Skip to main content

Aquaporin-0 Antibody - BSA Free

Novus Biologicals, part of Bio-Techne | Catalog # NBP2-92773

Novus Biologicals, part of Bio-Techne
Catalog #
Availability
Size / Price
Qty
Loading...
NBP2-92773-0.02ml
NBP2-92773-0.1ml

Key Product Details

Species Reactivity

Human, Mouse, Rat

Applications

Immunohistochemistry, Immunohistochemistry-Paraffin, Western Blot

Label

Unconjugated

Antibody Source

Polyclonal Rabbit IgG

Format

BSA Free

Concentration

Please see the vial label for concentration. If unlisted please contact technical services.

Product Specifications

Immunogen

A synthetic peptide corresponding to a sequence within amino acids 50-150 of human MIP (NP_036196.1). LALATLVQSVGHISGAHVNPAVTFAFLVGSQMSLLRAFCYMAAQLLGAVAGAAVLYSVTPPAVRGNLALNTLHPAVSVGQATTVEIFLTLQFVLCIFATYD

Clonality

Polyclonal

Host

Rabbit

Isotype

IgG

Theoretical MW

28 kDa.
Disclaimer note: The observed molecular weight of the protein may vary from the listed predicted molecular weight due to post translational modifications, post translation cleavages, relative charges, and other experimental factors.

Description

Novus Biologicals Rabbit Aquaporin-0 Antibody - BSA Free (NBP2-92773) is a polyclonal antibody validated for use in IHC and WB. All Novus Biologicals antibodies are covered by our 100% guarantee.

Scientific Data Images for Aquaporin-0 Antibody - BSA Free

Western Blot: Aquaporin-0 AntibodyBSA Free [NBP2-92773]

Western Blot: Aquaporin-0 AntibodyBSA Free [NBP2-92773]

Western Blot: Aquaporin-0 Antibody [NBP2-92773] - Analysis of extracts of various cell lines, using Aquaporin-0 at 1:1000 dilution.Secondary antibody: HRP Goat Anti-Rabbit IgG (H+L) at 1:10000 dilution.Lysates/proteins: 25ug per lane.Blocking buffer: 3% nonfat dry milk in TBST.Detection: ECL Basic Kit .Exposure time: 90s.
Immunohistochemistry-Paraffin: Aquaporin-0 Antibody - BSA Free [NBP2-92773]

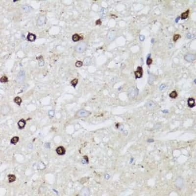
Immunohistochemistry-Paraffin: Aquaporin-0 Antibody - BSA Free [NBP2-92773]

Immunohistochemistry-Paraffin: Aquaporin-0 Antibody [NBP2-92773] - Rat brain using MIP antibody at dilution of 1:100 (40x lens).
Immunohistochemistry-Paraffin: Aquaporin-0 Antibody - BSA Free [NBP2-92773]

Immunohistochemistry-Paraffin: Aquaporin-0 Antibody - BSA Free [NBP2-92773]

Immunohistochemistry-Paraffin: Aquaporin-0 Antibody [NBP2-92773] - Human stomach using MIP antibody at dilution of 1:100 (40x lens).

Applications for Aquaporin-0 Antibody - BSA Free

Application
Recommended Usage

Immunohistochemistry

1:100-1:200

Western Blot

1:500-1:1000

Formulation, Preparation, and Storage

Purification

Affinity purified

Formulation

PBS (pH 7.3), 50% glycerol

Format

BSA Free

Preservative

0.02% Sodium Azide

Concentration

Please see the vial label for concentration. If unlisted please contact technical services.

Shipping

The product is shipped with polar packs. Upon receipt, store it immediately at the temperature recommended below.

Stability & Storage

Store at -20C. Avoid freeze-thaw cycles.

Background: Aquaporin-0

Aquaporins (AQPs) are a large family of integral membrane channel proteins that facilitate the transport of water through the cell membrane. Aquaporins are widely distributed and are involved in renal water absorption, generation of pulmonary secretions, lacrimation and the secretion and reabsorption of cerebrospinal fluid and aqueous humor. AQP0 is the most abundant endogenous protein in the plasma membrane of lens fiber cells where it functions not only as a water pore, but it is also involved in fiber-fiber adhesion and is crucial for fiber cell structure and organization. AQP0 contains an additional pore constriction, not seen in any other aquaporin structures, which may be responsible for pore gating. The closed AQP0 pore holds just three water molecules, which are spaced too far apart to form hydrogen bonds with each other. The C-terminal domain of AQP0 undergoes extensive post-translational modification, including many truncations, during lens aging due to the actions of m-Calpain, proteases or non-enzymatic mechanisms. These truncation sites may be involved in the development of cataracts.

Alternate Names

aquaporin 0, lens fiber major intrinsic protein, major intrinsic protein of lens fiber, MP26

Gene Symbol

MIP

Additional Aquaporin-0 Products

Product Documents for Aquaporin-0 Antibody - BSA Free

Certificate of Analysis

To download a Certificate of Analysis, please enter a lot number in the search box below.

Product Specific Notices for Aquaporin-0 Antibody - BSA Free

This product is for research use only and is not approved for use in humans or in clinical diagnosis. Primary Antibodies are guaranteed for 1 year from date of receipt.

Loading...
Loading...
Loading...
Loading...