Skip to main content

ARNT/HIF-1 beta Antibody - BSA Free

Novus Biologicals, part of Bio-Techne | Catalog # NB100-110

Novus Biologicals, part of Bio-Techne
Catalog #
Availability
Size / Price
Qty
Loading...
NB100-110
NB100-110SS

Key Product Details

Species Reactivity

Validated:

Human, Mouse, Rat, Bovine, Canine, Ferret, Fish, Sheep

Cited:

Human, Mouse, Rat, Bovine, Canine, Fish

Applications

Validated:

Immunohistochemistry, Immunohistochemistry-Paraffin, Western Blot, Immunoblotting, Immunocytochemistry/ Immunofluorescence, Simple Western, Immunoprecipitation, Chromatin Immunoprecipitation (ChIP), Gel Supershift Assay

Cited:

Immunohistochemistry-Paraffin, Western Blot, Immunoblotting, Immunocytochemistry/ Immunofluorescence, Immunoprecipitation, Chromatin Immunoprecipitation, Chromatin Immunoprecipitation (ChIP), Chemotaxis, EMSA, IF/IHC

Label

Unconjugated

Antibody Source

Polyclonal Rabbit IgG

Format

BSA Free

Concentration

This product is unpurified. The exact concentration of antibody is not quantifiable.

Product Specifications

Immunogen

ARNT/HIF-1 beta Antibody was developed against a fusion protein to human HIF-1 beta containing amino acids 496-789. [UniProt# P27540]

Reactivity Notes

ARNT/HIF-1 beta antibody shows Fish reactivity as reported in scientific literature (PMID: 30334616). Canine reactivity reported in scientific literature (PMID:32885302)

Localization

Nuclear

Specificity

ARNT/HIF-1 beta Antibody is specific for HIF-1 beta/ARNT. It is not known if NB100-110 cross-reacts with ARNT2 which is related to HIF-1 beta/ARNT but is the product of a different gene.

Clonality

Polyclonal

Host

Rabbit

Isotype

IgG

Theoretical MW

86.6 kDa.
Disclaimer note: The observed molecular weight of the protein may vary from the listed predicted molecular weight due to post translational modifications, post translation cleavages, relative charges, and other experimental factors.

Description

Novus Biologicals Rabbit ARNT/HIF-1 beta Antibody - BSA Free (NB100-110) is a polyclonal antibody validated for use in IHC, WB, ICC/IF, Simple Western, IP and ChIP. Anti-ARNT/HIF-1 beta Antibody: Cited in 76 publications. All Novus Biologicals antibodies are covered by our 100% guarantee.

Scientific Data Images for ARNT/HIF-1 beta Antibody - BSA Free

ARNT-HIF-1-beta-Antibody-Chromatin-Immunoprecipitation-NB100-110-img0007.jpg
Western Blot: ARNT/HIF-1 beta Antibody [NB100-110]

Western Blot: ARNT/HIF-1 beta Antibody [NB100-110]

Western Blot: ARNT/HIF-1 beta Antibody [NB100-110] - Analysis of HIF-1 beta using ARNT/HIF-1 beta antibody [NB100-110] in MCF7 whole cell lysate. Theoretical molecular weight is 86.6 kDa. Observed molecular weight ~95 kDa.
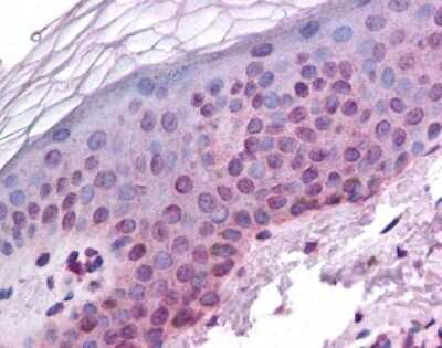
Immunohistochemistry: ARNT/HIF-1 beta Antibody [NB100-110]

Immunohistochemistry: ARNT/HIF-1 beta Antibody [NB100-110]

Immunohistochemistry: ARNT/HIF-1 beta Antibody [NB100-110] - Immunohistochemical staining of human skin epidermis with ARNT/HIF-1 beta antibody [NB100-110].

Applications for ARNT/HIF-1 beta Antibody - BSA Free

Application
Recommended Usage

Chromatin Immunoprecipitation (ChIP)

1:10-1:500

Immunohistochemistry

1:150

Immunohistochemistry-Paraffin

1:150

Immunoprecipitation

1:10-1:500

Simple Western

1:1000

Western Blot

1:2000

Reviewed Applications

Read 3 reviews rated 5 using NB100-110 in the following applications:

Formulation, Preparation, and Storage

Purification

Unpurified

Formulation

Whole antisera

Format

BSA Free

Preservative

0.02% Sodium Azide

Concentration

This product is unpurified. The exact concentration of antibody is not quantifiable.

Shipping

The product is shipped with polar packs. Upon receipt, store it immediately at the temperature recommended below.

Stability & Storage

Aliquot and store at -20C or -80C. Avoid freeze-thaw cycles.

Background: ARNT/HIF-1 beta

Aryl hydrocarbon nuclear translocator (ARNT), also commonly known as Hypoxia-inducible factor 1-beta (HIF-1 beta), is a ubiquitously expressed transcription factor that is part of the basic-helix-loop-helix (bHLH)-Per-ARNT-Sim (PAS) family (1, 2). Human arnt is located on chromosome 1q21 and encodes a protein 789 amino acids (aa) in length with a theoretical molecular weight of 87 kDa (1). Structurally, ARNT has a DNA binding bHLH domain, two PAS domains required for dimerization, and a transactivation domain/PAC region (1). ARNT belongs to the Class II bHLH-PAS proteins and is able to homodimerize or heterodimerize with the Class I proteins including AHA, AHRR, HIF-1 alpha, HIF-2 alpha, NPAS1, and SIM1 (2). Dimerization allows for efficient DNA binding and regulation of their target genes (2).

ARNT has an important role in two specific signaling pathways - the aryl hydrocarbon receptor (AhR) and the hypoxia inducible factor (HIF) pathway (1). In the AhR pathway, AhR in the cytosol is typically inactive and bound to heat shock protein 90 (hsp90) (3). Upon activation and ligand binding by environmental pollutants such as dioxins, AhR is translocated to the nucleus, dissociates from hsp90, and dimerizes with ARNT, leading to binding to response elements and expression of target genes including monooxygenases (1, 3). In the HIF pathway, under hypoxia (low oxygen) conditions prolylhydroxylase domain (PHD) enzymes and factor inhibiting HIF (FIH) are inhibited. HIF-1 alpha (or HIF-2 alpha) accumulates and is transported to the nucleus where it heterodimerizes with ARNT, allowing for binding to target gene's hypoxia response element (HRE), recruitment of coactivators, and transcription (1, 3). HIF-induced gene transcription plays a large role in tumor progression by promoting invasion, metastasis, de-differentiation and altered metabolism, and angiogenesis (1). While HIF-1 alpha's stability is dependent upon oxygen conditions, HIF-1 beta is stable in both normoxia and hypoxia (1-3).

The bHLH-PAS family and ARNT have been linked with a variety of pathologies and diseases including cancer, metabolic diseases, autoimmune diseases, and psychiatric disorders (2). ARNT/AHR is expressed in the skin and its pathway activation enhances skin barrier function and epidermal terminal differentiation, thus AHR agonists are currently being used as therapeutics for atopic dermatitis and psoriasis (4). Accordingly, studies of Arnt-deficient mice show profound abnormalities in skin barrier function and keratinization (4). Additionally, studies suggest that ARNT plays an important role in diabetes and beta-cell function (5). Islets from patients with type 2 diabetes have a significantly decreased ARNT expression compared to glucose-tolerant control donors (5). Modulation and stimulation of the HIF pathway may be a potential therapeutic strategy for treating type 2 diabetes and metabolic syndrome (5).

Alternate names for ARNT/HIF-1 beta include aryl hydrocarbon receptor nuclear translocator, BHLHE2, class E basic helix-loop-helix protein 2, Dixon receptor nuclear translocator, Hypoxia-inducible factor 1-beta, nuclear translocator, and TANGO.

References

1. Mandl, M., & Depping, R. (2014). Hypoxia-inducible aryl hydrocarbon receptor nuclear translocator (ARNT) (HIF-1beta): is it a rare exception?. Molecular medicine (Cambridge, Mass.). https://doi.org/10.2119/molmed.2014.00032

2. Wu, D., & Rastinejad, F. (2017). Structural characterization of mammalian bHLH-PAS transcription factors. Current opinion in structural biology. https://doi.org/10.1016/j.sbi.2016.09.011

3. Esser, C., & Rannug, A. (2015). The aryl hydrocarbon receptor in barrier organ physiology, immunology, and toxicology. Pharmacological reviews.https://doi.org/10.1124/pr.114.009001

4. Furue, M., Hashimoto-Hachiya, A., & Tsuji, G. (2019). Aryl Hydrocarbon Receptor in Atopic Dermatitis and Psoriasis. International journal of molecular sciences. https://doi.org/10.3390/ijms20215424

5. Girgis, C. M., Cheng, K., Scott, C. H., & Gunton, J. E. (2012). Novel links between HIFs, type 2 diabetes, and metabolic syndrome. Trends in endocrinology and metabolism: TEM, https://doi.org/10.1016/j.tem.2012.05.003

Long Name

Aryl Hydrocarbon Receptor Nuclear Translocator

Alternate Names

HIF-1 beta, HIF1 beta, TANGO

Entrez Gene IDs

405 (Human); 11863 (Mouse); 25242 (Rat)

Gene Symbol

ARNT

UniProt

Additional ARNT/HIF-1 beta Products

Product Documents for ARNT/HIF-1 beta Antibody - BSA Free

Certificate of Analysis

To download a Certificate of Analysis, please enter a lot number in the search box below.

Product Specific Notices for ARNT/HIF-1 beta Antibody - BSA Free

This product is for research use only and is not approved for use in humans or in clinical diagnosis. Primary Antibodies are guaranteed for 1 year from date of receipt.

Loading...
Loading...
Loading...
Loading...
Loading...