Skip to main content

ASB8 Antibody - BSA Free

Novus Biologicals, part of Bio-Techne | Catalog # NBP1-83620

Novus Biologicals, part of Bio-Techne
Catalog #
Availability
Size / Price
Qty
Loading...
NBP1-83620-25ul
NBP1-83620

Key Product Details

Species Reactivity

Validated:

Human

Predicted:

Mouse (100%), Rat (100%). Backed by our 100% Guarantee.

Applications

Validated:

Immunohistochemistry, Immunohistochemistry-Paraffin

Cited:

Western Blot

Label

Unconjugated

Antibody Source

Polyclonal Rabbit IgG

Format

BSA Free

Concentration

Concentrations vary lot to lot. See vial label for concentration. If unlisted please contact technical services.

Product Specifications

Immunogen

This antibody was developed against Recombinant Protein corresponding to amino acids: QSIQSKYSLSERLIRTIAAIRSFPHDNVEDLIRGGADVNCTHGTLKPLHCACMVSDADCVELLLEKGAEVNALDGYNRTALHYAAEKDEACVEVLLEYGANPNALDGNRDTPLHWAAFKNNAECVRALLESGASVNALDYNN

Clonality

Polyclonal

Host

Rabbit

Isotype

IgG

Scientific Data Images for ASB8 Antibody - BSA Free

ASB8 Antibody ASB8 Antibody

ASB8 Antibody [NBP1-83620] -Staining of human tonsil shows moderate cytoplasmic positivity in germinal and non germinal center cells.

ASB8 Antibody [NBP1-83620] -Staining of human tonsil shows moderate cytoplasmic positivity in germinal and non germinal center cells.
ASB8 Antibody ASB8 Antibody

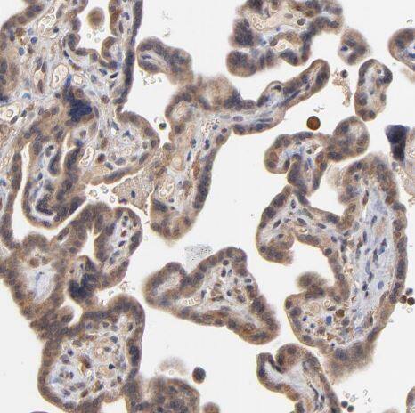
ASB8 Antibody [NBP1-83620] -Staining of human placenta shows moderate cytoplasmic positivity in trophoblastic cells

ASB8 Antibody [NBP1-83620] -Staining of human placenta shows moderate cytoplasmic positivity in trophoblastic cells
ASB8 Antibody ASB8 Antibody

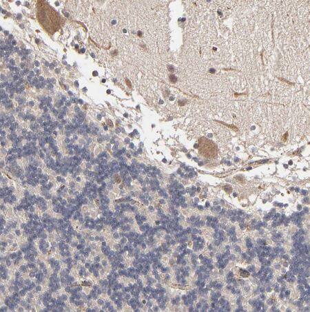
ASB8 Antibody [NBP1-83620] - Staining of human cerebellum shows moderate cytoplasmic positivity in purkinje cells.

ASB8 Antibody [NBP1-83620] - Staining of human cerebellum shows moderate cytoplasmic positivity in purkinje cells.

Applications for ASB8 Antibody - BSA Free

Application
Recommended Usage

Immunohistochemistry

1:50 - 1:200

Immunohistochemistry-Paraffin

1:50 - 1:200
Application Notes
For IHC-Paraffin, HIER pH 6 retrieval is recommended.

Formulation, Preparation, and Storage

Purification

Affinity purified

Formulation

PBS (pH 7.2) and 40% Glycerol

Format

BSA Free

Preservative

0.02% Sodium Azide

Concentration

Concentrations vary lot to lot. See vial label for concentration. If unlisted please contact technical services.

Shipping

The product is shipped with polar packs. Upon receipt, store it immediately at the temperature recommended below.

Stability & Storage

Store at 4C short term. Aliquot and store at -20C long term. Avoid freeze-thaw cycles.

Background: ASB8

ASB8 (Ankyrin repeat and SOCS box protein 8) is a 288 amino acid protein that has its highest level of expression in skeletal muscle. It is also expressed in heart, brain, placenta, liver, kidney and pancreas. ASB8 contains a SOCS box domain suggesting that it may be a substrate-recognition component of a SCF-like ECS (Elongin-Cullin-SOCS-box protein) E3 ubiquitin-protein ligase complex which mediates the ubiquitination and subsequent proteasomal degradation of target proteins. It also contains 4 ankyrin repeats which mediate protein-protein interactions and are among the most common structural motifs in known proteins.

Alternate Names

ankyrin repeat and SOCS box containing 8, ankyrin repeat and SOCS box protein 8, ankyrin repeat and SOCS box-containing 8, ASB-8, FLJ21255, MGC5540

Gene Symbol

ASB8

Additional ASB8 Products

Product Documents for ASB8 Antibody - BSA Free

Certificate of Analysis

To download a Certificate of Analysis, please enter a lot number in the search box below.

Product Specific Notices for ASB8 Antibody - BSA Free

This product is for research use only and is not approved for use in humans or in clinical diagnosis. Primary Antibodies are guaranteed for 1 year from date of receipt.

Loading...
Loading...
Loading...
Loading...