Skip to main content

Arginase 1/ARG1/liver Arginase Antibody (PD00-05)

Novus Biologicals, part of Bio-Techne | Catalog # NBP3-32047

Recombinant Monoclonal Antibody
Novus Biologicals, part of Bio-Techne
Catalog #
Availability
Size / Price
Qty
Loading...
NBP3-32047

Key Product Details

Species Reactivity

Human

Applications

Immunohistochemistry, Immunohistochemistry-Paraffin, Western Blot

Label

Unconjugated

Antibody Source

Recombinant Monoclonal Rabbit IgG Clone # PD00-05 expressed in HEK293

Concentration

1 mg/ml

Product Specifications

Immunogen

Synthetic peptide within Human Arginase 1/ARG1/liver Arginase (C terminal) (Uniprot: P05089)

Localization

Cytoplasm, Cytoplasmic granule.

Clonality

Monoclonal

Host

Rabbit

Isotype

IgG

Theoretical MW

35 kDa.
Disclaimer note: The observed molecular weight of the protein may vary from the listed predicted molecular weight due to post translational modifications, post translation cleavages, relative charges, and other experimental factors.

Description

Novus Biologicals Rabbit Arginase 1/ARG1/liver Arginase Antibody (PD00-05) (NBP3-32047) is a recombinant monoclonal antibody validated for use in IHC and WB. All Novus Biologicals antibodies are covered by our 100% guarantee.

Scientific Data Images for Arginase 1/ARG1/liver Arginase Antibody (PD00-05)

Arginase 1/ARG1/liver Arginase Antibody (PD00-05)

Western Blot: Arginase 1/ARG1/liver Arginase Antibody (PD00-05) [NBP3-32047]

Western Blot: Arginase 1/ARG1/liver Arginase Antibody (PD00-05) [NBP3-32047] - Western blot analysis of Arginase 1/ARG1/liver Arginase on human liver tissue lysates with Rabbit anti-Arginase 1/ARG1/liver Arginase antibody (NBP3-32047) at 1/500 dilution.

Lysates/proteins at 20 ug/Lane.

Predicted band size: 35 kDa
Observed band size: 39 kDa

Exposure time: 1 minute;

12% SDS-PAGE gel.

Proteins were transferred to a PVDF membrane and blocked with 5% NFDM/TBST for 1 hour at room temperature. The primary antibody (NBP3-32047) at 1/500 dilution was used in 5% NFDM/TBST at room temperature for 2 hours. Goat Anti-Rabbit IgG - HRP Secondary Antibody at 1:300,000 dilution was used for 1 hour at room temperature.
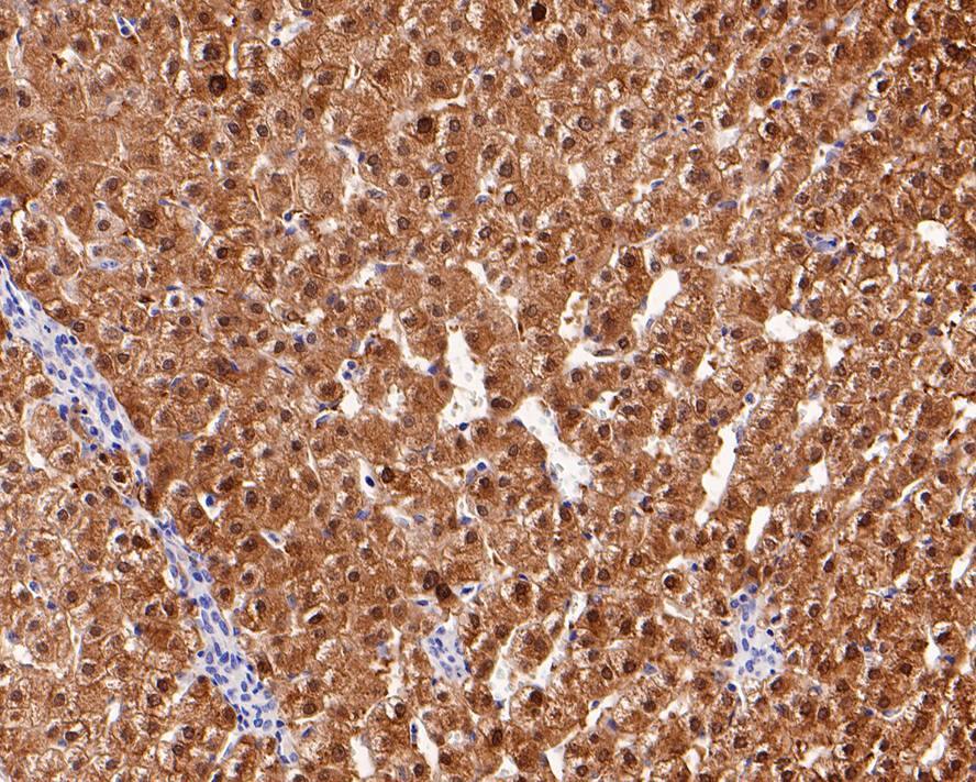
Arginase 1/ARG1/liver Arginase Antibody (PD00-05)

Immunohistochemistry: Arginase 1/ARG1/liver Arginase Antibody (PD00-05) [NBP3-32047]

Immunohistochemistry: Arginase 1/ARG1/liver Arginase Antibody (PD00-05) [NBP3-32047] - Immunohistochemical analysis of paraffin-embedded human liver tissue with Rabbit anti-Arginase 1/ARG1/liver Arginase antibody (NBP3-32047) at 1/1,000 dilution.

The section was pre-treated using heat mediated antigen retrieval with Tris-EDTA buffer (pH 9.0) for 20 minutes. The tissues were blocked in 1% BSA for 20 minutes at room temperature, washed with ddH2O and PBS, and then probed with the primary antibody (NBP3-32047) at 1/1,000 dilution for 1 hour at room temperature. The detection was performed using an HRP conjugated compact polymer system. DAB was used as the chromogen. Tissues were counterstained with hematoxylin and mounted with DPX.

Applications for Arginase 1/ARG1/liver Arginase Antibody (PD00-05)

Application
Recommended Usage

Immunohistochemistry-Paraffin

1:1000

Western Blot

1:500

Formulation, Preparation, and Storage

Purification

Protein A purified

Formulation

PBS (pH7.4), 0.1% BSA and 40% Glycerol

Preservative

0.05% Sodium Azide

Concentration

1 mg/ml

Shipping

The product is shipped with polar packs. Upon receipt, store it immediately at the temperature recommended below.

Stability & Storage

Store at 4C short term. Aliquot and store at -20C long term. Avoid freeze-thaw cycles.

Background: Arginase 1/ARG1

Arginase 1 (ARG1), also known as liver arginase, is a metalloenzyme that is a member of the ureohydrolase superfamily and arginase family (1). ARG1 is known for its role in the urea cycle in catalyzing the conversion of L-arginine into urea and L-ornithine (1). Arginase has two distinct isoforms, with ARG1 being expressed primarily in the liver and ARG2 in extrahepatic tissues (1). Human ARG1 is synthesized as 322 amino acids (aa) in length with a theoretical molecular weight of 35 kDa (1,2). Three ARG1 monomers can form a highly active homotrimer of 105 kDa (1). A key structural feature of the arginase protein is the binuclear magnesium (Mn2+) ions at its core (1).

Arginase and nitric oxidase synthase (NOS) compete for the same L-arginine substrate, creating a delicate balance between pathways (1). Furthermore, bioavailability of L-arginine and ARG1 expression has been implicated in several pathologies including vascular disease, neuronal disease, cardiovascular disease, immune dysfunction, inflammation, and cancer (1,3-5). For instance, ARG1 functions as a macrophage marker, defining the M2 population, while inducible nitric oxide synthase (iNOS) characterizes the M1 population; impaired M1/M2 polarization and changes in ARG1 expression is observed in diseases such as arteriogenesis, asthma, pulmonary fibrosis, and inflammatory bowel disease (1,3). In humans, arginase deficiency, known as argininemia, is an autosomal recessive metabolic disorder characterized by elevated ammonia (hyperammonemia) levels and arginine accumulation (6). Given that many arginase-associated diseases are characterized by upregulation in expression of ARG1, ARG2, or both, arginase inhibitors are currently being studied as a potential therapeutic approach (1,4).

References

1. S Clemente, G., van Waarde, A., F Antunes, I., Domling, A., & H Elsinga, P. (2020). Arginase as a Potential Biomarker of Disease Progression: A Molecular Imaging Perspective. International Journal of Molecular Sciences. https://doi.org/10.3390/ijms21155291

2. Uniprot (P05089)

3. Kieler, M., Hofmann, M., & Schabbauer, G. (2021). More than just protein building blocks: How amino acids and related metabolic pathways fuel macrophage polarization. The FEBS Journal. Advance online publication. https://doi.org/10.1111/febs.15715

4. Shosha, E., Fouda, A. Y., Narayanan, S. P., Caldwell, R. W., & Caldwell, R. B. (2020). Is the Arginase Pathway a Novel Therapeutic Avenue for Diabetic Retinopathy?. Journal of Clinical Medicine. https://doi.org/10.3390/jcm9020425

5. Correale J. (2021). Immunosuppressive Amino-Acid Catabolizing Enzymes in Multiple Sclerosis. Frontiers in Immunology. https://doi.org/10.3389/fimmu.2020.600428

6. Morales, J. A., & Sticco, K. L. (2020). Arginase Deficiency. In StatPearls. StatPearls Publishing.

Long Name

Liver-Type Arginase

Alternate Names

AI, ARG1, Arginase-1, Liver Arginase, PGIF, Type I Arginase

Gene Symbol

ARG1

Additional Arginase 1/ARG1 Products

Product Documents for Arginase 1/ARG1/liver Arginase Antibody (PD00-05)

Certificate of Analysis

To download a Certificate of Analysis, please enter a lot number in the search box below.

Product Specific Notices for Arginase 1/ARG1/liver Arginase Antibody (PD00-05)

This product is for research use only and is not approved for use in humans or in clinical diagnosis. Primary Antibodies are guaranteed for 1 year from date of receipt.

Loading...
Loading...
Loading...
Loading...