Skip to main content

Argininosuccinate Lyase Antibody - BSA Free

Novus Biologicals, part of Bio-Techne | Catalog # NBP3-38249

Novus Biologicals, part of Bio-Techne
Catalog #
Availability
Size / Price
Qty
Loading...
NBP3-38249-20ul
NBP3-38249-100ul

Key Product Details

Species Reactivity

Human, Mouse, Rat

Applications

Immunohistochemistry, Immunohistochemistry-Paraffin, Western Blot, ELISA, Immunocytochemistry/ Immunofluorescence

Label

Unconjugated

Antibody Source

Polyclonal Rabbit IgG

Format

BSA Free

Concentration

Please see the vial label for concentration. If unlisted please contact technical services.

Product Specifications

Immunogen

Recombinant fusion protein containing a sequence corresponding to amino acids 289-464 of human Argininosuccinate Lyase (NP_000039.2).

Sequence:
NPDSLELIRSKAGRVFGRCAGLLMTLKGLPSTYNKDLQEDKEAVFEVSDTMSAVLQVATGVISTLQIHQENMGQALSPDMLATDLAYYLVRKGMPFRQAHEASGKAVFMAETKGVALNQLSLQELQTISPLFSGDVICVWDYGHSVEQYGALGGTARSSVDWQIRQVRALLQAQQA

Clonality

Polyclonal

Host

Rabbit

Isotype

IgG

Theoretical MW

52 kDa.
Disclaimer note: The observed molecular weight of the protein may vary from the listed predicted molecular weight due to post translational modifications, post translation cleavages, relative charges, and other experimental factors.

Description

Novus Biologicals Rabbit Argininosuccinate Lyase Antibody - BSA Free (NBP3-38249) is a polyclonal antibody validated for use in IHC, WB, ELISA and ICC/IF. All Novus Biologicals antibodies are covered by our 100% guarantee.

Scientific Data Images for Argininosuccinate Lyase Antibody - BSA Free

Argininosuccinate Lyase Antibody

Western Blot: Argininosuccinate Lyase Antibody [NBP3-38249] -

Western Blot: Argininosuccinate Lyase Antibody [NBP3-38249] - Western blot analysis of various lysates using Argininosuccinate Lyase Rabbit pAb at 1:1000 dilution.
Secondary antibody: HRP-conjugated Goat anti-Rabbit IgG (H+L) at 1:10000 dilution.
Lysates/proteins: 25ug per lane.
Blocking buffer: 3% nonfat dry milk in TBST.
Detection: ECL Basic Kit.
Exposure time: 1s.
Argininosuccinate Lyase Antibody

Western Blot: Argininosuccinate Lyase Antibody [NBP3-38249] -

Western Blot: Argininosuccinate Lyase Antibody [NBP3-38249] - Western blot analysis of various lysates using Argininosuccinate Lyase Rabbit pAb at 1:1000 dilution.
Secondary antibody: HRP-conjugated Goat anti-Rabbit IgG (H+L) at 1:10000 dilution.
Lysates/proteins: 25ug per lane.
Blocking buffer: 3% nonfat dry milk in TBST.
Detection: ECL Basic Kit.
Exposure time: 1s.
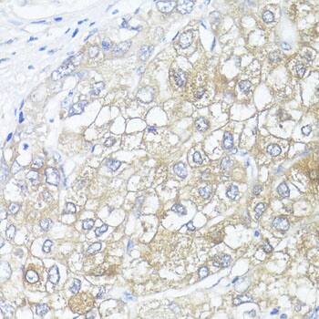
Argininosuccinate Lyase Antibody

Immunohistochemistry: Argininosuccinate Lyase Antibody [NBP3-38249] -

Immunohistochemistry: Argininosuccinate Lyase Antibody [NBP3-38249] - Immunohistochemistry analysis of paraffin-embedded Human liver cancer using Argininosuccinate Lyase Rabbit pAb at dilution of 1:100 (40x lens). Microwave antigen retrieval performed with 0.01M PBS Buffer (pH 7.2) prior to IHC staining.

Applications for Argininosuccinate Lyase Antibody - BSA Free

Application
Recommended Usage

ELISA

Recommended starting concentration is 1 ug/mL

Immunocytochemistry/ Immunofluorescence

1:50 - 1:200

Immunohistochemistry-Paraffin

1:50 - 1:200

Western Blot

1:500 - 1:1000

Formulation, Preparation, and Storage

Purification

Affinity purified

Formulation

PBS (pH 7.3), 50% glycerol

Format

BSA Free

Preservative

0.02% Sodium Azide

Concentration

Please see the vial label for concentration. If unlisted please contact technical services.

Shipping

The product is shipped with polar packs. Upon receipt, store it immediately at the temperature recommended below.

Stability & Storage

Store at -20C. Avoid freeze-thaw cycles.

Background: Argininosuccinate Lyase

Argininosuccinate Lyase encodes a member of the lyase 1 family. The encoded protein forms a cytosolic homotetramer and primarily catalyzes the reversible hydrolytic cleavage of argininosuccinate into arginine and fumarate, an essential step in the liver in detoxifying ammonia via the urea cycle. Mutations in this gene result in the autosomal recessive disorder argininosuccinic aciduria, or argininosuccinic acid lyase deficiency. A nontranscribed pseudogene is also located on the long arm of chromosome 22. Alternatively spliced transcript variants encoding different isoforms have been described.

Alternate Names

argininosuccinase, argininosuccinate lyase, Arginosuccinase, ASAL, EC 4.3.2.1

Gene Symbol

ASL

Additional Argininosuccinate Lyase Products

Product Documents for Argininosuccinate Lyase Antibody - BSA Free

Certificate of Analysis

To download a Certificate of Analysis, please enter a lot number in the search box below.

Product Specific Notices for Argininosuccinate Lyase Antibody - BSA Free

This product is for research use only and is not approved for use in humans or in clinical diagnosis. Primary Antibodies are guaranteed for 1 year from date of receipt.

Loading...
Loading...
Loading...
Loading...