Skip to main content

Aquaporin 1/AQP1 Antibody - BSA Free

Novus Biologicals, part of Bio-Techne | Catalog # NBP1-84488

Novus Biologicals, part of Bio-Techne
Catalog #
Availability
Size / Price
Qty
Loading...
NBP1-84488
NBP1-84488-25ul

Key Product Details

Validated by

Orthogonal Validation

Species Reactivity

Validated:

Human, Mouse, Feline

Cited:

Mouse

Predicted:

Rat (95%). Backed by our 100% Guarantee.

Applications

Validated:

Immunohistochemistry, Immunohistochemistry-Paraffin, Western Blot, Immunocytochemistry/ Immunofluorescence

Cited:

IF/IHC

Label

Unconjugated

Antibody Source

Polyclonal Rabbit IgG

Format

BSA Free

Concentration

Concentrations vary lot to lot. See vial label for concentration. If unlisted please contact technical services.

Product Specifications

Immunogen

This antibody was developed against Recombinant Protein corresponding to amino acids: PRSSDLTDRVKVWTSGQVEEYDLDADDINSRVEMKPK

Reactivity Notes

Mouse reactivity reported in scientific literature (PMID: 30322799). Feline reactivity reported from a verified customer review.

Clonality

Polyclonal

Host

Rabbit

Isotype

IgG

Description

Novus Biologicals Rabbit Aquaporin 1/AQP1 Antibody - BSA Free (NBP1-84488) is a polyclonal antibody validated for use in IHC, WB and ICC/IF. Anti-Aquaporin 1/AQP1 Antibody: Cited in 2 publications. All Novus Biologicals antibodies are covered by our 100% guarantee.

Scientific Data Images for Aquaporin 1/AQP1 Antibody - BSA Free

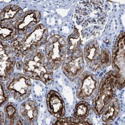
Immunohistochemistry-Paraffin: Aquaporin 1/AQP1 Antibody [NBP1-84488]

Immunohistochemistry-Paraffin: Aquaporin 1/AQP1 Antibody [NBP1-84488]

Immunohistochemistry-Paraffin: Aquaporin 1/AQP1 Antibody [NBP1-84488] - Analysis in human kidney and liver tissues. Corresponding AQP1 RNA-seq data are presented for the same tissues.
Western Blot: Aquaporin 1/AQP1 Antibody [NBP1-84488]

Western Blot: Aquaporin 1/AQP1 Antibody [NBP1-84488]

Western Blot: Aquaporin 1/AQP1 Antibody [NBP1-84488] - Analysis in control (vector only transfected HEK293T lysate) and aQP1 over-expression lysate (Co-expressed with a C-terminal myc-DDK tag (3.1 kDa) in mammalian HEK293T cells).
Immunocytochemistry/ Immunofluorescence: Aquaporin 1/AQP1 Antibody [NBP1-84488]

Immunocytochemistry/ Immunofluorescence: Aquaporin 1/AQP1 Antibody [NBP1-84488]

Immunocytochemistry/Immunofluorescence: Aquaporin 1/AQP1 Antibody [NBP1-84488] - Staining of human cell line U-2 OS shows localization to plasma membrane. Antibody staining is shown in green.

Applications for Aquaporin 1/AQP1 Antibody - BSA Free

Application
Recommended Usage

Immunocytochemistry/ Immunofluorescence

0.25-2 ug/ml

Immunohistochemistry

1:1000 - 1:2500

Immunohistochemistry-Paraffin

1:1000-1:2500

Western Blot

0.04-0.4 ug/ml
Application Notes
For IHC-Paraffin, HIER pH 6 retrieval is recommended. ICC/IF Fixation Permeabilization: Use PFA/Triton X-100.

Reviewed Applications

Read 1 review rated 5 using NBP1-84488 in the following applications:

Formulation, Preparation, and Storage

Purification

Affinity purified

Formulation

PBS (pH 7.2) and 40% Glycerol

Format

BSA Free

Preservative

0.02% Sodium Azide

Concentration

Concentrations vary lot to lot. See vial label for concentration. If unlisted please contact technical services.

Shipping

The product is shipped with polar packs. Upon receipt, store it immediately at the temperature recommended below.

Stability & Storage

Store at 4C short term. Aliquot and store at -20C long term. Avoid freeze-thaw cycles.

Background: Aquaporin 1/AQP1

Aquaporins are a family of small integral membrane proteins related to the major intrinsic protein (MIP or AQP0). Thisgene encodes an aquaporin which functions as a molecular water channel protein. It is a homotetramer with 6 bilayerspanning domains and N-glycosylation sites. The protein physically resembles channel proteins and is abundant inerythrocytes and renal tubes. The gene encoding this aquaporin is a possible candidate for disorders involvingimbalance in ocular fluid movement. (provided by RefSeq)

Alternate Names

AQP1, CHIP28, CO

Gene Symbol

AQP1

Additional Aquaporin 1/AQP1 Products

Product Documents for Aquaporin 1/AQP1 Antibody - BSA Free

Certificate of Analysis

To download a Certificate of Analysis, please enter a lot number in the search box below.

Product Specific Notices for Aquaporin 1/AQP1 Antibody - BSA Free

This product is for research use only and is not approved for use in humans or in clinical diagnosis. Primary Antibodies are guaranteed for 1 year from date of receipt.

Loading...
Loading...
Loading...
Loading...
Loading...