Skip to main content

Argininosuccinate Synthase Antibody (11F1-RA)

Novus Biologicals, part of Bio-Techne | Catalog # NBP3-32051

Recombinant Monoclonal Antibody
Novus Biologicals, part of Bio-Techne
Catalog #
Availability
Size / Price
Qty
Loading...
NBP3-32051

Key Product Details

Species Reactivity

Human, Mouse, Rat

Applications

Immunohistochemistry, Immunohistochemistry-Paraffin, Western Blot, Immunocytochemistry/ Immunofluorescence

Label

Unconjugated

Antibody Source

Recombinant Monoclonal Mouse IgG2B Clone # 11F1-RA expressed in HEK293

Concentration

1 mg/ml

Product Specifications

Immunogen

Recombinant protein within Human Argininosuccinate Synthase aa 1-412 / 412. (Uniprot: P00966)

Localization

Cytoplasm

Clonality

Monoclonal

Host

Mouse

Isotype

IgG2B

Theoretical MW

47 kDa.
Disclaimer note: The observed molecular weight of the protein may vary from the listed predicted molecular weight due to post translational modifications, post translation cleavages, relative charges, and other experimental factors.

Description

Novus Biologicals Mouse Argininosuccinate Synthase Antibody (11F1-RA) (NBP3-32051) is a recombinant monoclonal antibody validated for use in IHC, WB and ICC/IF. All Novus Biologicals antibodies are covered by our 100% guarantee.

Scientific Data Images for Argininosuccinate Synthase Antibody (11F1-RA)

Argininosuccinate Synthase Antibody (11F1-RA)

Western Blot: Argininosuccinate Synthase Antibody (11F1-RA) [NBP3-32051]

Western Blot: Argininosuccinate Synthase Antibody (11F1-RA) [NBP3-32051] - Western blot analysis of Argininosuccinate Synthase on different lysates with Mouse anti-Argininosuccinate Synthase antibody (NBP3-32051) at 1/5,000 dilution.

Lane 1: HepG2 cell lysate (10 ug/Lane)
Lane 2: THP-1 cell lysate (10 ug/Lane)
Lane 3: SiHa cell lysate (10 ug/Lane)
Lane 4: Rat kidney tissue lysate (20 ug/Lane)

Predicted band size: 47 kDa
Observed band size: 47 kDa

Exposure time: 1 minute;

12% SDS-PAGE gel.

Proteins were transferred to a PVDF membrane and blocked with 5% NFDM/TBST for 1 hour at room temperature. The primary antibody (NBP3-32051) at 1/5,000 dilution was used in 5% NFDM/TBST at room temperature for 2 hours. Goat Anti-Mouse IgG - HRP Secondary Antibody at 1:150,000 dilution was used for 1 hour at room temperature.
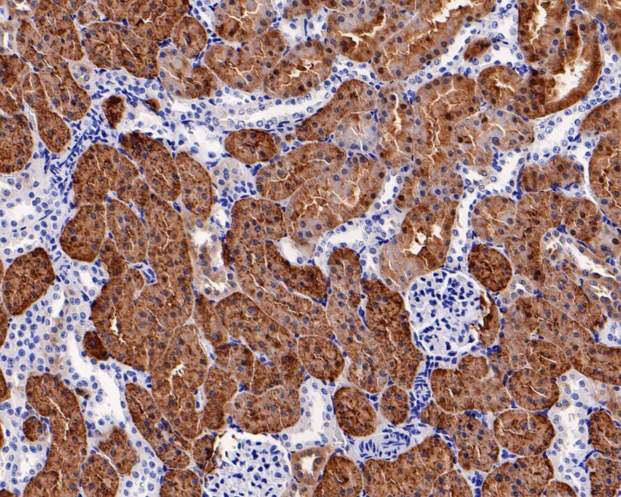
Argininosuccinate Synthase Antibody (11F1-RA)

Immunohistochemistry: Argininosuccinate Synthase Antibody (11F1-RA) [NBP3-32051]

Immunohistochemistry: Argininosuccinate Synthase Antibody (11F1-RA) [NBP3-32051] - Immunohistochemical analysis of paraffin-embedded rat kidney tissue with Mouse anti-Argininosuccinate Synthase antibody (NBP3-32051) at 1/1,000 dilution.

The section was pre-treated using heat mediated antigen retrieval with Tris-EDTA buffer (pH 9.0) for 20 minutes. The tissues were blocked in 1% BSA for 20 minutes at room temperature, washed with ddH2O and PBS, and then probed with the primary antibody (NBP3-32051) at 1/1,000 dilution for 1 hour at room temperature. The detection was performed using an HRP conjugated compact polymer system. DAB was used as the chromogen. Tissues were counterstained with hematoxylin and mounted with DPX.
Argininosuccinate Synthase Antibody (11F1-RA)

Immunocytochemistry/ Immunofluorescence: Argininosuccinate Synthase Antibody (11F1-RA) [NBP3-32051]

Immunocytochemistry/ Immunofluorescence: Argininosuccinate Synthase Antibody (11F1-RA) [NBP3-32051] - Immunocytochemistry analysis of MCF-7 cells labeling Argininosuccinate Synthase with Mouse anti-Argininosuccinate Synthase antibody (NBP3-32051) at 1/200 dilution.

Cells were fixed in 4% paraformaldehyde for 30 minutes, permeabilized with 0.05% Triton X-100 in PBS for 20 minutes, and then blocked with 2% negative goat serum for 30 minutes at room temperature. Cells were then incubated with Mouse anti-Argininosuccinate Synthase antibody (NBP3-32051) at 1/200 dilution in 2% negative goat serum overnight at 4 ℃. Goat Anti-Mouse IgG H&L (iFluor™ 488) was used as the secondary antibody at 1/1,000 dilution. Nuclear DNA was labelled in blue with DAPI.

beta Tubulin (red) was stained at 1/100 dilution overnight at +4℃. Goat Anti-Rabbit IgG H&L (iFluor™ 594) were used as the secondary antibody at 1/1,000 dilution.

Applications for Argininosuccinate Synthase Antibody (11F1-RA)

Application
Recommended Usage

Immunocytochemistry/ Immunofluorescence

1:200

Immunohistochemistry-Paraffin

1:1000

Western Blot

1:5000-1:20000

Formulation, Preparation, and Storage

Purification

Protein A purified

Formulation

PBS (pH7.4), 0.1% BSA and 40% Glycerol

Preservative

0.05% Sodium Azide

Concentration

1 mg/ml

Shipping

The product is shipped with polar packs. Upon receipt, store it immediately at the temperature recommended below.

Stability & Storage

Store at 4C short term. Aliquot and store at -20C long term. Avoid freeze-thaw cycles.

Background: Argininosuccinate Synthase

Argininosuccinate Synthase is encoded by this gene catalyzes the penultimate step of the arginine biosynthetic pathway. There are approximately 10 to 14 copies of this gene including the pseudogenes scattered across the human genome, among which the one located on chromosome 9 appears to be the only functional gene for argininosuccinate synthetase. Mutations in the chromosome 9 copy of Argininosuccinate Synthase cause citrullinemia. Two transcript variants encoding the same protein have been found for this gene. [provided by RefSeq]

Alternate Names

argininosuccinate synthase, argininosuccinate synthase 1, argininosuccinate synthetase, argininosuccinate synthetase 1, ASSCTLN1, citrulline-aspartate ligase, Citrulline--aspartate ligase, EC 6.3.4.5

Gene Symbol

ASS1

Additional Argininosuccinate Synthase Products

Product Documents for Argininosuccinate Synthase Antibody (11F1-RA)

Certificate of Analysis

To download a Certificate of Analysis, please enter a lot number in the search box below.

Product Specific Notices for Argininosuccinate Synthase Antibody (11F1-RA)

This product is for research use only and is not approved for use in humans or in clinical diagnosis. Primary Antibodies are guaranteed for 1 year from date of receipt.

Loading...
Loading...
Loading...
Loading...