human
Applications
Immunohistochemistry, Immunohistochemistry-Paraffin
Label
Unconjugated
Antibody Source
Polyclonal Rabbit IgG
Format
BSA Free
Concentration
Concentrations vary lot to lot. See vial label for concentration. If unlisted please contact technical services.
Product Specifications
Immunogen
This antibody was developed against Recombinant Protein corresponding to amino acids: NSSLPDKLPIFPDSARLPLTRSFYLEPMVTFHVHPEAPVSSPYSEELPRLPFPSDSLILGNYSEPCPFSFPMPYPNYRGCEYSYGP
Clonality
Polyclonal
Host
Rabbit
Isotype
IgG
Scientific Data Images for ASCL3 Antibody - BSA Free
Immunohistochemistry-Paraffin: ASCL3 Antibody [NBP1-88635]
Immunohistochemistry-Paraffin: ASCL3 Antibody [NBP1-88635] - Staining of human skeletal muscle shows moderate nuclear positivity in myocytes.Immunohistochemistry-Paraffin: ASCL3 Antibody [NBP1-88635]
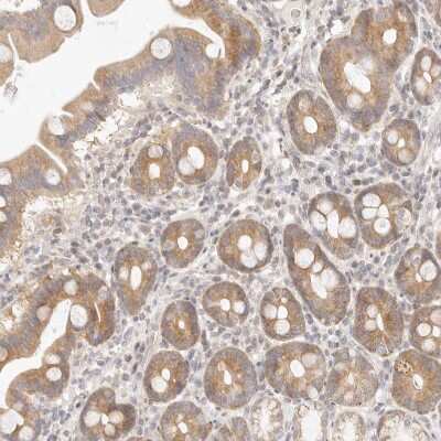
Immunohistochemistry-Paraffin: ASCL3 Antibody [NBP1-88635] - Staining of human duodenum shows moderate cytoplasmic positivity in glandular cells.Immunohistochemistry-Paraffin: ASCL3 Antibody [NBP1-88635]
Immunohistochemistry-Paraffin: ASCL3 Antibody [NBP1-88635] - Staining of human pancreas shows no positivity in exocrine glandular cells.Applications for ASCL3 Antibody - BSA Free
Application
Recommended Usage
Immunohistochemistry
1:20 - 1:50
Immunohistochemistry-Paraffin
1:20 - 1:50
Application Notes
For IHC-Paraffin, HIER pH 6 retrieval is recommended.
Formulation, Preparation, and Storage
Purification
Affinity purified
Formulation
PBS (pH 7.2) and 40% Glycerol
Format
BSA Free
Preservative
0.02% Sodium Azide
Concentration
Concentrations vary lot to lot. See vial label for concentration. If unlisted please contact technical services.
Shipping
The product is shipped with polar packs. Upon receipt, store it immediately at the temperature recommended below.
Stability & Storage
Store at 4C short term. Aliquot and store at -20C long term. Avoid freeze-thaw cycles.
Background: ASCL3
Alternate Names
achaete-scute complex homolog 3 (Drosophila), ASH-3, bHLH transcription factor Sgn-1 (Salivary Glands 1), bHLH transcriptional regulator Sgn-1, BHLHA42, bHLHa42achaete-scute homolog 3, Class A basic helix-loop-helix protein 42, hASH3, HASH3achaete-scute complex (Drosophila) homolog-like 3, SGN1
Gene Symbol
ASCL3
Additional ASCL3 Products
Product Documents for ASCL3 Antibody - BSA Free
Product Specific Notices for ASCL3 Antibody - BSA Free
This product is for research use only and is not approved for use in humans or in clinical diagnosis. Primary Antibodies are guaranteed for 1 year from date of receipt.
Loading...
Loading...
Loading...
Loading...