Skip to main content

ArgRS Antibody - BSA Free

Novus Biologicals, part of Bio-Techne | Catalog # NBP2-31923

Novus Biologicals, part of Bio-Techne
Catalog #
Availability
Size / Price
Qty
Loading...
NBP2-31923
NBP2-31923-25ul

Key Product Details

Species Reactivity

Human

Applications

Immunohistochemistry, Immunohistochemistry-Paraffin, Immunocytochemistry/ Immunofluorescence

Label

Unconjugated

Antibody Source

Polyclonal Rabbit IgG

Format

BSA Free

Concentration

Concentrations vary lot to lot. See vial label for concentration. If unlisted please contact technical services.

Product Specifications

Immunogen

This antibody was developed against a recombinant protein corresponding to amino acids: AQEFFQRLELGDVQALSLWQKFRDLSIEEYIRVYKRLGVYFDEYSGESFYREKSQEVLKLLESKGLLLKTIKG

Reactivity Notes

Immunogen displays the following percentage of sequence identity for non-tested species: Mouse (81%), Rat (82%)

Clonality

Polyclonal

Host

Rabbit

Isotype

IgG

Description

Novus Biologicals Rabbit ArgRS Antibody - BSA Free (NBP2-31923) is a polyclonal antibody validated for use in IHC and ICC/IF. All Novus Biologicals antibodies are covered by our 100% guarantee.

Scientific Data Images for ArgRS Antibody - BSA Free

Immunocytochemistry/ Immunofluorescence: ArgRS Antibody [NBP2-31923]

Immunocytochemistry/ Immunofluorescence: ArgRS Antibody [NBP2-31923]

Immunocytochemistry/Immunofluorescence: ArgRS Antibody [NBP2-31923] - Immunofluorescent staining of human cell line U-2 OS shows localization to nuclear bodies & cytosol.
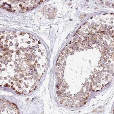
Immunohistochemistry: ArgRS Antibody [NBP2-31923]

Immunohistochemistry: ArgRS Antibody [NBP2-31923]

Immunohistochemistry: ArgRS Antibody [NBP2-31923] - Staining of human testis shows distinct cytoplasmic positivity in a subset of cells in seminiferus ducts.

Applications for ArgRS Antibody - BSA Free

Application
Recommended Usage

Immunocytochemistry/ Immunofluorescence

0.25-2 ug/ml

Immunohistochemistry

1:50 - 1:200

Immunohistochemistry-Paraffin

1:50 - 1:200
Application Notes
For IHC-Paraffin, HIER pH 6 retrieval is recommended. Immunocytochemistry/Immunofluorescence Fixation Permeabilization: Use PFA/Triton X-100.

Formulation, Preparation, and Storage

Purification

Affinity purified

Formulation

PBS (pH 7.2) and 40% Glycerol

Format

BSA Free

Preservative

0.02% Sodium Azide

Concentration

Concentrations vary lot to lot. See vial label for concentration. If unlisted please contact technical services.

Shipping

The product is shipped with polar packs. Upon receipt, store it immediately at the temperature recommended below.

Stability & Storage

Store at 4C short term. Aliquot and store at -20C long term. Avoid freeze-thaw cycles.

Background: ArgRS

ArgRS is encoded by this gene is an arginyl-tRNA synthetase that is found in the mitochondrial matrix. Defects in this gene are a cause of pontocerebellar hypoplasia type 6 (PCH6). [provided by RefSeq]

Alternate Names

arginine-tRNA ligase, arginyl-tRNA synthetase 2, mitochondrial, Arginyl-tRNA synthetase-like, ArgRS, DALRD2, dJ382I10.6, EC 6.1.1.19, MGC14993, MGC23778, PCH6, PRO1992, probable arginyl-tRNA synthetase, mitochondrial, RARSLArginine--tRNA ligase

Gene Symbol

RARS2

UniProt

Additional ArgRS Products

Product Documents for ArgRS Antibody - BSA Free

Certificate of Analysis

To download a Certificate of Analysis, please enter a lot number in the search box below.

Product Specific Notices for ArgRS Antibody - BSA Free

This product is for research use only and is not approved for use in humans or in clinical diagnosis. Primary Antibodies are guaranteed for 1 year from date of receipt.

Loading...
Loading...
Loading...
Loading...