Skip to main content

Aquaporin 1/AQP1 Antibody - BSA Free

Novus Biologicals, part of Bio-Techne | Catalog # NBP3-35493

Novus Biologicals, part of Bio-Techne
Catalog #
Availability
Size / Price
Qty
Loading...
NBP3-35493-20ul
NBP3-35493-100ul

Key Product Details

Species Reactivity

Human, Mouse, Rat

Applications

Immunohistochemistry, Immunohistochemistry-Paraffin, Western Blot, ELISA, Immunocytochemistry/ Immunofluorescence

Label

Unconjugated

Antibody Source

Polyclonal Rabbit IgG

Format

BSA Free

Concentration

Please see the vial label for concentration. If unlisted please contact technical services.

Product Specifications

Immunogen

A synthetic peptide corresponding to a sequence within amino acids 200-269 of human Aquaporin 1/AQP1 (AQP1) (NP_932766.1).

Sequence:
AVITHNFSNHWIFWVGPFIGGALAVLIYDFILAPRSSDLTDRVKVWTSGQVEEYDLDADDINSRVEMKPK

Clonality

Polyclonal

Host

Rabbit

Isotype

IgG

Theoretical MW

29 kDa.
Disclaimer note: The observed molecular weight of the protein may vary from the listed predicted molecular weight due to post translational modifications, post translation cleavages, relative charges, and other experimental factors.

Description

Novus Biologicals Rabbit Aquaporin 1/AQP1 Antibody - BSA Free (NBP3-35493) is a polyclonal antibody validated for use in IHC, WB, ELISA and ICC/IF. All Novus Biologicals antibodies are covered by our 100% guarantee.

Scientific Data Images for Aquaporin 1/AQP1 Antibody - BSA Free

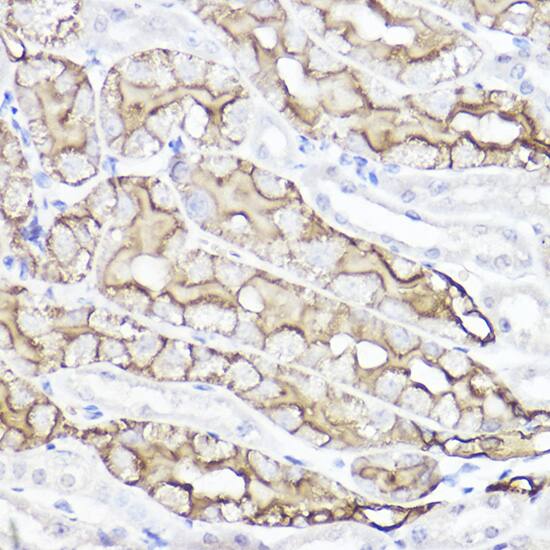
Aquaporin 1/AQP1 Antibody

Immunohistochemistry: Aquaporin 1/AQP1 Antibody [NBP3-35493] -

Immunohistochemistry: Aquaporin 1/AQP1 Antibody [NBP3-35493] - Immunohistochemistry analysis of paraffin-embedded Human kidney using Aquaporin 1/AQP1Rabbit pAb at dilution of 1:100 (40x lens). High pressure antigen retrieval performed with 0.01M Citrate Bufferr (pH 6.0) prior to IHC staining.
Aquaporin 1/AQP1 Antibody

Immunohistochemistry: Aquaporin 1/AQP1 Antibody [NBP3-35493] -

Immunohistochemistry: Aquaporin 1/AQP1 Antibody [NBP3-35493] - Immunohistochemistry analysis of paraffin-embedded Rat kidney using Aquaporin 1/AQP1Rabbit pAb at dilution of 1:100 (40x lens). High pressure antigen retrieval performed with 0.01M Citrate Bufferr (pH 6.0) prior to IHC staining.
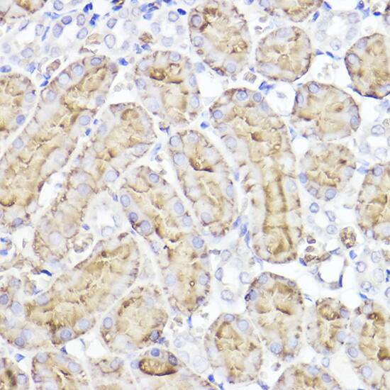
Aquaporin 1/AQP1 Antibody

Immunohistochemistry: Aquaporin 1/AQP1 Antibody [NBP3-35493] -

Immunohistochemistry: Aquaporin 1/AQP1 Antibody [NBP3-35493] - Immunohistochemistry analysis of paraffin-embedded Mouse kidney using Aquaporin 1/AQP1Rabbit pAb at dilution of 1:100 (40x lens). High pressure antigen retrieval performed with 0.01M Citrate Bufferr (pH 6.0) prior to IHC staining.

Applications for Aquaporin 1/AQP1 Antibody - BSA Free

Application
Recommended Usage

Immunocytochemistry/ Immunofluorescence

1:50 - 1:200

Immunohistochemistry-Paraffin

1:50 - 1:200

Western Blot

1:100 - 1:500

Formulation, Preparation, and Storage

Purification

Affinity purified

Formulation

PBS (pH 7.3), 50% glycerol

Format

BSA Free

Preservative

0.02% Sodium Azide

Concentration

Please see the vial label for concentration. If unlisted please contact technical services.

Shipping

The product is shipped with polar packs. Upon receipt, store it immediately at the temperature recommended below.

Stability & Storage

Store at -20C. Avoid freeze-thaw cycles.

Background: Aquaporin 1/AQP1

Aquaporins are a family of small integral membrane proteins related to the major intrinsic protein (MIP or AQP0). Thisgene encodes an aquaporin which functions as a molecular water channel protein. It is a homotetramer with 6 bilayerspanning domains and N-glycosylation sites. The protein physically resembles channel proteins and is abundant inerythrocytes and renal tubes. The gene encoding this aquaporin is a possible candidate for disorders involvingimbalance in ocular fluid movement. (provided by RefSeq)

Alternate Names

AQP1, CHIP28, CO

Gene Symbol

AQP1

Additional Aquaporin 1/AQP1 Products

Product Documents for Aquaporin 1/AQP1 Antibody - BSA Free

Certificate of Analysis

To download a Certificate of Analysis, please enter a lot number in the search box below.

Product Specific Notices for Aquaporin 1/AQP1 Antibody - BSA Free

This product is for research use only and is not approved for use in humans or in clinical diagnosis. Primary Antibodies are guaranteed for 1 year from date of receipt.

Loading...
Loading...
Loading...
Loading...
Loading...