Arginyl tRNA synthetase Antibody - BSA Free
Novus Biologicals, part of Bio-Techne | Catalog # NBP3-38241
Key Product Details
Species Reactivity
Human, Mouse, Rat
Applications
ELISA, Immunocytochemistry/ Immunofluorescence, Immunohistochemistry, Immunohistochemistry-Paraffin, Western Blot
Label
Unconjugated
Antibody Source
Polyclonal Rabbit IgG
Format
BSA Free
Concentration
Please see the vial label for concentration. If unlisted please contact technical services.
Product Specifications
Immunogen
Recombinant fusion protein containing a sequence corresponding to amino acids 1-300 of human Arginyl tRNA synthetase (NP_002878.2).
Sequence:
MDVLVSECSARLLQQEEEIKSLTAEIDRLKNCGCLGASPNLEQLQEENLKLKYRLNILRKSLQAERNKPTKNMINIISRLQEVFGHAIKAAYPDLENPPLLVTPSQQAKFGDYQCNSAMGISQMLKTKEQKVNPREIAENITKHLPDNECIEKVEIAGPGFINVHLRKDFVSEQLTSLLVNGVQLPALGENKKVIVDFSSPNIAKEMHVGHLRSTIIGESISRLFEFAGYDVLRLNHVGDWGTQFGMLIAHLQDKFPDYLTVSPPIGDLQVFYKESKKRFDTEEEFKKRAYQCVVLLQGK
Sequence:
MDVLVSECSARLLQQEEEIKSLTAEIDRLKNCGCLGASPNLEQLQEENLKLKYRLNILRKSLQAERNKPTKNMINIISRLQEVFGHAIKAAYPDLENPPLLVTPSQQAKFGDYQCNSAMGISQMLKTKEQKVNPREIAENITKHLPDNECIEKVEIAGPGFINVHLRKDFVSEQLTSLLVNGVQLPALGENKKVIVDFSSPNIAKEMHVGHLRSTIIGESISRLFEFAGYDVLRLNHVGDWGTQFGMLIAHLQDKFPDYLTVSPPIGDLQVFYKESKKRFDTEEEFKKRAYQCVVLLQGK
Clonality
Polyclonal
Host
Rabbit
Isotype
IgG
Theoretical MW
75 kDa.
Disclaimer note: The observed molecular weight of the protein may vary from the listed predicted molecular weight due to post translational modifications, post translation cleavages, relative charges, and other experimental factors.
Disclaimer note: The observed molecular weight of the protein may vary from the listed predicted molecular weight due to post translational modifications, post translation cleavages, relative charges, and other experimental factors.
Description
Novus Biologicals Rabbit Arginyl tRNA synthetase Antibody - BSA Free (NBP3-38241) is a polyclonal antibody validated for use in IHC, WB, ELISA and ICC/IF. All Novus Biologicals antibodies are covered by our 100% guarantee.
Scientific Data Images for Arginyl tRNA synthetase Antibody - BSA Free
Western Blot: Arginyl tRNA synthetase Antibody [NBP3-38241] -
Western Blot: Arginyl tRNA synthetase Antibody [NBP3-38241] - Western blot analysis of various lysates, using Arginyl tRNA synthetase Rabbit pAb at 1:1000 dilution.Secondary antibody: HRP-conjugated Goat anti-Rabbit IgG (H+L) at 1:10000 dilution.
Lysates/proteins: 25ug per lane.
Blocking buffer: 3% nonfat dry milk in TBST.
Detection: ECL Basic Kit.
Exposure time: 60s.
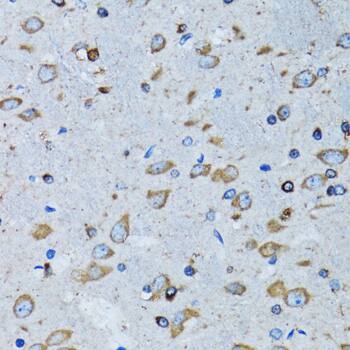
Immunohistochemistry: Arginyl tRNA synthetase Antibody [NBP3-38241] -
Immunohistochemistry: Arginyl tRNA synthetase Antibody [NBP3-38241] - Immunohistochemistry analysis of paraffin-embedded Human lung cancer using Arginyl tRNA synthetase Rabbit pAb at dilution of 1:100 (40x lens). Microwave antigen retrieval performed with 0.01M PBS Buffer (pH 7.2) prior to IHC staining.Immunohistochemistry: Arginyl tRNA synthetase Antibody [NBP3-38241] -
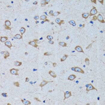
Immunohistochemistry: Arginyl tRNA synthetase Antibody [NBP3-38241] - Immunohistochemistry analysis of paraffin-embedded Mouse brain using Arginyl tRNA synthetase Rabbit pAb at dilution of 1:100 (40x lens). Microwave antigen retrieval performed with 0.01M PBS Buffer (pH 7.2) prior to IHC staining.Applications for Arginyl tRNA synthetase Antibody - BSA Free
Application
Recommended Usage
Immunocytochemistry/ Immunofluorescence
1:10 - 1:100
Immunohistochemistry-Paraffin
1:50 - 1:200
Western Blot
1:500 - 1:1000
Formulation, Preparation, and Storage
Purification
Affinity purified
Formulation
PBS (pH 7.3), 50% glycerol
Format
BSA Free
Preservative
0.02% Sodium Azide
Concentration
Please see the vial label for concentration. If unlisted please contact technical services.
Shipping
The product is shipped with polar packs. Upon receipt, store it immediately at the temperature recommended below.
Stability & Storage
Store at -20C. Avoid freeze-thaw cycles.
Background: Arginyl tRNA synthetase
Alternate Names
arginine tRNA ligase 1, cytoplasmic, Arginine--tRNA ligase, arginyl-tRNA synthetase, arginyl-tRNA synthetase, cytoplasmic, ArgRS, DALRD1, EC 6.1.1.19, MGC8641
Gene Symbol
RARS1
Additional Arginyl tRNA synthetase Products
Product Documents for Arginyl tRNA synthetase Antibody - BSA Free
Product Specific Notices for Arginyl tRNA synthetase Antibody - BSA Free
This product is for research use only and is not approved for use in humans or in clinical diagnosis. Primary Antibodies are guaranteed for 1 year from date of receipt.
Loading...
Loading...
Loading...
Loading...