Skip to main content

ARF4L Antibody - Azide and BSA Free

Novus Biologicals, part of Bio-Techne | Catalog # NBP2-92876

Novus Biologicals, part of Bio-Techne
Catalog #
Availability
Size / Price
Qty
Loading...
NBP2-92876-0.02ml
NBP2-92876-0.1ml

Key Product Details

Species Reactivity

Human, Mouse, Rat

Applications

Immunohistochemistry, Immunohistochemistry-Paraffin, Western Blot

Label

Unconjugated

Antibody Source

Polyclonal Rabbit IgG

Format

Azide and BSA Free

Concentration

Please see the vial label for concentration. If unlisted please contact technical services.

Product Specifications

Immunogen

Recombinant fusion protein containing a sequence corresponding to amino acids 92-201 of human ARL4D (NP_001652.2). RRTDGLVFVVDAAEAERLEEAKVELHRISRASDNQGVPVLVLANKQDQPGALSAAEVEKRLAVRELAAATLTHVQGCSAVDGLGLQQGLERLYEMILKRKKAARGGKKRR

Clonality

Polyclonal

Host

Rabbit

Isotype

IgG

Description

Novus Biologicals Rabbit ARF4L Antibody - Azide and BSA Free (NBP2-92876) is a polyclonal antibody validated for use in IHC and WB. All Novus Biologicals antibodies are covered by our 100% guarantee.

Scientific Data Images for ARF4L Antibody - Azide and BSA Free

Western Blot: ARF4L AntibodyAzide and BSA Free [NBP2-92876]

Western Blot: ARF4L AntibodyAzide and BSA Free [NBP2-92876]

Western Blot: ARF4L Antibody [NBP2-92876] - Analysis of extracts of various cell lines, using ARF4L at 1:1000 dilution.Secondary antibody: HRP Goat Anti-Rabbit IgG (H+L) at 1:10000 dilution.Lysates/proteins: 25ug per lane.Blocking buffer: 3% nonfat dry milk in TBST.Detection: ECL Basic Kit .Exposure time: 5s.
Immunohistochemistry-Paraffin: ARF4L Antibody - Azide and BSA Free [NBP2-92876]

Immunohistochemistry-Paraffin: ARF4L Antibody - Azide and BSA Free [NBP2-92876]

Immunohistochemistry-Paraffin: ARF4L Antibody [NBP2-92876] - Paraffin-embedded rat brain using ARF4L .
Immunohistochemistry-Paraffin: ARF4L Antibody - Azide and BSA Free [NBP2-92876]

Immunohistochemistry-Paraffin: ARF4L Antibody - Azide and BSA Free [NBP2-92876]

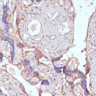
Immunohistochemistry-Paraffin: ARF4L Antibody [NBP2-92876] - Paraffin-embedded human placenta using ARF4L .

Applications for ARF4L Antibody - Azide and BSA Free

Application
Recommended Usage

Immunohistochemistry

1:50-1:100

Western Blot

1:500-1:2000

Formulation, Preparation, and Storage

Purification

Affinity purified

Formulation

PBS (pH 7.3), 50% glycerol

Format

Azide and BSA Free

Preservative

0.01% Thimerosal

Concentration

Please see the vial label for concentration. If unlisted please contact technical services.

Shipping

The product is shipped with polar packs. Upon receipt, store it immediately at the temperature recommended below.

Stability & Storage

Store at -20C. Avoid freeze-thaw cycles.

Background: ARF4L

ARF4L is a member of the ARF family which plays roles in vesicular traffic and actin remodeling. This protein plays a role in protein secretion and intracellular trafficking.

Alternate Names

ADP-ribosylation factor 4-like, ADP-ribosylation factor-like 4D, ADP-ribosylation factor-like protein 4D, ADP-ribosylation factor-like protein 4L, ARF4LADP-ribosylation factor-like 6, ARL6

Gene Symbol

ARL4D

Additional ARF4L Products

Product Documents for ARF4L Antibody - Azide and BSA Free

Certificate of Analysis

To download a Certificate of Analysis, please enter a lot number in the search box below.

Product Specific Notices for ARF4L Antibody - Azide and BSA Free

This product is for research use only and is not approved for use in humans or in clinical diagnosis. Primary Antibodies are guaranteed for 1 year from date of receipt.

Loading...
Loading...
Loading...
Loading...

⚠ WARNING: This product can expose you to chemicals including Methotrexate, which is known to the State of California to cause reproductive toxicity with developmental effects. For more information, go to www.P65Warnings.ca.gov