Skip to main content

ASAP1 [p Tyr782] Antibody - BSA Free

Novus Biologicals, part of Bio-Techne | Catalog # NBP1-77933

Novus Biologicals, part of Bio-Techne
Catalog #
Availability
Size / Price
Qty
Loading...
NBP1-77933

Key Product Details

Species Reactivity

Human, Mouse

Applications

Immunohistochemistry, Immunohistochemistry-Paraffin, Immunohistochemistry-Frozen, Western Blot, ELISA, Immunocytochemistry/ Immunofluorescence

Label

Unconjugated

Antibody Source

Polyclonal Rabbit IgG

Format

BSA Free

Concentration

Please see the vial label for concentration. If unlisted please contact technical services.

Product Specifications

Immunogen

This affinity purified ASAP1 [p Tyr782] Antibody was prepared from whole rabbit serum produced by repeated immunizations with a synthetic peptide corresponding to an internal region near amino acids 775-800 of mouse ASAP1 protein. (Uniprot: Q9QWY8)

Reactivity Notes

A BLAST analysis was used to suggest cross reactivity with ASAP1 proteins from human, chicken, bovine, dog, rat and chimpanzee based on 100% homology with the immunizing sequence. Reactivity against homologues from other sources is not known.

Modification

p Tyr782

Specificity

This affinity-purified antibody is directed against the phosphorylated form of mouse ASAP1 protein at the pY782 residue. The resultant affinity purified antibody was then cross-adsorbed against the non-phosphorylated form of the immunizing peptide. Reactivity occurs against mouse ASAP1 pY782 protein and the antibody is specific for the phosphorylated form of the protein. Reactivity with non-phosphorylated mouse ASAP1 is minimal by ELISA. A BLAST analysis was used to suggest cross reactivity with ASAP1 proteins from human, chicken, bovine, dog, rat and chimpanzee based on 100% homology with the immunizing sequence. Reactivity against homologues from other sources is not known.

Clonality

Polyclonal

Host

Rabbit

Isotype

IgG

Description

This affinity-purified antibody is directed against the phosphorylated form of mouse ASAP1 protein at the [p Tyr782] residue. The product was affinity purified from monospecific antiserum by immunoaffinity purification. Antiserum was first purified against the phosphorylated form of the immunizing peptide. The resultant affinity purified antibody was then cross-adsorbed against the non-phosphorylated form of the immunizing peptide

Store vial at -20C prior to opening. Aliquot contents and freeze at -20C or below for extended storage. Avoid cycles of freezing and thawing. Centrifuge product if not completely clear after standing at room temperature. This product is stable for several weeks at 4C as an undiluted liquid. Dilute only prior to immediate use.

Scientific Data Images for ASAP1 [p Tyr782] Antibody - BSA Free

Immunocytochemistry/ Immunofluorescence: ASAP1 [p Tyr782] Antibody [NBP1-77933]

Immunocytochemistry/ Immunofluorescence: ASAP1 [p Tyr782] Antibody [NBP1-77933]

Immunocytochemistry/Immunofluorescence: ASAP1 [p Tyr782] Antibody [NBP1-77933] - Analysis of phosphorylated ASAP1present in mouse NIH3T3 cells transfected with activated Src. Specific staining is not present when antibody is pre-incubated with the immunizing peptide prior to reaction with cells.
Immunohistochemistry: ASAP1 [p Tyr782] Antibody [NBP1-77933]

Immunohistochemistry: ASAP1 [p Tyr782] Antibody [NBP1-77933]

Immunohistochemistry: ASAP1 [p Tyr782] Antibody [NBP1-77933] - Used at 20 g/ml to detect signal in a variety of tissues including multi-human, multi-brain and multi-cancer slides. This image shows moderate intracellular positive staining in epidermal keratinocytes in human skin at 40X. Tissue was formalin-fixed and paraffin embedded. The image shows localization of the antibody as the precipitated red signal, with a hematoxylin purple nuclear counterstain. Personal Communication, Tina Roush, LifeSpanBiosciences, Seattle, WA.
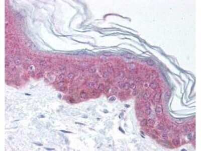
ASAP1 [p Tyr782] Antibody

ASAP1 [p Tyr782] Antibody

affinity purified anti-ASAP1 pY782 antibody was used at 20 ug/ml to detect signal in a variety of tissues including multi-human, multi-brain and multi-cancer slides. This image shows moderate intracellular positive staining in epidermal keratinocytes in human skin at 40X. Tissue was formalin-fixed and paraffin embedded. The image shows localization of the antibody as the precipitated red signal, with a hematoxylin purple nuclear counterstain. Personal Communication, Tina Roush, LifeSpan Biosciences, Seattle, WA.

Applications for ASAP1 [p Tyr782] Antibody - BSA Free

Application
Recommended Usage

ELISA

1:4000-1:16000

Immunocytochemistry/ Immunofluorescence

1:10-1:500

Immunohistochemistry

20-40 ug/ml

Immunohistochemistry-Paraffin

20 ug/ml

Western Blot

1:500-1:2000
Application Notes
This affinity purified antibody has been tested for use in ELISA, immunohistochemistry, IF microscopy and by western blot. Specific conditions for reactivity should be optimized by the end user. Expect a band approximately 130 kDa in size corresponding to phosphorylated ASAP1 protein by western blotting in the appropriate cell lysate or extract. Less than 2.5% reactivity is observed against the non-phosphorylated form of the immunizing peptide. This antibody is phospho specific for pY782 of ASAP1 protein.

Formulation, Preparation, and Storage

Purification

Immunogen affinity purified

Formulation

0.02 M Potassium Phosphate, 0.15 M Sodium Chloride, pH 7.2

Format

BSA Free

Preservative

0.01% Sodium Azide

Concentration

Please see the vial label for concentration. If unlisted please contact technical services.

Shipping

The product is shipped with polar packs. Upon receipt, store it immediately at the temperature recommended below.

Stability & Storage

Store at -20C short term. Aliquot and store at -80C long term. Avoid freeze-thaw cycles.

Background: ASAP1

ASAP1 ( Arf-Gap with SH3 domain, ANK repeat and PH domain-containing protein 1) is an Arf (ADP-ribosylation factor) GAP (GTPase-activating protein) that catalyzes the hydrolysis of GTP bound to Arf, a small GTP-binding protein. As a regulator of Arf activity ASAP1 has been shown to regulate cell adhesion and migration, and to be involved in carcinogenesis. Structurally, ASAP1 bears two ankyrin repeats, one Arf-GAP domain, one PH domain, one SH3 domain, and an N-terminal Bin, Amphiphysin and Rvs167 (BAR) domain. Alternative names for ASAP1 include PIP2-dependent ARF1 GAP, ARF GTPase-activating protein 1, development and differentiation-enhancing factor 1, differentiation-enhancing factor 1, PAP, PAG2, AMAP1, ZG14P, CENTB4, DEF-1, DDEF1, and KIAA1249.

Alternate Names

AMAP1, CENTB4, DDEF1, PAG2, ZG14P

Gene Symbol

ASAP1

Additional ASAP1 Products

Product Documents for ASAP1 [p Tyr782] Antibody - BSA Free

Certificate of Analysis

To download a Certificate of Analysis, please enter a lot number in the search box below.

Product Specific Notices for ASAP1 [p Tyr782] Antibody - BSA Free

This product is for research use only and is not approved for use in humans or in clinical diagnosis. Primary Antibodies are guaranteed for 1 year from date of receipt.

Loading...
Loading...
Loading...
Loading...