Skip to main content

Argonaute 3 Antibody (8E0O6)

Novus Biologicals, part of Bio-Techne | Catalog # NBP3-15939

Recombinant Monoclonal Antibody
Novus Biologicals, part of Bio-Techne
Catalog #
Availability
Size / Price
Qty
Loading...
NBP3-15939-100ul
NBP3-15939-20ul

Key Product Details

Species Reactivity

Human, Mouse, Rat

Applications

Immunohistochemistry, Immunohistochemistry-Paraffin, Western Blot

Label

Unconjugated

Antibody Source

Recombinant Monoclonal Rabbit IgG Clone # 8E0O6 expressed in HEK293

Concentration

Please see the vial label for concentration. If unlisted please contact technical services.

Product Specifications

Immunogen

Recombinant fusion protein containing a sequence corresponding to amino acids 721-860 of human Argonaute 3 (Q9H9G7). RTERVGRSGNIPAGTTVDTDITHPYEFDFYLCSHAGIQGTSRPSHYHVLWDDNCFTADELQLLTYQLCHTYVRCTRSVSIPAPAYYAHLVAFRARYHLVDKEHDSAEGSHVSGQSNGRDPQALAKAVQIHQDTLRTMYFA

Clonality

Monoclonal

Host

Rabbit

Isotype

IgG

Description

Novus Biologicals Rabbit Argonaute 3 Antibody (8E0O6) (NBP3-15939) is a recombinant monoclonal antibody validated for use in IHC and WB. All Novus Biologicals antibodies are covered by our 100% guarantee.

Scientific Data Images for Argonaute 3 Antibody (8E0O6)

Western Blot: Argonaute 3 Antibody (8E0O6) [NBP3-15939]

Western Blot: Argonaute 3 Antibody (8E0O6) [NBP3-15939]

Western Blot: Argonaute 3 Antibody (8E0O6) [NBP3-15939] - Western blot analysis of extracts of various cell lines, using Argonaute 3 Rabbit mAb (NBP3-15939) at 1:1000 dilution. Secondary antibody: HRP Goat Anti-Rabbit IgG (H+L) at 1:10000 dilution. Lysates/proteins: 25ug per lane. Blocking buffer: 3% nonfat dry milk in TBST. Detection: ECL Basic Kit. Exposure time: 180s.
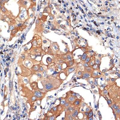
Immunohistochemistry-Paraffin: Argonaute 3 Antibody (8E0O6) [NBP3-15939]

Immunohistochemistry-Paraffin: Argonaute 3 Antibody (8E0O6) [NBP3-15939]

Immunohistochemistry-Paraffin: Argonaute 3 Antibody (8E0O6) [NBP3-15939] - Immunohistochemistry of paraffin-embedded human lung cancer using Argonaute 3 Rabbit mAb (NBP3-15939) at dilution of 1:100 (40x lens).Perform microwave antigen retrieval with 10 mM Tris/EDTA buffer pH 9.0 before commencing with IHC staining protocol.

Applications for Argonaute 3 Antibody (8E0O6)

Application
Recommended Usage

Immunohistochemistry

1:50 - 1:200

Western Blot

1:500 - 1:2000

Formulation, Preparation, and Storage

Purification

Affinity purified

Formulation

PBS (pH 7.3), 50% glycerol, 0.05% BSA

Preservative

0.02% Sodium Azide

Concentration

Please see the vial label for concentration. If unlisted please contact technical services.

Shipping

The product is shipped with polar packs. Upon receipt, store it immediately at the temperature recommended below.

Stability & Storage

Store at -20C. Avoid freeze-thaw cycles.

Background: Argonaute 3

Argonaute 3 encodes a member of the Argonaute family of proteins which play a role in RNA interference. The encoded protein is highly basic, contains a PAZ domain and a PIWI domain, and may play a role in short-interfering-RNA-mediated gene silencing. This gene is located on chromosome 1 in a tandem cluster of closely related family members including argonaute 4 and eukaryotic translation initiation factor 2C, 1. Two transcript variants encoding distinct isoforms have been identified for this gene. [provided by RefSeq]

Alternate Names

AGO3argonaute 3, Argonaute3, eIF2C 3, eIF-2C 3, Eukaryotic translation initiation factor 2C 3, eukaryotic translation initiation factor 2C, 3, FLJ12765, hAgo3, MGC86946, protein argonaute-3

Gene Symbol

AGO3

Additional Argonaute 3 Products

Product Documents for Argonaute 3 Antibody (8E0O6)

Certificate of Analysis

To download a Certificate of Analysis, please enter a lot number in the search box below.

Product Specific Notices for Argonaute 3 Antibody (8E0O6)

This product is for research use only and is not approved for use in humans or in clinical diagnosis. Primary Antibodies are guaranteed for 1 year from date of receipt.

Loading...
Loading...
Loading...
Loading...